Suppr超能文献

特发性门静脉高压症所致同步性食管鳞状细胞癌与食管静脉曲张破裂出血:一例报告

Synchronous Esophageal Squamous Cell Carcinoma and Esophageal Variceal Bleeding due to Idiopathic Portal Hypertension: A Case Report.

作者信息

Dulger Ahmet Cumhur, Kemik Ozgur, Begenik Huseyin, Sumer Aziz, Bulut Deniz, Bulut Gulay

机构信息

Yuzuncu Yil University School of Medicine, Gastroenterology, Van, Turkey.

Yuzuncu Yil University School of Medicine, General Surgery, Van, Turkey.

出版信息

Gastroenterology Res. 2011 Apr;4(2):84-87. doi: 10.4021/gr300e. Epub 2011 Mar 20.

Abstract

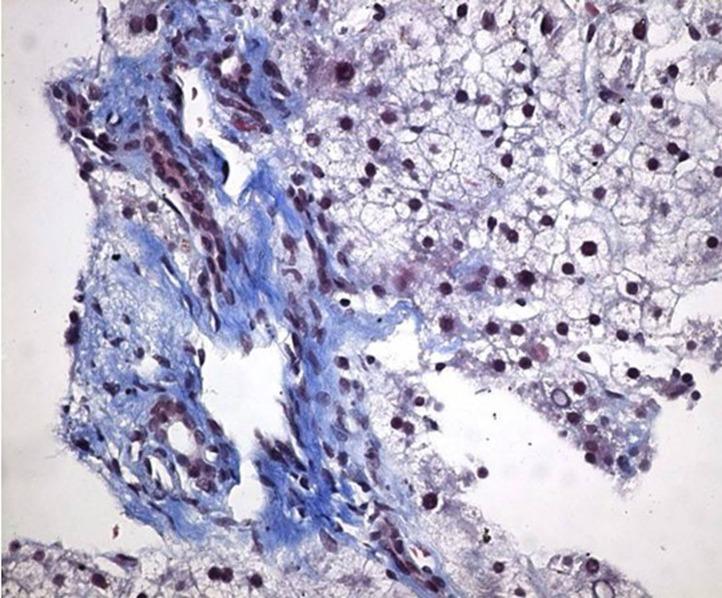
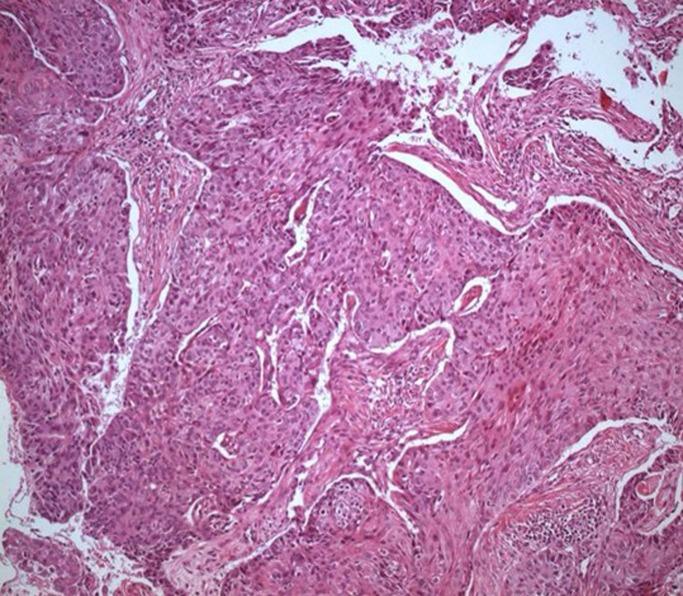
Squamous cell carcinomas of esophagus are responsible for more than 80% of esophageal malignancies in Turkey. Idiopathic portal hypertension is a rare underlying cause of esophageal variceal bleeding. In such cases, detection of concomitant esophageal squamous cell cancer is also a rare occurrence. We report an unusual case of bleeding esophageal varices secondary to idiopathic portal hypertension associated with esophageal squamous cell cancer. To our knowledge, until now, there have been no reported cases of esophageal variceal bleeding due to idiopathic portal hypertension associated with esophageal squamous cell cancer. This case report demonstrates the two different conditions which may cause esophageal bleeding and there may be an association between idiopathic portal hypertension and esophageal squamous cell cancer.

摘要

在土耳其,食管鳞状细胞癌占食管恶性肿瘤的80%以上。特发性门静脉高压是食管静脉曲张出血的罕见潜在病因。在这些病例中,同时检测到食管鳞状细胞癌的情况也很少见。我们报告一例罕见病例,特发性门静脉高压继发食管静脉曲张出血并伴有食管鳞状细胞癌。据我们所知,迄今为止,尚无特发性门静脉高压合并食管鳞状细胞癌导致食管静脉曲张出血的病例报道。本病例报告展示了可能导致食管出血的两种不同情况,且特发性门静脉高压与食管鳞状细胞癌之间可能存在关联。

https://cdn.ncbi.nlm.nih.gov/pmc/blobs/0bd5/5139760/af759e0e2c31/gr-04-084-g001.jpg

文献AI研究员

20分钟写一篇综述,助力文献阅读效率提升50倍。

立即体验

用中文搜PubMed

大模型驱动的PubMed中文搜索引擎

马上搜索

文档翻译

学术文献翻译模型,支持多种主流文档格式。

立即体验