• 文献检索
  • 文档翻译
  • 深度研究
  • 学术资讯
  • Suppr Zotero 插件Zotero 插件
  • 邀请有礼
  • 套餐&价格
  • 历史记录
应用&插件
Suppr Zotero 插件Zotero 插件浏览器插件Mac 客户端Windows 客户端微信小程序
定价
高级版会员购买积分包购买API积分包
服务
文献检索文档翻译深度研究API 文档MCP 服务
关于我们
关于 Suppr公司介绍联系我们用户协议隐私条款
关注我们

Suppr 超能文献

核心技术专利:CN118964589B侵权必究
粤ICP备2023148730 号-1Suppr @ 2026

文献检索

告别复杂PubMed语法,用中文像聊天一样搜索,搜遍4000万医学文献。AI智能推荐,让科研检索更轻松。

立即免费搜索

文件翻译

保留排版,准确专业,支持PDF/Word/PPT等文件格式,支持 12+语言互译。

免费翻译文档

深度研究

AI帮你快速写综述,25分钟生成高质量综述,智能提取关键信息,辅助科研写作。

立即免费体验

一项单中心 208 例单侧慢性硬脑膜下血肿回顾性研究,比较颅骨钻孔引流术和血肿引流术在 48 小时内和 48 小时至 5 天内的疗效。

A Retrospective Study from a Single Center of 208 Patients with Unilateral Chronic Subdural Hematoma to Compare Outcomes Following Burr Hole Craniotomy and Hematoma Drainage Within 48 Hours and Between 48 Hours and 5 Days.

机构信息

Department of Neurosurgery, Hallym University Kangnam Sacred Heart Hospital, Hallym University College of Medicine, Seoul, South Korea.

Department of Neurosurgery, Korea University Ansan Hospital, Ansan, South Korea.

出版信息

Med Sci Monit. 2022 May 22;28:e936774. doi: 10.12659/MSM.936774.

DOI:10.12659/MSM.936774
PMID:35652148
原文链接:https://pmc.ncbi.nlm.nih.gov/articles/PMC9134841/
Abstract

BACKGROUND This retrospective study from a single center aimed to compare patient outcomes following burr hole craniotomy (BHC) and hematoma drainage within 48 hours and between 48 hours and 5 days in 208 patients with unilateral chronic subdural hematoma (CSDH). MATERIAL AND METHODS Patients were divided into 2 groups according to the duration of drainage: early (1 or 2 days, n=100) and late (3-5 days, n=108) drain removal. We compared the clinical outcomes, recurrence rate, time to recurrence, and complications between the groups. Quantitative analysis of computed tomography parameters at various time points (postoperative, day of drain removal, and postoperative day 7) was also performed to compare radiologic outcomes. RESULTS Clinical outcomes and recurrence rate were similar in both groups. We found no significant differences in radiologic outcomes of both groups through all chronologies, although the total drainage volume was significantly greater in the late removal group (P.

摘要

背景

本单中心回顾性研究旨在比较 208 例单侧慢性硬脑膜下血肿(CSDH)患者在接受颅骨钻孔术(BHC)和血肿引流后 48 小时内和 48-5 天内的患者结局。

材料和方法

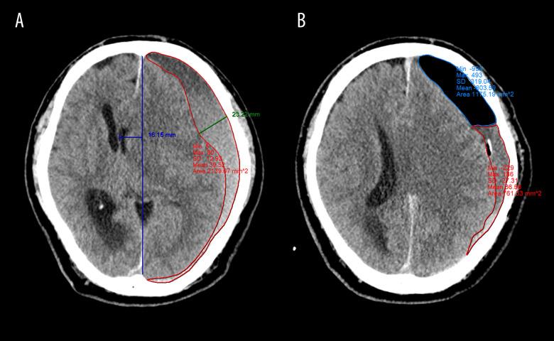
根据引流时间将患者分为两组:早期(1 或 2 天,n=100)和晚期(3-5 天,n=108)拔管。我们比较了两组的临床结局、复发率、复发时间和并发症。还对不同时间点(术后、拔管当天和术后第 7 天)的 CT 参数进行定量分析,以比较影像学结果。

