Suppr超能文献

颈椎计算机断层扫描和磁共振成像在快速诊断齿突冠状突综合征中的应用:一例报告并文献复习

Usefulness of cervical computed tomography and magnetic resonance imaging for rapid diagnosis of crowned dens syndrome: A case report and review of the literature.

作者信息

Inoue Akihiro, Kohno Kanehisa, Ninomiya Satoko, Tomita Hitomi, Iwata Shinji, Ohue Shiro, Kamogawa Kenji, Okamoto Kensho, Fukumoto Shinya, Ichikawa Haruhisa, Onoue Shinji, Ozaki Saya, Okuda Bungo

机构信息

Departments of Neurosurgery, Ehime Prefectural Central Hospital, Japan.

Departments of Neurosurgery, Ehime Prefectural Central Hospital, Japan.

出版信息

Int J Surg Case Rep. 2017;30:50-54. doi: 10.1016/j.ijscr.2016.11.045. Epub 2016 Nov 23.

Abstract

INTRODUCTION

Crowned dens syndrome is a rare disease entity which radiologically shows calcification of the cruciform ligament around the odontoid process. We report a patient with crowned dens syndrome who improved dramatically in 5days following treatment with oral nonsteroidal anti-inflammatory medication.

PRESENTATION OF CASE

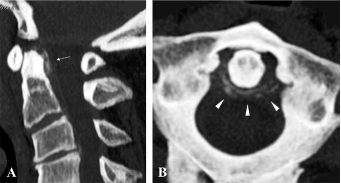
A 61-year-old man was admitted to our hospital with a severe occipital headache and sudden onset of neck stiffness. Neurological examination on admission revealed a high fever and cervical rigidity. Laboratory examination revealed a markedly elevated white blood cell count and C-reactive protein level, but cerebrospinal fluid studies revealed only a slight abnormality. A cervical computed tomography scan and its three-dimensional reconstruction detected a remarkable crown-like calcification surrounding the odontoid process. Cervical magnetic resonance imaging did not demonstrate strong direct compression of the cervical cord; however, the soft tissue surrounding the odontoid process was hyperintense on T2-weighted imaging with fat suppression. Based on the radiological findings, the patient was diagnosed with crowned dens syndrome and was immediately treated with non-steroidal anti-inflammatory drugs. The patient's condition drastically improved within 5days.

DISCUSSION

It was very interesting that the soft tissue surrounding the odontoid process was hyperintense on magnetic resonance T2-weighted imaging with fat suppression, and the signal change disappeared 2 weeks after the administration of oral non-steroidal anti-inflammatory drugs. We think that magnetic resonance imaging is useful for proving inflammation in patients with crowned dens syndrome.

CONCLUSION

This is the first report making reference to the magnetic resonance imaging findings of crowned dens syndrome.

摘要

引言

齿状突冠综合征是一种罕见的疾病实体,放射学表现为齿状突周围十字韧带钙化。我们报告一例齿状突冠综合征患者,经口服非甾体抗炎药治疗5天后病情显著改善。

病例介绍

一名61岁男性因严重枕部头痛和突然出现的颈部僵硬入住我院。入院时神经系统检查发现高热和颈部强直。实验室检查显示白细胞计数和C反应蛋白水平明显升高,但脑脊液检查仅显示轻微异常。颈椎计算机断层扫描及其三维重建检测到齿状突周围有明显的冠状钙化。颈椎磁共振成像未显示脊髓有强烈的直接压迫;然而,在脂肪抑制T2加权成像上,齿状突周围的软组织呈高信号。根据放射学检查结果,该患者被诊断为齿状突冠综合征,并立即接受非甾体抗炎药治疗。患者的病情在5天内大幅改善。

讨论

有趣的是,在脂肪抑制磁共振T2加权成像上,齿状突周围的软组织呈高信号,口服非甾体抗炎药2周后信号改变消失。我们认为磁共振成像有助于证实齿状突冠综合征患者的炎症。

结论

这是首次提及齿状突冠综合征磁共振成像表现的报告。

https://cdn.ncbi.nlm.nih.gov/pmc/blobs/5b58/5133471/8c15f91ae18a/gr1.jpg

文献AI研究员

20分钟写一篇综述,助力文献阅读效率提升50倍。

立即体验

用中文搜PubMed

大模型驱动的PubMed中文搜索引擎

马上搜索

文档翻译

学术文献翻译模型,支持多种主流文档格式。

立即体验