Suppr超能文献

镰状细胞病患者的内镜逆行胰胆管造影术:诊断与治疗困境

ERCP in Patients With Sickle Cell Disease: Diagnostic and Therapeutic Dilemmas.

作者信息

Issa Hussain, Al-Haddad Ali, Al-Salem Ahmed H

机构信息

Department of internal medicine, Qatif Central Hospital, Qatif, Saudi Arabia; Current affiliation: King Fahad Specialist Hospital-Dammam, Saudi Arabia.

Department of internal medicine, Qatif Central Hospital, Qatif, Saudi Arabia.

出版信息

Gastroenterology Res. 2010 Apr;3(2):74-78. doi: 10.4021/gr2010.03.177w. Epub 2010 Mar 20.

Abstract

BACKGROUND

Cholestatic jaundice (CJ) in patients with sickle cell disease (SCD) poses diagnostic and therapeutic dilemmas. This is an evaluation of the role of ERCP in SCD.

METHODS

A total of 224 SCD patients with CJ had ERCP. The indications for ERCP were based on clinical and biochemical evidence of CJ and ultrasound findings.

RESULTS

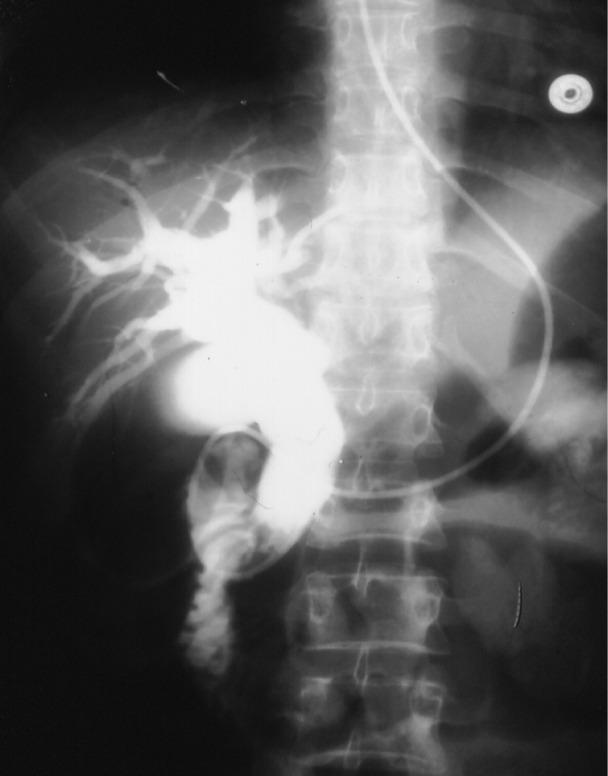
The indications were: CJ only in79, CJ and dilated ducts in 103, and CJ and biliary stones in 42. The ERCP findings were: (A) For those with CJ only: ERCP was normal in 45, showed dilated ducts with no stones in 13, dilated ducts with stones in 16, normal CBD with a stone in 1; (B) For those with CJ, dilated ducts: ERCP was normal in 17, showed dilated ducts with stones in 47, dilated ducts without stones in 28, normal CBD with a stone in 1, a choledochoduodenal fistula in 2; (C) For those with CJ and duct stones: ERCP was normal in 2, showed dilated ducts with stones in 21, dilated ducts without stones in 14, normal CBD with a stone in 1.

CONCLUSIONS

ERCP was unnecessary in a significant number (27%) of patients. This is especially so for those with CJ only (57%). These should be evaluated further prior to ERCP. There was also a significant number (19%) who had ES for duct dilatation without an obstruction. The reason for this dilatation is not known and the value of ES in this group needs to be investigated further.

摘要

背景

镰状细胞病(SCD)患者的胆汁淤积性黄疸(CJ)带来了诊断和治疗难题。本文评估了内镜逆行胰胆管造影(ERCP)在SCD中的作用。

方法

共有224例患有CJ的SCD患者接受了ERCP检查。ERCP的指征基于CJ的临床和生化证据以及超声检查结果。

结果

指征如下:单纯CJ 79例,CJ伴胆管扩张103例,CJ伴胆结石42例。ERCP检查结果如下:(A)对于单纯CJ患者:ERCP正常45例,显示胆管扩张但无结石13例,胆管扩张且有结石16例,胆总管正常但有结石1例;(B)对于CJ伴胆管扩张患者:ERCP正常17例,显示胆管扩张且有结石47例,胆管扩张但无结石28例,胆总管正常但有结石1例,胆总管十二指肠瘘2例;(C)对于CJ伴胆管结石患者:ERCP正常2例,显示胆管扩张且有结石21例,胆管扩张但无结石14例,胆总管正常但有结石1例。

结论

相当一部分(27%)患者无需进行ERCP检查。对于单纯CJ患者尤其如此(57%)。这些患者在进行ERCP检查前应进一步评估。也有相当一部分(19%)患者因胆管扩张而进行内镜括约肌切开术(ES)但无梗阻。这种扩张的原因尚不清楚,该组患者ES的价值需要进一步研究。

https://cdn.ncbi.nlm.nih.gov/pmc/blobs/6d20/5139873/ba759c00f877/gr-03-074-g001.jpg

文献检索

告别复杂PubMed语法,用中文像聊天一样搜索,搜遍4000万医学文献。AI智能推荐,让科研检索更轻松。

立即免费搜索

文件翻译

保留排版,准确专业,支持PDF/Word/PPT等文件格式,支持 12+语言互译。

免费翻译文档

深度研究

AI帮你快速写综述,25分钟生成高质量综述,智能提取关键信息,辅助科研写作。

立即免费体验