Suppr超能文献

线性泛素链组装复合物协调晚期胸腺 T 细胞分化和调节性 T 细胞动态平衡。

Linear ubiquitin chain assembly complex coordinates late thymic T-cell differentiation and regulatory T-cell homeostasis.

机构信息

The Walter and Eliza Hall Institute of Medical Research, 1G Royal Parade, Parkville, Victoria 3052, Australia.

Department of Medical Biology, The University of Melbourne, Melbourne, Victoria 3052, Australia.

出版信息

Nat Commun. 2016 Nov 18;7:13353. doi: 10.1038/ncomms13353.

Abstract

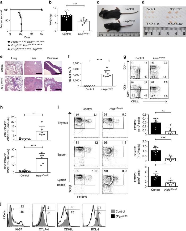
The linear ubiquitin chain assembly complex (LUBAC) is essential for innate immunity in mice and humans, yet its role in adaptive immunity is unclear. Here we show that the LUBAC components HOIP, HOIL-1 and SHARPIN have essential roles in late thymocyte differentiation, FOXP3 regulatory T (Treg)-cell development and Treg cell homeostasis. LUBAC activity is not required to prevent TNF-induced apoptosis or necroptosis but is necessary for the transcriptional programme of the penultimate stage of thymocyte differentiation. Treg cell-specific ablation of HOIP causes severe Treg cell deficiency and lethal immune pathology, revealing an ongoing requirement of LUBAC activity for Treg cell homeostasis. These data reveal stage-specific requirements for LUBAC in coordinating the signals required for T-cell differentiation.

摘要

线性泛素链组装复合物(LUBAC)对于小鼠和人类的固有免疫至关重要,但它在适应性免疫中的作用尚不清楚。在这里,我们表明 LUBAC 组件 HOIP、HOIL-1 和 SHARPIN 在晚期胸腺细胞分化、FOXP3 调节性 T(Treg)细胞发育和 Treg 细胞稳态中具有重要作用。LUBAC 活性对于防止 TNF 诱导的细胞凋亡或坏死性凋亡不是必需的,但对于胸腺细胞分化的倒数第二个阶段的转录程序是必需的。胸腺细胞特异性 HOIP 缺失导致严重的 Treg 细胞缺陷和致命的免疫病理学,这揭示了 LUBAC 活性对于 Treg 细胞稳态的持续需求。这些数据揭示了 LUBAC 在协调 T 细胞分化所需信号方面的特定阶段需求。

https://cdn.ncbi.nlm.nih.gov/pmc/blobs/a22b/5120208/4c46c8d3c2b1/ncomms13353-f1.jpg

文献检索

告别复杂PubMed语法,用中文像聊天一样搜索,搜遍4000万医学文献。AI智能推荐,让科研检索更轻松。

立即免费搜索

文件翻译

保留排版,准确专业,支持PDF/Word/PPT等文件格式,支持 12+语言互译。

免费翻译文档

深度研究

AI帮你快速写综述,25分钟生成高质量综述,智能提取关键信息,辅助科研写作。

立即免费体验