Suppr超能文献

创伤性硬膜下积液患者发生慢性硬膜下血肿的危险因素分析。

Analysis of Risk Factor for the Development of Chronic Subdural Hematoma in Patients with Traumatic Subdural Hygroma.

作者信息

Ahn Jun Hyong, Jun Hyo Sub, Kim Ji Hee, Oh Jae Keun, Song Joon Ho, Chang In Bok

机构信息

Department of Neurosurgery, Hallym University Sacred Heart Hospital, Anyang, Korea.

出版信息

J Korean Neurosurg Soc. 2016 Nov;59(6):622-627. doi: 10.3340/jkns.2016.59.6.622. Epub 2016 Oct 24.

Abstract

OBJECTIVE

Although a high incidence of chronic subdural hematoma (CSDH) following traumatic subdural hygroma (SDG) has been reported, no study has evaluated risk factors for the development of CSDH. Therefore, we analyzed the risk factors contributing to formation of CSDH in patients with traumatic SDG.

METHODS

We retrospectively reviewed patients admitted to Hallym University Hospital with traumatic head injury from January 2004 through December 2013. A total of 45 patients with these injuries in which traumatic SDG developed during the follow-up period were analyzed. All patients were divided into two groups based on the development of CSDH, and the associations between the development of CSDH and independent variables were investigated.

RESULTS

Thirty-one patients suffered from bilateral SDG, whereas 14 had unilateral SDG. Follow-up computed tomography scans revealed regression of SDG in 25 of 45 patients (55.6%), but the remaining 20 patients (44.4%) suffered from transition to CSDH. Eight patients developed bilateral CSDH, and 12 patients developed unilateral CSDH. Hemorrhage-free survival rates were significantly lower in the male and bilateral SDG group (log-rank test; =0.043 and =0.013, respectively). Binary logistic regression analysis revealed male (OR, 7.68; 95% CI 1.18-49.78; =0.033) and bilateral SDG (OR, 8.04; 95% CI 1.41-45.7; =0.019) were significant risk factors for development of CSDH.

CONCLUSION

The potential to evolve into CSDH should be considered in patients with traumatic SDG, particularly male patients with bilateral SDG.

摘要

目的

尽管有报道称创伤性硬膜下积液(SDG)后慢性硬膜下血肿(CSDH)的发生率较高,但尚无研究评估CSDH发生的危险因素。因此,我们分析了创伤性SDG患者发生CSDH的危险因素。

方法

我们回顾性分析了2004年1月至2013年12月在翰林大学医院因创伤性颅脑损伤入院的患者。对随访期间发生创伤性SDG的45例此类损伤患者进行了分析。根据CSDH的发生情况将所有患者分为两组,并研究CSDH的发生与自变量之间的关联。

结果

31例患者患有双侧SDG,而14例患有单侧SDG。随访计算机断层扫描显示,45例患者中有25例(55.6%)的SDG消退,但其余20例患者(44.4%)转变为CSDH。8例患者发生双侧CSDH,12例患者发生单侧CSDH。男性和双侧SDG组的无出血生存率显著较低(对数秩检验;分别为=0.043和=0.013)。二元逻辑回归分析显示,男性(比值比,7.68;95%置信区间1.18-49.78;=0.033)和双侧SDG(比值比,8.04;95%置信区间1.41-45.7;=0.019)是CSDH发生的显著危险因素。

结论

创伤性SDG患者,尤其是双侧SDG的男性患者,应考虑有演变为CSDH的可能性。

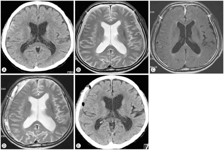
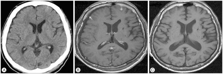
https://cdn.ncbi.nlm.nih.gov/pmc/blobs/e572/5106363/ba48149e7ee7/jkns-59-622-g001.jpg

文献AI研究员

20分钟写一篇综述,助力文献阅读效率提升50倍。

立即体验

用中文搜PubMed

大模型驱动的PubMed中文搜索引擎

马上搜索

文档翻译

学术文献翻译模型,支持多种主流文档格式。

立即体验