Suppr超能文献

β-连环蛋白表达与WIF1呈负相关,并可预测宫颈癌患者的不良临床结局。

-Catenin Expression Negatively Correlates with WIF1 and Predicts Poor Clinical Outcomes in Patients with Cervical Cancer.

作者信息

Liang Jinxiao, Zhou Hui, Peng Yongpai, Xie Xiaofei, Li Ruixin, Liu Yunyun, Xie Qingsheng, Lin Zhongqiu

机构信息

Department of Gynecologic Oncology, Sun Yat-Sen Memorial Hospital, Sun Yat-Sen University, Guangzhou, China; Key Laboratory of Malignant Tumor Gene Regulation and Target Therapy of Guangdong Higher Education Institutes, Sun Yat-Sen University, Guangzhou, China.

Department of Gynecologic Oncology, Sun Yat-Sen Memorial Hospital, Sun Yat-Sen University, Guangzhou, China.

出版信息

Biomed Res Int. 2016;2016:4923903. doi: 10.1155/2016/4923903. Epub 2016 Oct 24.

Abstract

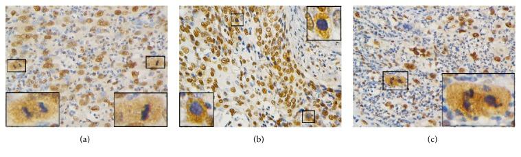
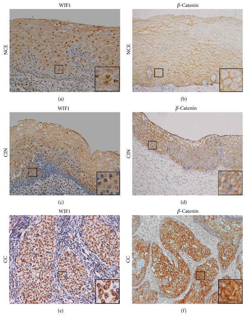
Aberrant activation of the canonical Wnt pathway plays a significant role in cervical cancer (CC). However, limited data show the correlation between the cancer clinicopathological characteristics and the key molecules such as -catenin and Wnt inhibitory factor 1 (WIF1). In this study, and expression were analyzed by immunohistochemistry for 196 patients with CC, 39 with cervical intraepithelial neoplasia (CIN), and 41 with normal cervical epithelium (NCE). Significant overexpression of was detected in CC (67.9%) when compared to CIN (43.6%) or NCE (34.1%), < 0.01, while low expression was detected in CC (24.0%) when compared to CIN (59.0%) or NCE (58.5%), < 0.001. Negative correlation was shown between and expression ( = -0.637, < 0.001). In addition, multivariate analysis revealed that both lymph node metastasis and expression were the independent prognostic factors not only for disease-free survival (HR = 5.029, < 0.001; HR = 2.588, = 0.035, resp.), but also for overall survival (HR = 5.058, < 0.001; HR = 2.873, = 0.031, resp.). Our findings indicate that, besides lymph node metastasis, -catenin expression may also be a poor prognostic factor for CC while WIF1 could be a potential drug target for treatment of advanced CC.

摘要

经典Wnt信号通路的异常激活在宫颈癌(CC)中起重要作用。然而,仅有有限的数据显示癌症临床病理特征与关键分子如β-连环蛋白和Wnt抑制因子1(WIF1)之间的相关性。在本研究中,采用免疫组织化学方法分析了196例CC患者、39例宫颈上皮内瘤变(CIN)患者和41例正常宫颈上皮(NCE)患者中β-连环蛋白和WIF1的表达情况。与CIN(43.6%)或NCE(34.1%)相比,CC中β-连环蛋白的表达显著上调(67.9%),P<0.01;而与CIN(59.0%)或NCE(58.5%)相比,CC中WIF1的表达下调(24.0%),P<0.001。β-连环蛋白和WIF1的表达呈负相关(r = -0.637,P<0.001)。此外,多因素分析显示,淋巴结转移和β-连环蛋白表达不仅是无病生存期(HR = 5.029,P<0.001;HR = 2.588,P = 0.035)的独立预后因素,也是总生存期(HR = 5.058,P<0.001;HR = 2.873,P = 0.031)的独立预后因素。我们的研究结果表明,除淋巴结转移外,β-连环蛋白表达可能也是CC的不良预后因素,而WIF1可能是晚期CC治疗的潜在药物靶点。

https://cdn.ncbi.nlm.nih.gov/pmc/blobs/19ef/5098059/2c79809ea108/BMRI2016-4923903.001.jpg

文献AI研究员

20分钟写一篇综述,助力文献阅读效率提升50倍。

立即体验

用中文搜PubMed

大模型驱动的PubMed中文搜索引擎

马上搜索

文档翻译

学术文献翻译模型,支持多种主流文档格式。

立即体验