Suppr超能文献

重新格式化的锥形束CT图像在评估面中部创伤中的应用,重点关注眶底骨折。

The use of reformatted Cone Beam CT images in assessing mid-face trauma, with a focus on the orbital floor fractures.

作者信息

Roman Raluca, Hedeşiu Mihaela, Fildan Floarea, Ileşan Robert, Mitea Diana, Dinu Cristian, Băciuţ Mihaela

机构信息

Department of Cranio-Maxillofacial Surgery and Radiology, Faculty of Dentistry, University of Medicine and Pharmacy Iuliu Hatieganu, Cluj-Napoca, Romania.

Department of Maxillofacial Surgery and Implantology, Faculty of Dentistry, Iuliu Haţieganu University of Medicine and Pharmacy, Cluj-Napoca, Romania.

出版信息

Clujul Med. 2016;89(4):519-524. doi: 10.15386/cjmed-601. Epub 2016 Oct 20.

Abstract

BACKGROUND AND AIM

This study aims at evaluating the reliability on specific multi-planar cone beam computer tomography (CBCT) reconstruction in the orbital floor fractures.

METHODS

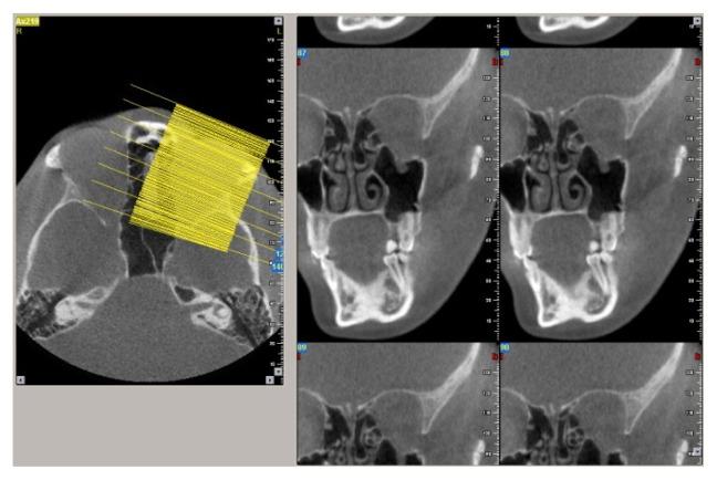
CBCT examination of the mid-face fractures area involving the floor of the orbit was performed in a number of 93 trauma patients by two independent radiologists. Both radiologists assessed the axial, coronal and sagittal sections and also the oblique coronal and sagittal extracted sections evaluating the location of the orbital fractures, its size and displacement, the involvement of the infra-orbital foramen, herniation of fat or muscle within the maxillary sinus, the overall type of the fracture and the implication of lateral or medial orbital wall. We also registered the section that provided better confidence of both examiners in visualizing the fracture of the orbit floor and the presence of herniated soft tissue, on different reformatted sectioning.

RESULTS

The presence of pure fracture of the orbital floor was detected in 11% of patients. The association of the orbital fractures with the zygomatic fractures was identified in the majority of the patients. In 86% of patients the displacement of the floor of the orbit was visualized, and in almost 30% of cases more than 50% of the orbital floor was involved in the fracture. Regarding the confidence between examiners, they were more confident using the oblique sagittal CBCT reformatted images for fracture detection and bone displacement evaluation, as for the soft tissue herniation the oblique coronal sections provided the highest level of confidence.

CONCLUSION

Mid-face trauma involves the orbital floor in the majority of situations. CBCT allows to obtain oblique images extracted from the three dimensional (3D) data that provide high confidence level in assessing pure orbital floor fractures.

摘要

背景与目的

本研究旨在评估特定多平面锥形束计算机断层扫描(CBCT)重建技术在眶底骨折中的可靠性。

方法

由两名独立的放射科医生对93例创伤患者进行涉及眶底的面中部骨折区域的CBCT检查。两位放射科医生均评估了轴向、冠状和矢状面图像,以及斜冠状和矢状面提取图像,以评估眶骨折的位置、大小和移位情况,眶下孔受累情况,上颌窦内脂肪或肌肉疝出情况,骨折的整体类型以及眶外侧壁或内侧壁的累及情况。我们还记录了在不同的重组切片上,两位检查者对显示眶底骨折和疝出软组织存在更有信心的切片。

结果

11%的患者检测到单纯眶底骨折。大多数患者的眶骨折与颧骨骨折相关。86%的患者可见眶底移位,近30%的病例中超过50%的眶底涉及骨折。关于检查者之间的信心,他们在使用斜矢状面CBCT重组图像进行骨折检测和骨移位评估时更有信心,而对于软组织疝出,斜冠状面图像提供了最高的信心水平。

结论

在大多数情况下,面中部创伤累及眶底。CBCT能够从三维(3D)数据中获取斜位图像,在评估单纯眶底骨折时具有较高的信心水平。

https://cdn.ncbi.nlm.nih.gov/pmc/blobs/9a59/5111493/c59d2c3a5056/cm-89-519f1.jpg

文献AI研究员

20分钟写一篇综述,助力文献阅读效率提升50倍。

立即体验

用中文搜PubMed

大模型驱动的PubMed中文搜索引擎

马上搜索

文档翻译

学术文献翻译模型,支持多种主流文档格式。

立即体验