• 文献检索
  • 文档翻译
  • 深度研究
  • 学术资讯
  • Suppr Zotero 插件Zotero 插件
  • 邀请有礼
  • 套餐&价格
  • 历史记录
应用&插件
Suppr Zotero 插件Zotero 插件浏览器插件Mac 客户端Windows 客户端微信小程序
定价
高级版会员购买积分包购买API积分包
服务
文献检索文档翻译深度研究API 文档MCP 服务
关于我们
关于 Suppr公司介绍联系我们用户协议隐私条款
关注我们

Suppr 超能文献

核心技术专利:CN118964589B侵权必究
粤ICP备2023148730 号-1Suppr @ 2026

文献检索

告别复杂PubMed语法,用中文像聊天一样搜索,搜遍4000万医学文献。AI智能推荐,让科研检索更轻松。

立即免费搜索

文件翻译

保留排版,准确专业,支持PDF/Word/PPT等文件格式,支持 12+语言互译。

免费翻译文档

深度研究

AI帮你快速写综述,25分钟生成高质量综述,智能提取关键信息,辅助科研写作。

立即免费体验

神经病理特征可将 POEMS 综合征与 CIDP 区分开来。

Nerve pathologic features differentiate POEMS syndrome from CIDP.

机构信息

University of Nebraska Medical Center, 988435 Nebraska Medical Center, Omaha, NE, 68198-8435, USA.

Mayo Clinic, Department of Neurology, 200 First Street SW, Rochester, MN, 55905, USA.

出版信息

Acta Neuropathol Commun. 2016 Oct 31;4(1):116. doi: 10.1186/s40478-016-0389-1.

DOI:10.1186/s40478-016-0389-1
PMID:27799073
原文链接:https://pmc.ncbi.nlm.nih.gov/articles/PMC5088652/
Abstract

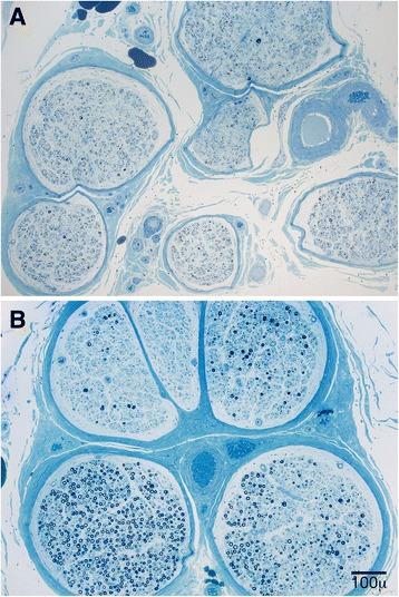
The objective of this study is to determine if the nerve pathology in patients with POEMS syndrome is different from CIDP. We hypothesized that nerve biopsies from patients with POEMS syndrome would have more small vessels and axonal degeneration but less inflammation than CIDP.We performed a retrospective analysis of nerve biopsies performed on "classic" CIDP and POEMS cases. Nerve biopsies were blinded and reviewed by two of the authors (EAP, PJBD). Teased fibers, paraffin-embedded sections, semithin sections and immunostains were analyzed. Small endoneurial and epineurial vessels were counted on paraffin sections with smooth muscle actin (SMACTIN) preparation to judge for neovascularization.A total of 61 cases (35-POEMS, 26-CIDP) were included. The POEMS-group had significantly higher axonal degeneration and fewer normal myelinated fibers on teased fiber preparations. The CIDP-group had significantly more endoneurial mononuclear inflammation on paraffin sections and immunostains. Large onion-bulbs were present only in CIDP cases. A significantly higher number of epineurial vessels was present in POEMS biopsies, with a total count of 120 epineurial vessels predicted as best cutoff to differentiate both conditions (77 % specific and 54 % sensitive).In conclusion, nerve biopsy can be helpful in distinguishing POEMS syndrome from CIDP. POEMS syndrome demonstrates more axonal degeneration and epineurial neovascularization whereas CIDP has greater endoneurial inflammation and onion-bulb formation. These findings support the idea that there are differing underlying mechanisms for these disorders, POEMS being related to paraneoplastic vasculopathy associated with angiogenic factors and CIDP related to inflammatory demyelination.

