Suppr超能文献

主动脉瘤即将破裂——一例病例报告及警示信号综述

Impending aortic aneurysm rupture - a case report and review of the warning signs.

作者信息

Gish David S, Baer J Austin, Crabtree Gordon S, Shaikh Bilal, Fareedy Shoaib B

机构信息

Department of Medicine, The Reading Hospital and Medical Center, West Reading, PA, USA;

Department of Medicine, The Penn State Milton S. Hershey Medical Center, Hershey, PA, USA.

出版信息

J Community Hosp Intern Med Perspect. 2016 Oct 26;6(5):32217. doi: 10.3402/jchimp.v6.32217. eCollection 2016.

Abstract

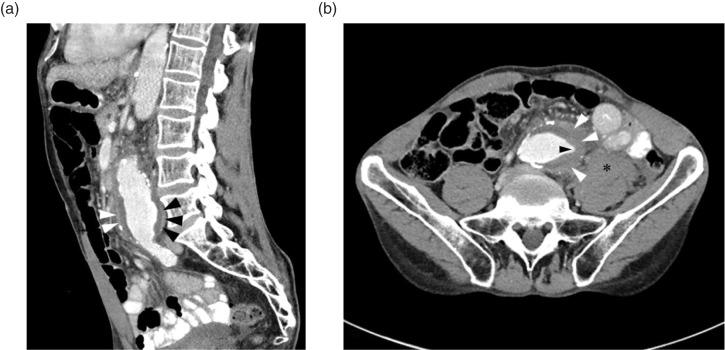
Abdominal aortic aneurysm (AAA) may present with subtle clinical findings. Recognition of the imaging features of an impending rupture is key for timely diagnosis. This report reviews the classic computed tomography findings of impending AAA rupture and presents a recent case which illustrates the key features.

摘要

腹主动脉瘤(AAA)可能表现出细微的临床症状。识别即将破裂的影像学特征是及时诊断的关键。本报告回顾了腹主动脉瘤即将破裂的经典计算机断层扫描结果,并呈现了一个近期病例以说明关键特征。

https://cdn.ncbi.nlm.nih.gov/pmc/blobs/d524/5087263/d38abee25f3a/JCHIMP-6-32217-g001.jpg

文献AI研究员

20分钟写一篇综述,助力文献阅读效率提升50倍。

立即体验

用中文搜PubMed

大模型驱动的PubMed中文搜索引擎

马上搜索

文档翻译

学术文献翻译模型,支持多种主流文档格式。

立即体验