结果

两组的临床结局和复发率相似。虽然晚期拔除组的总引流量明显更大(P<.001),但通过所有时间序列,我们发现两组的影像学结果没有显著差异。

https://cdn.ncbi.nlm.nih.gov/pmc/blobs/cb62/9134841/a07c51597dde/medscimonit-28-e936774-g005.jpg
https://cdn.ncbi.nlm.nih.gov/pmc/blobs/cb62/9134841/41145ee54557/medscimonit-28-e936774-g001.jpg
https://cdn.ncbi.nlm.nih.gov/pmc/blobs/cb62/9134841/13fc6f6fcfd3/medscimonit-28-e936774-g002.jpg
https://cdn.ncbi.nlm.nih.gov/pmc/blobs/cb62/9134841/d1f56010be16/medscimonit-28-e936774-g003.jpg
https://cdn.ncbi.nlm.nih.gov/pmc/blobs/cb62/9134841/e7df6df3c92d/medscimonit-28-e936774-g004.jpg
https://cdn.ncbi.nlm.nih.gov/pmc/blobs/cb62/9134841/a07c51597dde/medscimonit-28-e936774-g005.jpg
https://cdn.ncbi.nlm.nih.gov/pmc/blobs/cb62/9134841/41145ee54557/medscimonit-28-e936774-g001.jpg
https://cdn.ncbi.nlm.nih.gov/pmc/blobs/cb62/9134841/13fc6f6fcfd3/medscimonit-28-e936774-g002.jpg
https://cdn.ncbi.nlm.nih.gov/pmc/blobs/cb62/9134841/d1f56010be16/medscimonit-28-e936774-g003.jpg
https://cdn.ncbi.nlm.nih.gov/pmc/blobs/cb62/9134841/e7df6df3c92d/medscimonit-28-e936774-g004.jpg
https://cdn.ncbi.nlm.nih.gov/pmc/blobs/cb62/9134841/a07c51597dde/medscimonit-28-e936774-g005.jpg

相似文献

1
A Retrospective Study from a Single Center of 208 Patients with Unilateral Chronic Subdural Hematoma to Compare Outcomes Following Burr Hole Craniotomy and Hematoma Drainage Within 48 Hours and Between 48 Hours and 5 Days.一项单中心 208 例单侧慢性硬脑膜下血肿回顾性研究,比较颅骨钻孔引流术和血肿引流术在 48 小时内和 48 小时至 5 天内的疗效。
Med Sci Monit. 2022 May 22;28:e936774. doi: 10.12659/MSM.936774.
2
Outcomes of Subdural Versus Subperiosteal Drain After Burr-Hole Evacuation of Chronic Subdural Hematoma: A Multicenter Cohort Study.颅骨钻孔术后慢性硬脑膜下血肿引流中外膜下与硬脑膜下置管引流的结果:一项多中心队列研究。
World Neurosurg. 2019 Nov;131:e392-e401. doi: 10.1016/j.wneu.2019.07.168. Epub 2019 Jul 30.
3
Subdural drainage techniques for single burr-hole evacuation of chronic subdural hematoma: two drains frontal-occipital position versus one drain frontal position.单骨孔引流术治疗慢性硬脑膜下血肿的硬膜下引流技术:双引流额枕位与单引流额位的比较。
Br J Neurosurg. 2021 Jun;35(3):324-328. doi: 10.1080/02688697.2020.1812520. Epub 2020 Sep 1.
4
Clinical investigation of chronic subdural hematoma: Relationship between surgical approach, drainage location, use of antithrombotic drugs and postoperative recurrence.慢性硬膜下血肿的临床研究:手术入路、引流位置、抗血栓药物的使用与术后复发之间的关系
Clin Neurol Neurosurg. 2020 Apr;191:105705. doi: 10.1016/j.clineuro.2020.105705. Epub 2020 Jan 31.
5
Does Drain Position and Duration Influence Outcomes in Patients Undergoing Burr-Hole Evacuation of Chronic Subdural Hematoma? Lessons from a UK Multicenter Prospective Cohort Study.引流位置和持续时间是否会影响慢性硬脑膜下血肿颅骨钻孔引流术患者的结局?来自英国多中心前瞻性队列研究的经验教训。
Neurosurgery. 2019 Oct 1;85(4):486-493. doi: 10.1093/neuros/nyy366.
6
Which surgical procedure is effective for refractory chronic subdural hematoma? Analysis of our surgical procedures and literature review.哪种手术方法对难治性慢性硬膜下血肿有效?我们的手术方法分析及文献综述。
J Clin Neurosci. 2018 Mar;49:40-47. doi: 10.1016/j.jocn.2017.11.009. Epub 2017 Dec 20.
7
Time to and Possible Risk Factors for Recurrence after Burr-hole Drainage of Chronic Subdural Hematoma: A Subanalysis of the cSDH-Drain Randomized Controlled Trial.慢性硬脑膜下血肿钻孔引流术后复发时间及可能的危险因素:cSDH-Drain 随机对照试验的亚组分析。
World Neurosurg. 2019 Dec;132:e283-e289. doi: 10.1016/j.wneu.2019.08.175. Epub 2019 Aug 31.
8
Transition of a Clinical Practice to Use of Subdural Drains after Burr Hole Evacuation of Chronic Subdural Hematoma: The Helsinki Experience.慢性硬脑膜下血肿颅骨钻孔引流术后使用硬膜下引流的临床实践转变:赫尔辛基经验。
World Neurosurg. 2019 Sep;129:e614-e626. doi: 10.1016/j.wneu.2019.05.230. Epub 2019 May 31.
9
The number of burr holes and use of a drain do not interfere with surgical results of chronic subdural hematomas.钻孔的数量及引流的使用并不影响慢性硬膜下血肿的手术效果。
Arq Neuropsiquiatr. 2017 Nov;75(11):809-812. doi: 10.1590/0004-282X20170136.
10
Burr-Hole Craniostomy with T-Tube Drainage as Surgical Treatment for Chronic Subdural Hematoma.带T型管引流的钻孔颅骨造口术作为慢性硬膜下血肿的手术治疗方法
World Neurosurg. 2018 Jul;115:e756-e760. doi: 10.1016/j.wneu.2018.04.168. Epub 2018 May 3.