摘要

本研究旨在确定 POEMS 综合征患者的神经病理学是否与 CIDP 不同。我们假设 POEMS 综合征患者的神经活检将具有更多的小血管和轴突变性,但炎症少于 CIDP。

我们对“经典”CIDP 和 POEMS 病例进行了神经活检的回顾性分析。神经活检由两位作者(EAP、PJBD)进行盲法和审查。 teased fibers、石蜡包埋切片、半薄切片和免疫染色进行了分析。用平滑肌肌动蛋白(SMACTIN)制备对石蜡切片上的小神经内膜和神经外膜血管进行计数,以判断新生血管形成。

共纳入 61 例(35 例 POEMS,26 例 CIDP)。POEMS 组在 teased fiber 准备中具有明显更高的轴突变性和更少的正常髓鞘纤维。CIDP 组在石蜡切片和免疫染色上具有明显更多的神经内膜单核炎症。洋葱球仅存在于 CIDP 病例中。POEMS 活检中有明显更多的神经外膜血管,总计数为 120 个神经外膜血管被预测为最佳截断值,以区分两种情况(77%特异性和 54%敏感性)。

总之,神经活检有助于区分 POEMS 综合征和 CIDP。POEMS 综合征表现出更多的轴突变性和神经外膜新生血管形成,而 CIDP 具有更大的神经内膜炎症和洋葱球形成。这些发现支持这样一种观点,即这些疾病的潜在机制不同,POEMS 与与血管生成因子相关的副肿瘤性血管病有关,而 CIDP 与炎症性脱髓鞘有关。

https://cdn.ncbi.nlm.nih.gov/pmc/blobs/97b3/5088652/5ba3d3c39b88/40478_2016_389_Fig6_HTML.jpg
https://cdn.ncbi.nlm.nih.gov/pmc/blobs/97b3/5088652/bb6fd215520b/40478_2016_389_Fig1_HTML.jpg
https://cdn.ncbi.nlm.nih.gov/pmc/blobs/97b3/5088652/cb8cadc7a7ca/40478_2016_389_Fig2_HTML.jpg
https://cdn.ncbi.nlm.nih.gov/pmc/blobs/97b3/5088652/3ba819aedb3c/40478_2016_389_Fig3_HTML.jpg
https://cdn.ncbi.nlm.nih.gov/pmc/blobs/97b3/5088652/97dfcef34729/40478_2016_389_Fig4_HTML.jpg
https://cdn.ncbi.nlm.nih.gov/pmc/blobs/97b3/5088652/072c4569bc81/40478_2016_389_Fig5_HTML.jpg
https://cdn.ncbi.nlm.nih.gov/pmc/blobs/97b3/5088652/5ba3d3c39b88/40478_2016_389_Fig6_HTML.jpg
https://cdn.ncbi.nlm.nih.gov/pmc/blobs/97b3/5088652/bb6fd215520b/40478_2016_389_Fig1_HTML.jpg
https://cdn.ncbi.nlm.nih.gov/pmc/blobs/97b3/5088652/cb8cadc7a7ca/40478_2016_389_Fig2_HTML.jpg
https://cdn.ncbi.nlm.nih.gov/pmc/blobs/97b3/5088652/3ba819aedb3c/40478_2016_389_Fig3_HTML.jpg
https://cdn.ncbi.nlm.nih.gov/pmc/blobs/97b3/5088652/97dfcef34729/40478_2016_389_Fig4_HTML.jpg
https://cdn.ncbi.nlm.nih.gov/pmc/blobs/97b3/5088652/072c4569bc81/40478_2016_389_Fig5_HTML.jpg
https://cdn.ncbi.nlm.nih.gov/pmc/blobs/97b3/5088652/5ba3d3c39b88/40478_2016_389_Fig6_HTML.jpg

