Sampson Danuta M, Alonso-Caneiro David, Chew Avenell L, Lamey Tina, McLaren Terri, De Roach John, Chen Fred K
Centre for Ophthalmology and Visual Science, The University of Western Australia, Crawley, Western Australia, Australia.
Lions Eye Institute, Nedlands, Western Australia, Australia.
PLoS One. 2016 Dec 13;11(12):e0168275. doi: 10.1371/journal.pone.0168275. eCollection 2016.
To present en face optical coherence tomography (OCT) images generated by graph-search theory algorithm-based custom software and examine correlation with other imaging modalities.
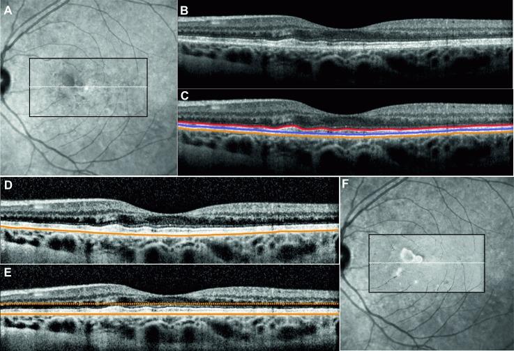
En face OCT images derived from high density OCT volumetric scans of 3 healthy subjects and 4 patients using a custom algorithm (graph-search theory) and commercial software (Heidelberg Eye Explorer software (Heidelberg Engineering)) were compared and correlated with near infrared reflectance, fundus autofluorescence, adaptive optics flood-illumination ophthalmoscopy (AO-FIO) and microperimetry.
Commercial software was unable to generate accurate en face OCT images in eyes with retinal pigment epithelium (RPE) pathology due to segmentation error at the level of Bruch's membrane (BM). Accurate segmentation of the basal RPE and BM was achieved using custom software. The en face OCT images from eyes with isolated interdigitation or ellipsoid zone pathology were of similar quality between custom software and Heidelberg Eye Explorer software in the absence of any other significant outer retinal pathology. En face OCT images demonstrated angioid streaks, lesions of acute macular neuroretinopathy, hydroxychloroquine toxicity and Bietti crystalline deposits that correlated with other imaging modalities.
Graph-search theory algorithm helps to overcome the limitations of outer retinal segmentation inaccuracies in commercial software. En face OCT images can provide detailed topography of the reflectivity within a specific layer of the retina which correlates with other forms of fundus imaging. Our results highlight the need for standardization of image reflectivity to facilitate quantification of en face OCT images and longitudinal analysis.
展示基于图搜索理论算法的定制软件生成的视网膜正面光学相干断层扫描(OCT)图像,并研究其与其他成像方式的相关性。
比较了3名健康受试者和4名患者使用定制算法(图搜索理论)和商业软件(海德堡眼Explorer软件(海德堡工程公司))从高密度OCT体积扫描中获得的视网膜正面OCT图像,并将其与近红外反射率、眼底自发荧光、自适应光学泛光照明检眼镜(AO-FIO)和微视野检查进行相关性分析。
由于在布鲁赫膜(BM)水平的分割误差,商业软件无法在患有视网膜色素上皮(RPE)病变的眼中生成准确的视网膜正面OCT图像。使用定制软件实现了基底RPE和BM的准确分割。在没有任何其他明显的外层视网膜病变的情况下,来自患有孤立指状交叉或椭圆体带病变的眼睛的视网膜正面OCT图像在定制软件和海德堡眼Explorer软件之间质量相似。视网膜正面OCT图像显示出与其他成像方式相关的血管样条纹、急性黄斑神经视网膜病变、羟氯喹毒性和比埃蒂结晶样沉积物。
图搜索理论算法有助于克服商业软件在外层视网膜分割不准确方面的局限性。视网膜正面OCT图像可以提供视网膜特定层内反射率的详细地形图,这与其他形式的眼底成像相关。我们的结果强调了图像反射率标准化的必要性,以促进视网膜正面OCT图像的量化和纵向分析。