• 文献检索
  • 文档翻译
  • 深度研究
  • 学术资讯
  • Suppr Zotero 插件Zotero 插件
  • 邀请有礼
  • 套餐&价格
  • 历史记录
应用&插件
Suppr Zotero 插件Zotero 插件浏览器插件Mac 客户端Windows 客户端微信小程序
定价
高级版会员购买积分包购买API积分包
服务
文献检索文档翻译深度研究API 文档MCP 服务
关于我们
关于 Suppr公司介绍联系我们用户协议隐私条款
关注我们

Suppr 超能文献

核心技术专利:CN118964589B侵权必究
粤ICP备2023148730 号-1Suppr @ 2026

文献检索

告别复杂PubMed语法,用中文像聊天一样搜索,搜遍4000万医学文献。AI智能推荐,让科研检索更轻松。

立即免费搜索

文件翻译

保留排版,准确专业,支持PDF/Word/PPT等文件格式,支持 12+语言互译。

免费翻译文档

深度研究

AI帮你快速写综述,25分钟生成高质量综述,智能提取关键信息,辅助科研写作。

立即免费体验

McCune-Albright综合征——纤维性骨发育不良、牛奶咖啡斑和甲状腺功能亢进症的关联——病例报告。

McCune Albright syndrome - association of fibrous dysplasia, café-au-lait skin spots and hyperthyroidism - case report.

作者信息

Raus Iulian, Coroiu Roxana Elena

机构信息

Department of Radiology, Dr. Constantin Papilian Military and Emergency Hospital, Cluj-Napoca, Romania.

Department of Radiology, Iuliu Hatieganu University of Medicine and Pharmacy, Cluj-Napoca, Romania.

出版信息

Clujul Med. 2016;89(4):559-564. doi: 10.15386/cjmed-624. Epub 2016 Oct 20.

DOI:10.15386/cjmed-624
PMID:27857528
原文链接:https://pmc.ncbi.nlm.nih.gov/articles/PMC5111499/
Abstract

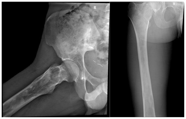
McCune-Albright syndrome is a rare sporadic disease characterized by bone fibrous dysplasia, café-au-lait skin spots and a variable association of hyperfunctional endocrine disorders. Fibrous dysplasia (FD), which can involve the craniofacial, axial, and appendicular skeleton, may range from an isolated, asymptomatic monostotic lesion to a severe disabling polyostotic disease involving the entire skeleton. A twenty-five-year old male patient presented to our clinic with recently developed heart palpitations. He had also been feeling pain in the right femur since he was younger, without any trauma history, leading to difficulties of ambulation and limping occasionally. His physical examination revealed café-au-lait spots with irregular borders and right testicular agenesis. Laboratory findings identified hyperthyroidism with hyperparathyroidism. Radiographs of the pelvis revealed multiple lytic lesions of the right femur and magnetic resonance imaging (MRI) characterized these lesions as specific to fibrous dysplasia of the bone, without any insufficiency fracture at this level. The association of café-au-lait skin spots with bone fibrous dysplasia, and hyperthyroidism in this patient suggested the diagnosis of McCune - Albright syndrome.

摘要

McCune - Albright综合征是一种罕见的散发性疾病,其特征为骨纤维发育不良、咖啡斑皮肤斑点以及多种功能性内分泌紊乱。纤维发育不良(FD)可累及颅面骨、中轴骨和四肢骨骼,范围从孤立的无症状单骨病变到累及整个骨骼的严重致残性多骨疾病。一名25岁男性患者因近期出现心悸前来我院就诊。他自幼右股骨就一直疼痛,无任何外伤史,导致行走困难且偶尔跛行。体格检查发现边界不规则的咖啡斑以及右侧睾丸发育不全。实验室检查结果显示患有甲状腺功能亢进和甲状旁腺功能亢进。骨盆X线片显示右股骨有多个溶骨性病变,磁共振成像(MRI)将这些病变特征化为特定的骨纤维发育不良,在此层面无任何应力性骨折。该患者咖啡斑皮肤斑点与骨纤维发育不良及甲状腺功能亢进的关联提示了McCune - Albright综合征的诊断。