相似文献

1
Nerve pathologic features differentiate POEMS syndrome from CIDP.神经病理特征可将 POEMS 综合征与 CIDP 区分开来。
Acta Neuropathol Commun. 2016 Oct 31;4(1):116. doi: 10.1186/s40478-016-0389-1.
2
Uniform demyelination and more severe axonal loss distinguish POEMS syndrome from CIDP.POEMS 综合征与 CIDP 的区别在于其具有均一性脱髓鞘和更严重的轴索丢失。
J Neurol Neurosurg Psychiatry. 2012 May;83(5):480-6. doi: 10.1136/jnnp-2011-301472. Epub 2012 Mar 6.
3
Diagnostic value of sural nerve demyelination in chronic inflammatory demyelinating polyneuropathy.腓肠神经脱髓鞘在慢性炎症性脱髓鞘性多发性神经病中的诊断价值
Brain. 2001 Dec;124(Pt 12):2427-38. doi: 10.1093/brain/124.12.2427.
4
Different neurological and physiological profiles in POEMS syndrome and chronic inflammatory demyelinating polyneuropathy.POEMS 综合征与慢性炎症性脱髓鞘性多发性神经病的不同神经和生理特征。
J Neurol Neurosurg Psychiatry. 2012 May;83(5):476-9. doi: 10.1136/jnnp-2011-301706. Epub 2012 Feb 15.
5
Electrophysiological features of POEMS syndrome and chronic inflammatory demyelinating polyneuropathy.POEMS 综合征和慢性炎症性脱髓鞘性多发性神经病的电生理学特征。
J Clin Neurosci. 2014 Apr;21(4):587-90. doi: 10.1016/j.jocn.2013.05.023. Epub 2013 Aug 15.
6
Blink R1 latency utility in diagnosis and treatment assessment of polyradiculoneuropathy-organomegaly-endocrinopathy-monoclonal protein-skin changes and chronic inflammatory demyelinating polyradiculoneuropathy.眨眼R1潜伏期在多神经根神经病-器官肿大-内分泌病-单克隆蛋白-皮肤改变综合征及慢性炎症性脱髓鞘性多神经根神经病诊断和治疗评估中的应用
Muscle Nerve. 2018 Jan;57(1):E8-E13. doi: 10.1002/mus.25731. Epub 2017 Jul 7.
7
Sural nerve biopsy in chronic inflammatory demyelinating polyneuropathy: are supportive pathologic criteria useful in diagnosis?慢性炎症性脱髓鞘性多发性神经病中的腓肠神经活检:支持性病理标准对诊断是否有用?
Neurol India. 2010 Jul-Aug;58(4):542-8. doi: 10.4103/0028-3886.68673.
8
Patterns of nerve conduction abnormalities in POEMS syndrome.POEMS综合征的神经传导异常模式。
Muscle Nerve. 2002 Aug;26(2):189-93. doi: 10.1002/mus.10182.
9
Macrophage clustering as a diagnostic marker in sural nerve biopsies of patients with CIDP.巨噬细胞聚集作为慢性炎症性脱髓鞘性多发性神经病(CIDP)患者腓肠神经活检的诊断标志物。
Neurology. 2005 Dec 27;65(12):1924-9. doi: 10.1212/01.wnl.0000188879.19900.b7.
10
Clinical and electrophysiological profiles in early recognition of polyneuropathy, organomegaly, endocrinopathy, M-protein, and skin changes syndrome.早期识别多发性神经病、器官肿大、内分泌病、M 蛋白和皮肤改变综合征的临床和电生理特征。
Chin Med J (Engl). 2019 Jul 20;132(14):1666-1672. doi: 10.1097/CM9.0000000000000318.

引用本文的文献

1
Unusual Types of Plasma Cell Dyscrasias Associated With HIV: Polyneuropathy, Organomegaly, Endocrinopathy, M-protein, and Skin Changes (POEMS) Syndrome.与HIV相关的罕见浆细胞异常增生症:多神经病、器官肿大、内分泌病、M蛋白及皮肤改变(POEMS)综合征
Cureus. 2024 Jun 21;16(6):e62820. doi: 10.7759/cureus.62820. eCollection 2024 Jun.
2
Recent Advances in the Treatment and Supportive Care of POEMS Syndrome.POEMS综合征治疗与支持治疗的最新进展
J Clin Med. 2022 Nov 27;11(23):7011. doi: 10.3390/jcm11237011.
3
Patterns of myelinated nerve fibers loss in transthyretin amyloid polyneuropathy and mimics.

