Takei Hiroshi, Hanaoka Hironari, Kaneko Yuko, Yamaoka Kunihiro, Sasaki Aya, Takeuchi Tsutomu
Division of Rheumatology, Department of Internal Medicine, Keio University School of Medicine, Japan.
Intern Med. 2016;55(21):3197-3200. doi: 10.2169/internalmedicine.55.7110. Epub 2016 Nov 1.
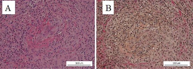
Polyarteritis nodosa (PAN) confined to the muscle is rare and hard to diagnose. Recently, the utility of magnetic resonance imaging (MRI) for detecting muscle involvement of PAN has been introduced. We herein report the case of biopsy-proven, refractory PAN confined to the lower limb muscles with enhanced MRI demonstrating discretely granular hyperintensities, which was contrary to previous reports. Our results, with those of previous reports, suggest that the MRI findings of muscles in PAN reflect the vessel size involved and disease severity.
局限于肌肉的结节性多动脉炎(PAN)罕见且难以诊断。最近,已引入磁共振成像(MRI)用于检测PAN肌肉受累情况。我们在此报告一例经活检证实的局限于下肢肌肉的难治性PAN病例,MRI增强显示散在颗粒状高信号,这与先前的报道相反。我们的结果与先前报道的结果表明,PAN中肌肉的MRI表现反映了受累血管大小和疾病严重程度。