Suppr超能文献

一种用于从水样中检测 sp. 的非培养方法。

A Culture Independent Method for the Detection of sp. from Water Samples.

作者信息

Latif-Eugenín Fadua, Beaz-Hidalgo Roxana, María José Figueras

机构信息

Unit of Microbiology, Medicine and Health Science School, Rovira i Virgili University , Reus, Spain.

出版信息

Ital J Food Saf. 2016 Jan 18;5(1):5489. doi: 10.4081/ijfs.2016.5489.

Abstract

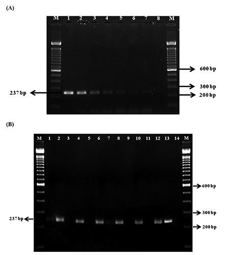
The genus is present in a wide variety of water environments and is recognised as potentially pathogenic to humans and animals. Members of this genus are often confused with when using automated, commercial identification systems that are culture-dependent. This study describes a polymerase chain reaction (PCR) detection method for that is culture-independent and that targets the glycerophospholopid-cholesterol acyltransferase () gene, which is specific for this genus. The GCAT-PCR was 100% specific in artificially inoculated water samples, with a detection limit that ranged from 2.5 to 25 cfu/mL. The success at detecting this pathogen in 86 water samples using the GCAT-PCR method was identical to the conventional culturing method when a pre-enrichment step was carried out, yielding 83.7% positive samples. On the other hand, without a pre-enrichment step, only 77.9% of the samples were positive by culturing and only 15.1% with the GCAT-PCR. However, 83.7% positive samples were obtained for the GCAT-PCR when the water volume for the DNA extraction was increased from 400 µL to 4 mL. The proposed molecular method is much faster (5 or 29 h) than the culturing method (24 or 48 h) whether performed directly or after a pre-enrichment step and it will enable the fast detection of in water samples helping to prevent a possible transmission to humans.

摘要

该属存在于多种水环境中,被认为对人类和动物具有潜在致病性。在使用依赖培养的自动化商业鉴定系统时,该属成员常与[另一属]混淆。本研究描述了一种针对[该属]的聚合酶链反应(PCR)检测方法,该方法不依赖培养,靶向甘油磷脂 - 胆固醇酰基转移酶()基因,该基因是该属特有的。GCAT - PCR在人工接种的水样中特异性为100%,检测限为2.5至25 cfu/mL。当进行预富集步骤时,使用GCAT - PCR方法在86份水样中检测该病原体的成功率与传统培养方法相同,阳性样本率为83.7%。另一方面,不进行预富集步骤时,培养法的阳性样本率仅为77.9%,而GCAT - PCR法仅为15.1%。然而,当DNA提取的水量从400 μL增加到4 mL时,GCAT - PCR的阳性样本率为83.7%。无论直接进行还是在预富集步骤后进行,所提出的分子方法比培养方法(24或48小时)快得多(5或29小时),它将能够快速检测水样中的[该属],有助于防止可能传播给人类。

https://cdn.ncbi.nlm.nih.gov/pmc/blobs/0ce6/5076704/d8c52c464b87/ijfs-2016-1-5489-g001.jpg

文献AI研究员

20分钟写一篇综述,助力文献阅读效率提升50倍。

立即体验

用中文搜PubMed

大模型驱动的PubMed中文搜索引擎

马上搜索

文档翻译

学术文献翻译模型,支持多种主流文档格式。

立即体验