引用本文的文献

1
Incision of the Internal Membrane Under an Endoscope for Advanced Organized Chronic Subdural Hematoma: A Case Report.内镜下切开内膜治疗晚期机化性慢性硬膜下血肿:一例报告
Cureus. 2025 Apr 29;17(4):e83213. doi: 10.7759/cureus.83213. eCollection 2025 Apr.
2
Risk factors for recurrence of chronic subdural hematoma after surgical evacuation: a systematic review and meta-analysis.慢性硬脑膜下血肿术后复发的危险因素:系统评价和荟萃分析。
Neurosurg Rev. 2023 Oct 16;46(1):270. doi: 10.1007/s10143-023-02175-1.
3
Chronic subdural hematoma: time for an evidence-based surgical treatment.

本文引用的文献

1
National randomized clinical trial on subdural drainage time after chronic subdural hematoma evacuation.慢性硬膜下血肿清除术后硬膜下引流时间的全国随机临床试验。
J Neurosurg. 2021 Dec 31;137(3):799-806. doi: 10.3171/2021.10.JNS211608. Print 2022 Sep 1.
2
Contralateral subdural effusion after decompressive craniectomy: What is the optimal treatment?去骨瓣减压术后对侧硬脑膜下积液:最佳治疗方法是什么?
Clin Neurol Neurosurg. 2021 Nov;210:106950. doi: 10.1016/j.clineuro.2021.106950. Epub 2021 Sep 17.
3
Subdural drainage techniques for single burr-hole evacuation of chronic subdural hematoma: two drains frontal-occipital position versus one drain frontal position.
慢性硬膜下血肿:基于证据的外科治疗时机
Acta Neurochir (Wien). 2023 Sep;165(9):2361-2363. doi: 10.1007/s00701-023-05677-5. Epub 2023 Jun 20.
4
Middle meningeal artery embolisation: The review of a new treatment for chronic subdural hematomas.脑膜中动脉栓塞术:慢性硬膜下血肿新治疗方法的综述
Surg Neurol Int. 2023 Feb 24;14:66. doi: 10.25259/SNI_1096_2022. eCollection 2023.
单骨孔引流术治疗慢性硬脑膜下血肿的硬膜下引流技术:双引流额枕位与单引流额位的比较。
Br J Neurosurg. 2021 Jun;35(3):324-328. doi: 10.1080/02688697.2020.1812520. Epub 2020 Sep 1.
4
Reinitiation of Anticoagulation After Surgical Evacuation of Subdural Hematomas.硬膜下血肿手术清除后抗凝治疗的重新启动
World Neurosurg. 2020 Mar;135:e616-e622. doi: 10.1016/j.wneu.2019.12.080. Epub 2019 Dec 23.
5
Time to and Possible Risk Factors for Recurrence after Burr-hole Drainage of Chronic Subdural Hematoma: A Subanalysis of the cSDH-Drain Randomized Controlled Trial.慢性硬脑膜下血肿钻孔引流术后复发时间及可能的危险因素:cSDH-Drain 随机对照试验的亚组分析。
World Neurosurg. 2019 Dec;132:e283-e289. doi: 10.1016/j.wneu.2019.08.175. Epub 2019 Aug 31.
6
The incidence of chronic subdural hematomas from 1990 to 2015 in a defined Finnish population.1990年至2015年芬兰特定人群中慢性硬膜下血肿的发病率。
J Neurosurg. 2019 Mar 22;132(4):1147-1157. doi: 10.3171/2018.12.JNS183035. Print 2020 Apr 1.
7
Does Drain Position and Duration Influence Outcomes in Patients Undergoing Burr-Hole Evacuation of Chronic Subdural Hematoma? Lessons from a UK Multicenter Prospective Cohort Study.引流位置和持续时间是否会影响慢性硬脑膜下血肿颅骨钻孔引流术患者的结局?来自英国多中心前瞻性队列研究的经验教训。
Neurosurgery. 2019 Oct 1;85(4):486-493. doi: 10.1093/neuros/nyy366.
8
Management of Recurrent Subdural Hematomas.复发性硬膜下血肿的管理
Neurosurg Clin N Am. 2017 Apr;28(2):279-286. doi: 10.1016/j.nec.2016.11.010. Epub 2017 Jan 4.
9
Is the recurrence rate of chronic subdural hematomas dependent on the duration of drainage?慢性硬膜下血肿的复发率是否取决于引流持续时间?
Neurol Res. 2017 May;39(5):399-402. doi: 10.1080/01616412.2017.1296655. Epub 2017 Feb 22.
10
Increasing incidence of chronic subdural haematoma in the elderly.老年人慢性硬膜下血肿发病率增高。
QJM. 2017 Jun 1;110(6):375-378. doi: 10.1093/qjmed/hcw231.