https://cdn.ncbi.nlm.nih.gov/pmc/blobs/897d/5111499/26d58ac5c977/cm-89-559f7.jpg
https://cdn.ncbi.nlm.nih.gov/pmc/blobs/897d/5111499/f6c5fe4f15f5/cm-89-559f1.jpg
https://cdn.ncbi.nlm.nih.gov/pmc/blobs/897d/5111499/63bcb092e22c/cm-89-559f2.jpg
https://cdn.ncbi.nlm.nih.gov/pmc/blobs/897d/5111499/ea6d6cb6402b/cm-89-559f3.jpg
https://cdn.ncbi.nlm.nih.gov/pmc/blobs/897d/5111499/08dc156d3e87/cm-89-559f4.jpg
https://cdn.ncbi.nlm.nih.gov/pmc/blobs/897d/5111499/768911af6e1f/cm-89-559f5.jpg
https://cdn.ncbi.nlm.nih.gov/pmc/blobs/897d/5111499/c6f82f88a3d1/cm-89-559f6.jpg
https://cdn.ncbi.nlm.nih.gov/pmc/blobs/897d/5111499/26d58ac5c977/cm-89-559f7.jpg
https://cdn.ncbi.nlm.nih.gov/pmc/blobs/897d/5111499/f6c5fe4f15f5/cm-89-559f1.jpg
https://cdn.ncbi.nlm.nih.gov/pmc/blobs/897d/5111499/63bcb092e22c/cm-89-559f2.jpg
https://cdn.ncbi.nlm.nih.gov/pmc/blobs/897d/5111499/ea6d6cb6402b/cm-89-559f3.jpg
https://cdn.ncbi.nlm.nih.gov/pmc/blobs/897d/5111499/08dc156d3e87/cm-89-559f4.jpg
https://cdn.ncbi.nlm.nih.gov/pmc/blobs/897d/5111499/768911af6e1f/cm-89-559f5.jpg
https://cdn.ncbi.nlm.nih.gov/pmc/blobs/897d/5111499/c6f82f88a3d1/cm-89-559f6.jpg
https://cdn.ncbi.nlm.nih.gov/pmc/blobs/897d/5111499/26d58ac5c977/cm-89-559f7.jpg

相似文献

1
McCune Albright syndrome - association of fibrous dysplasia, café-au-lait skin spots and hyperthyroidism - case report.McCune-Albright综合征——纤维性骨发育不良、牛奶咖啡斑和甲状腺功能亢进症的关联——病例报告。
Clujul Med. 2016;89(4):559-564. doi: 10.15386/cjmed-624. Epub 2016 Oct 20.
2
[McCune-Albright syndrome revealed by Blaschko-linear café-au-lait spots on the back].背部出现布拉斯科线性咖啡牛奶斑提示的McCune-Albright综合征
Ann Dermatol Venereol. 2016 Jan;143(1):21-6. doi: 10.1016/j.annder.2015.10.585. Epub 2015 Nov 25.
3
Polyostotic Fibrous Dysplasia With and Without McCune-Albright Syndrome-Clinical Features in a Nordic Pediatric Cohort.伴有或不伴有McCune-Albright综合征的多骨型纤维发育不良——北欧儿科队列中的临床特征
Front Endocrinol (Lausanne). 2018 Mar 15;9:96. doi: 10.3389/fendo.2018.00096. eCollection 2018.
4
Craniofacial fibrous dysplasia and aneurismal bone cyst in a patient with McCune-Albright syndrome. A case report and review of the literature.McCune-Albright综合征患者的颅面部纤维发育不良和动脉瘤样骨囊肿。病例报告及文献复习
Neurocirugia (Engl Ed). 2023 Sep-Oct;34(5):268-272. doi: 10.1016/j.neucie.2022.09.002. Epub 2022 Sep 30.
5
Hyperthyroidism with fibrous dysplasia: an unusual presentation of McCune-Albright syndrome.甲状腺功能亢进伴纤维发育不良:McCune-Albright综合征的一种罕见表现。
Exp Clin Endocrinol Diabetes. 2007 May;115(5):331-3. doi: 10.1055/s-2007-960497.
6
[McCune-Albright syndrome: a case report and literature review].[McCune-Albright综合征:一例报告及文献综述]
Pan Afr Med J. 2023 Sep 22;46:33. doi: 10.11604/pamj.2023.46.33.35274. eCollection 2023.
7
Neonatal McCune-Albright syndrome with systemic involvement: a case report.新生儿系统性受累的McCune-Albright综合征:一例报告
J Med Case Rep. 2015 Sep 4;9:189. doi: 10.1186/s13256-015-0689-2.
8
Radioiodine treatment in McCune-Albright syndrome with hyperthyroidism.放射性碘治疗伴有甲状腺功能亢进的McCune-Albright综合征
Indian J Endocrinol Metab. 2012 Jul;16(4):654-6. doi: 10.4103/2230-8210.98035.
9
Hypothyroidism in McCune-Albright Syndrome and Role of Bone Scan in Management of Fibrous Dysplasia: An Unusual Case Scenario with Review of Literature.McCune-Albright综合征中的甲状腺功能减退症及骨扫描在纤维性发育不良管理中的作用:一个伴有文献综述的罕见病例
Indian J Nucl Med. 2017 Jan-Mar;32(1):25-29. doi: 10.4103/0972-3919.198462.
10
"Café-au-lait spots" caused by vitiligo in McCune-Albright syndrome.McCune-Albright综合征中白癜风所致的“牛奶咖啡斑”。
J Bone Miner Res. 2000 Dec;15(12):2521-3. doi: 10.1359/jbmr.2000.15.12.2521.

