Suppr超能文献

内源性γ-氨基丁酸控制少突胶质细胞谱系细胞数量、髓鞘形成及中枢神经系统节间长度。

Endogenous GABA controls oligodendrocyte lineage cell number, myelination, and CNS internode length.

作者信息

Hamilton Nicola B, Clarke Laura E, Arancibia-Carcamo I Lorena, Kougioumtzidou Eleni, Matthey Moritz, Káradóttir Ragnhildur, Whiteley Louise, Bergersen Linda H, Richardson William D, Attwell David

机构信息

Department of Neuroscience, Pharmacology and Physiology, University College London, London, WC1E 6BT, United Kingdom.

Department of Cell and Developmental Biology, Wolfson Institute for Biomedical Research, University College London, London, WC1E 6BT, United Kingdom.

出版信息

Glia. 2017 Feb;65(2):309-321. doi: 10.1002/glia.23093. Epub 2016 Oct 31.

Abstract

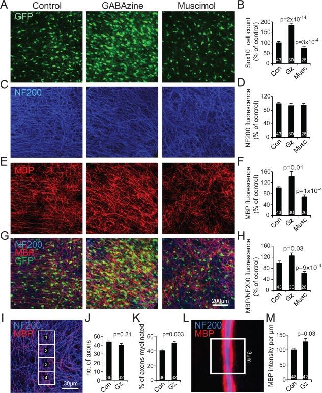
Adjusting the thickness and internodal length of the myelin sheath is a mechanism for tuning the conduction velocity of axons to match computational needs. Interactions between oligodendrocyte precursor cells (OPCs) and developing axons regulate the formation of myelin around axons. We now show, using organotypic cerebral cortex slices from mice expressing eGFP in Sox10-positive oligodendrocytes, that endogenously released GABA, acting on GABA receptors, greatly reduces the number of oligodendrocyte lineage cells. The decrease in oligodendrocyte number correlates with a reduction in the amount of myelination but also an increase in internode length, a parameter previously thought to be set by the axon diameter or to be a property intrinsic to oligodendrocytes. Importantly, while TTX block of neuronal activity had no effect on oligodendrocyte lineage cell number when applied alone, it was able to completely abolish the effect of blocking GABA receptors, suggesting that control of myelination by endogenous GABA may require a permissive factor to be released from axons. In contrast, block of AMPA/KA receptors had no effect on oligodendrocyte lineage cell number or myelination. These results imply that, during development, GABA can act as a local environmental cue to control myelination and thus influence the conduction velocity of action potentials within the CNS. GLIA 2017;65:309-321.

摘要

调节髓鞘的厚度和节间长度是一种调整轴突传导速度以匹配计算需求的机制。少突胶质前体细胞(OPC)与发育中的轴突之间的相互作用调节轴突周围髓鞘的形成。我们现在利用在Sox10阳性少突胶质细胞中表达eGFP的小鼠的脑片培养物进行实验,结果表明,内源性释放的γ-氨基丁酸(GABA)作用于GABA受体后,会显著减少少突胶质细胞谱系细胞的数量。少突胶质细胞数量的减少不仅与髓鞘形成量的减少相关,还与节间长度的增加有关,而节间长度这一参数此前被认为是由轴突直径决定的,或者是少突胶质细胞固有的特性。重要的是,单独应用河豚毒素(TTX)阻断神经元活动对少突胶质细胞谱系细胞数量没有影响,但它能够完全消除阻断GABA受体的作用,这表明内源性GABA对髓鞘形成的调控可能需要轴突释放一种许可因子。相比之下,阻断α-氨基-3-羟基-5-甲基-4-异恶唑丙酸/海人藻酸(AMPA/KA)受体对少突胶质细胞谱系细胞数量或髓鞘形成没有影响。这些结果表明,在发育过程中,GABA可以作为一种局部环境信号来控制髓鞘形成,从而影响中枢神经系统内动作电位的传导速度。《胶质细胞》2017年;65卷:309 - 321页

https://cdn.ncbi.nlm.nih.gov/pmc/blobs/5d50/5214060/5d5bd41200ad/GLIA-65-309-g001.jpg

文献AI研究员

20分钟写一篇综述,助力文献阅读效率提升50倍。

立即体验

用中文搜PubMed

大模型驱动的PubMed中文搜索引擎

马上搜索

文档翻译

学术文献翻译模型,支持多种主流文档格式。

立即体验