本文引用的文献

1
Prominent dysautonomia in a patient with POEMS syndrome.一位 POEMS 综合征患者出现显著自主神经功能紊乱。
Clin Auton Res. 2016 Jun;26(3):223-8. doi: 10.1007/s10286-016-0357-7. Epub 2016 May 11.
2
Uncompacted Myelin Lamellae and Nodal Ion Channel Disruption in POEMS Syndrome.POEMS综合征中的疏松髓鞘板层和结区离子通道破坏
J Neuropathol Exp Neurol. 2015 Dec;74(12):1127-36. doi: 10.1097/NEN.0000000000000257.
3
Multiple angiogenetic factors are upregulated in POEMS syndrome.多发性神经病变、器官肿大、内分泌病、单克隆免疫球蛋白血症及皮肤改变综合征中多种血管生成因子上调。
转甲状腺素蛋白淀粉样多神经病及其类似物中髓鞘神经纤维丢失的模式。
Ann Clin Transl Neurol. 2022 Jul;9(7):1059-1068. doi: 10.1002/acn3.51599. Epub 2022 Jun 4.
4
Nerve Ultrasound Performances in Differentiating POEMS Syndrome from CIDP.神经超声在鉴别POEMS综合征与慢性炎症性脱髓鞘性多发性神经病中的表现
Neurotherapeutics. 2022 Mar;19(2):455-463. doi: 10.1007/s13311-022-01209-8. Epub 2022 Mar 7.
5
Nerve Imaging, Electrodiagnostics, and Clinical Examination - Three Musketeers to Differentiate Polyneuropathies.神经影像学、电诊断学与临床检查——鉴别多发性神经病的“三个火枪手”
Neurotherapeutics. 2022 Mar;19(2):452-454. doi: 10.1007/s13311-022-01211-0. Epub 2022 Mar 7.
6
Length-dependent changes of lower limb muscle morphology in Chronic Inflammatory Demyelinating Polyneuropathy assessed with magnetic resonance imaging.利用磁共振成像评估慢性炎症性脱髓鞘性多发性神经病下肢肌肉形态的长度依赖性变化。
Eur J Transl Myol. 2021 Nov 18;31(4):10200. doi: 10.4081/ejtm.2021.10200.
7
Review Article "Spotlight on Ultrasonography in the Diagnosis of Peripheral Nerve Disease: The Evidence to Date".综述文章《超声检查在周围神经疾病诊断中的聚焦:迄今的证据》
Int J Gen Med. 2021 Aug 16;14:4579-4604. doi: 10.2147/IJGM.S295851. eCollection 2021.
8
Multisequence Quantitative Magnetic Resonance Neurography of Brachial and Lumbosacral Plexus in Chronic Inflammatory Demyelinating Polyneuropathy.慢性炎症性脱髓鞘性多发性神经病中臂丛和腰骶丛的多序列定量磁共振神经成像
Front Neurosci. 2021 Jul 23;15:649071. doi: 10.3389/fnins.2021.649071. eCollection 2021.
9
New evidence for secondary axonal degeneration in demyelinating neuropathies.脱髓鞘性神经病中继发性轴突变性的新证据。
Neurosci Lett. 2021 Jan 23;744:135595. doi: 10.1016/j.neulet.2020.135595. Epub 2020 Dec 24.
10
The Noninvasive Diagnostic Value of MRN for CIDP: A Research from Qualitative to Quantitative.磁共振神经成像技术(MRN)对 CIDP 的无创诊断价值:从定性到定量的研究。
Spine (Phila Pa 1976). 2020 Nov 1;45(21):1506-1512. doi: 10.1097/BRS.0000000000003599.
Ann Hematol. 2013 Jan;92(2):245-8. doi: 10.1007/s00277-012-1583-2. Epub 2012 Oct 6.
4
Markedly upregulated serum interleukin-12 as a novel biomarker in POEMS syndrome.显著上调的血清白细胞介素-12 作为 POEMS 综合征的新型生物标志物。
Neurology. 2012 Aug 7;79(6):575-82. doi: 10.1212/WNL.0b013e318263c42b. Epub 2012 Jul 25.
5
Uniform demyelination and more severe axonal loss distinguish POEMS syndrome from CIDP.POEMS 综合征与 CIDP 的区别在于其具有均一性脱髓鞘和更严重的轴索丢失。
J Neurol Neurosurg Psychiatry. 2012 May;83(5):480-6. doi: 10.1136/jnnp-2011-301472. Epub 2012 Mar 6.
6
Different neurological and physiological profiles in POEMS syndrome and chronic inflammatory demyelinating polyneuropathy.POEMS 综合征与慢性炎症性脱髓鞘性多发性神经病的不同神经和生理特征。
J Neurol Neurosurg Psychiatry. 2012 May;83(5):476-9. doi: 10.1136/jnnp-2011-301706. Epub 2012 Feb 15.
7
POEMS syndrome with prominent acute axonal lesions.POEMS 综合征伴突出的急性轴索性病变。
J Neurol Sci. 2012 Feb 15;313(1-2):185-8. doi: 10.1016/j.jns.2011.09.014. Epub 2011 Oct 5.
8
Clinicopathological profile of polyneuropathy, organomegaly, endocrinopathy, M protein and skin changes (POEMS) syndrome.多发性神经病、器官肿大、内分泌病、M 蛋白和皮肤改变(POEMS)综合征的临床病理特征。
J Clin Neurosci. 2011 Mar;18(3):356-60. doi: 10.1016/j.jocn.2010.07.124. Epub 2011 Jan 21.
9
Incidence and prevalence of CIDP and the association of diabetes mellitus.慢性炎症性脱髓鞘性多发性神经病的发病率、患病率及与糖尿病的关联。
Neurology. 2009 Jul 7;73(1):39-45. doi: 10.1212/WNL.0b013e3181aaea47.
10
Sural nerve and epidermal vascular abnormalities in a case of POEMS syndrome.POEMS综合征一例中的腓肠神经和表皮血管异常
Eur J Neurol. 2006 Jan;13(1):99-102. doi: 10.1111/j.1468-1331.2006.01117.x.