Suppr超能文献

股骨干单房性骨囊肿复发

Recurrence of a Unicameral Bone Cyst in the Femoral Diaphysis.

作者信息

Kim Hyun Se, Lim Kyung Sup, Seo Sung Wook, Jang Seung Pil, Shim Jong Sup

机构信息

Department of Orthopedic Surgery, Samsung Medical Center, Sungkyunkwan University School of Medicine, Seoul, Korea.

出版信息

Clin Orthop Surg. 2016 Dec;8(4):484-488. doi: 10.4055/cios.2016.8.4.484. Epub 2016 Nov 4.

Abstract

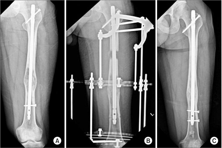
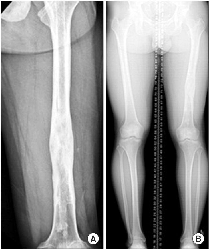
Diaphyseal unicameral bone cysts of the long bone are generally known to originate near the growth plate and migrate from the metaphysis to the diaphysis during skeletal growth. In the case of unicameral bone cysts of diaphyseal origin, recurrence at the same location is extremely rare. We report a case of recurrence of a unicameral bone cyst in the diaphysis of the femur that developed 8 years after treatment with curettage and bone grafting. We performed bone grafting and lengthening of the affected femur with an application of the Ilizarov apparatus over an intramedullary nail to treat the cystic lesion and limb length discrepancy simultaneously.

摘要

长骨骨干单房性骨囊肿通常起源于生长板附近,并在骨骼生长过程中从干骺端向骨干迁移。对于骨干起源的单房性骨囊肿,在同一部位复发极为罕见。我们报告一例股骨骨干单房性骨囊肿在刮除植骨治疗8年后复发的病例。我们应用Ilizarov装置在髓内钉上对患侧股骨进行植骨和延长,以同时治疗囊性病变和肢体长度差异。

https://cdn.ncbi.nlm.nih.gov/pmc/blobs/5fe4/5114264/dc79e1b23616/cios-8-484-g001.jpg

文献AI研究员

20分钟写一篇综述,助力文献阅读效率提升50倍。

立即体验

用中文搜PubMed

大模型驱动的PubMed中文搜索引擎

马上搜索

文档翻译

学术文献翻译模型,支持多种主流文档格式。

立即体验