Hosseini Hedayatollah, Obradović Milan M S, Hoffmann Martin, Harper Kathryn L, Sosa Maria Soledad, Werner-Klein Melanie, Nanduri Lahiri Kanth, Werno Christian, Ehrl Carolin, Maneck Matthias, Patwary Nina, Haunschild Gundula, Gužvić Miodrag, Reimelt Christian, Grauvogl Michael, Eichner Norbert, Weber Florian, Hartkopf Andreas D, Taran Florin-Andrei, Brucker Sara Y, Fehm Tanja, Rack Brigitte, Buchholz Stefan, Spang Rainer, Meister Gunter, Aguirre-Ghiso Julio A, Klein Christoph A
Experimental Medicine and Therapy Research, University of Regensburg, 93053 Regensburg, Germany.
Project group 'Personalized Tumour Therapy', Fraunhofer Institute for Toxicology und Experimental Medicine, 93053 Regensburg, Germany.
Nature. 2016 Dec 22;540(7634):552-558. doi: 10.1038/nature20785. Epub 2016 Dec 14.
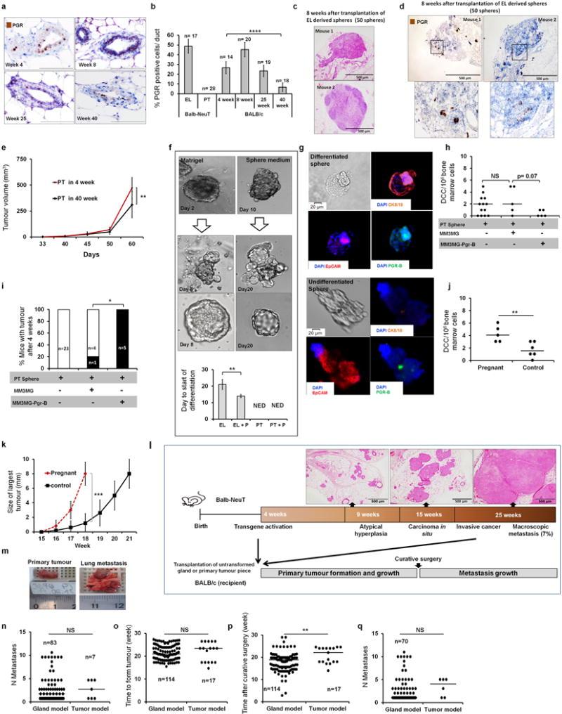
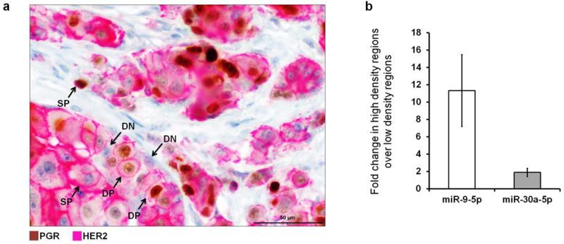
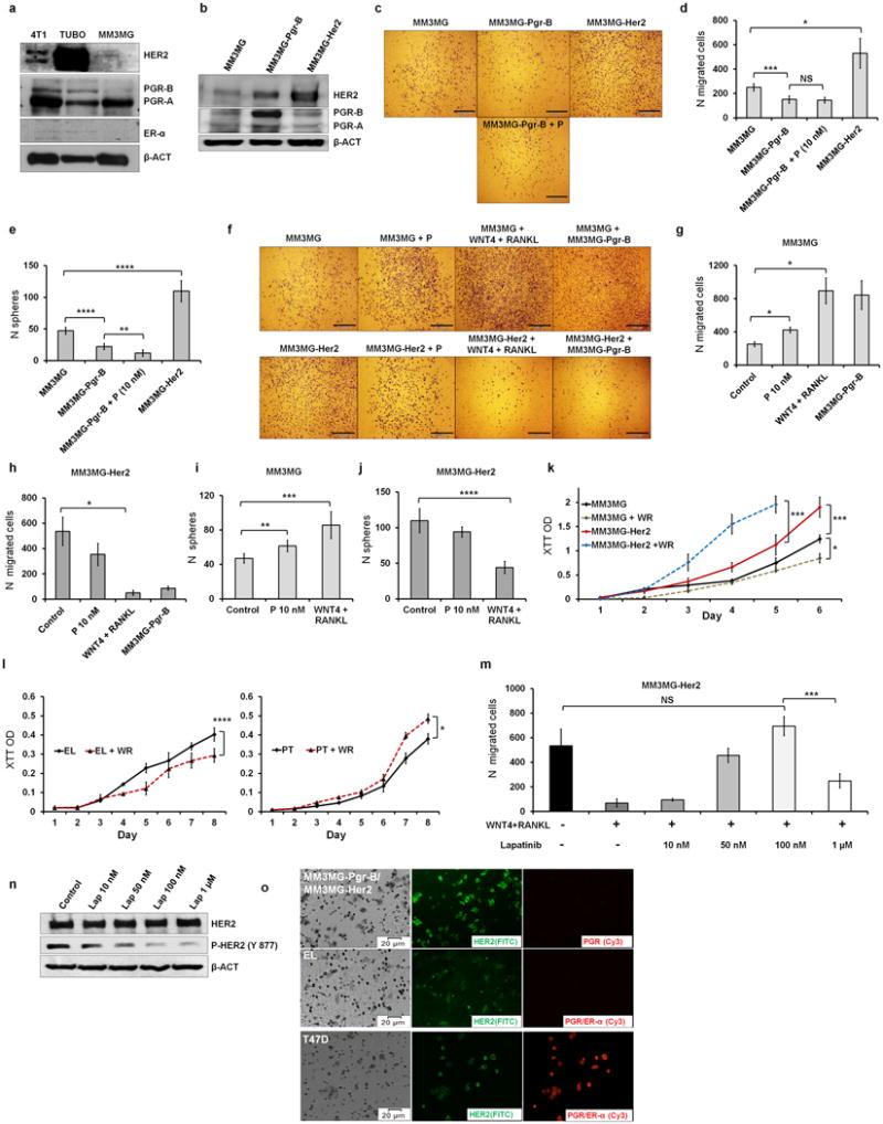
Accumulating data suggest that metastatic dissemination often occurs early during tumour formation, but the mechanisms of early metastatic spread have not yet been addressed. Here, by studying metastasis in a HER2-driven