引用本文的文献

1
Growth hormone signaling and clinical implications: from molecular to therapeutic perspectives.生长激素信号传导及其临床意义:从分子到治疗的视角
Mol Biol Rep. 2025 Feb 4;52(1):202. doi: 10.1007/s11033-025-10304-w.
2
Treatment of Café-Au-Lait Spots Using Q-Switched Alexandrite Laser: Analysis of Clinical Characteristics of 471 Children in Mainland China.调Q开关翠绿宝石激光治疗咖啡斑:中国大陆471例儿童临床特征分析
Lasers Surg Med. 2019 Oct;51(8):694-700. doi: 10.1002/lsm.23097. Epub 2019 May 25.

本文引用的文献

1
Neuroimaging in pediatric phakomatoses. An educational review.小儿错构瘤病的神经影像学。一篇教育性综述。
Clujul Med. 2016;89(1):56-64. doi: 10.15386/cjmed-417. Epub 2016 Jan 15.
2
Double-level osteotomy and one-stage reconstruction with long intramedullary femoral nail to correct a severe proximal and diaphyseal femur deformity in a patient with polyostotic fibrous dysplasia: case report and literatures review.双平面截骨术联合股骨长髓内钉一期重建治疗多骨型纤维结构不良患者严重股骨近端及骨干畸形:病例报告及文献复习
Int J Clin Exp Med. 2015 Aug 15;8(8):14188-95. eCollection 2015.
3
Neonatal McCune-Albright syndrome with systemic involvement: a case report.
新生儿系统性受累的McCune-Albright综合征:一例报告
J Med Case Rep. 2015 Sep 4;9:189. doi: 10.1186/s13256-015-0689-2.
4
A randomized, double blind, placebo-controlled trial of alendronate treatment for fibrous dysplasia of bone.一项阿伦膦酸盐治疗骨纤维结构不良的随机、双盲、安慰剂对照试验。
J Clin Endocrinol Metab. 2014 Nov;99(11):4133-40. doi: 10.1210/jc.2014-1371. Epub 2014 Jul 17.
5
Osteitis condensans ilii in differential diagnosis of patients with chronic low back pain: a review of the literature.髂骨骨硬化症在慢性下腰痛患者鉴别诊断中的作用:文献综述。
Mod Rheumatol. 2012 Jun;22(3):467-9. doi: 10.1007/s10165-011-0513-9. Epub 2011 Sep 23.
6
Whole-body MRI for detecting metastatic bone tumor: diagnostic value of diffusion-weighted images.用于检测转移性骨肿瘤的全身磁共振成像:扩散加权成像的诊断价值
Magn Reson Med Sci. 2007;6(3):147-55. doi: 10.2463/mrms.6.147.
7
Fibrous dysplasia involving the base of the skull.累及颅底的骨纤维发育不良。
AJR Am J Roentgenol. 2002 Mar;178(3):717-20. doi: 10.2214/ajr.178.3.1780717.