mouse breast cancer model, we show that progesterone-induced signalling triggers migration of cancer cells from early lesions shortly after HER2 activation, but promotes proliferation in advanced primary tumour cells. The switch from migration to proliferation was regulated by increased HER2 expression and tumour-cell density involving microRNA-mediated progesterone receptor downregulation, and was reversible. Cells from early, low-density lesions displayed more stemness features, migrated more and founded more metastases than cells from dense, advanced tumours. Notably, we found that at least 80% of metastases were derived from early disseminated cancer cells. Karyotypic and phenotypic analysis of human disseminated cancer cells and primary tumours corroborated the relevance of these findings for human metastatic dissemination.
越来越多的数据表明,转移扩散通常在肿瘤形成的早期就会发生,但早期转移扩散的机制尚未得到研究。在这里,通过研究HER2驱动的小鼠乳腺癌模型中的转移,我们发现孕酮诱导的信号传导在HER2激活后不久触发癌细胞从早期病变处迁移,但促进晚期原发性肿瘤细胞的增殖。从迁移到增殖的转变受HER2表达增加和肿瘤细胞密度的调节,涉及微小RNA介导的孕酮受体下调,并且是可逆的。与来自致密、晚期肿瘤的细胞相比,来自早期、低密度病变的细胞表现出更多的干性特征,迁移更多并形成更多转移灶。值得注意的是,我们发现至少80%的转移灶源自早期播散的癌细胞。对人类播散癌细胞和原发性肿瘤的核型和表型分析证实了这些发现与人类转移扩散的相关性。