Suppr超能文献

脆蛇尾(棘皮动物门:蛇尾纲)腕棘关节及相邻结构的功能形态学

Functional Morphology of the Arm Spine Joint and Adjacent Structures of the Brittlestar Ophiocomina nigra (Echinodermata: Ophiuroidea).

作者信息

Wilkie Iain C

机构信息

Department of Life Sciences, Glasgow Caledonian University, Glasgow G4 0BA, Scotland, United Kingdom.

出版信息

PLoS One. 2016 Dec 14;11(12):e0167533. doi: 10.1371/journal.pone.0167533. eCollection 2016.

Abstract

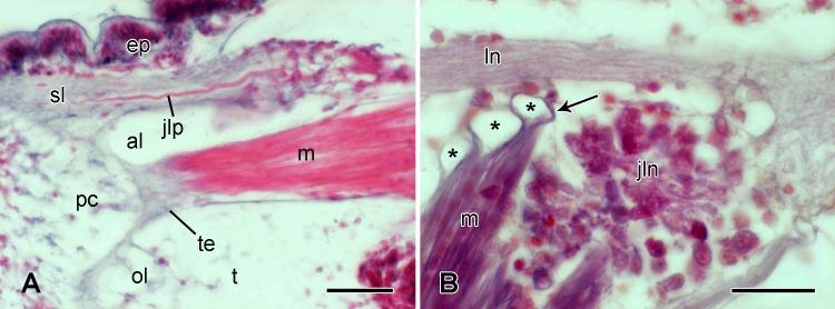
The skeletal morphology of the arm spine joint of the brittlestar Ophiocomina nigra was examined by scanning electron microscopy and the associated epidermis, connective tissue structures, juxtaligamental system and muscle by optical and transmission electron microscopy. The behaviour of spines in living animals was observed and two experiments were conducted to establish if the spine ligament is mutable collagenous tissue: these determined (1) if animals could detach spines to which plastic tags had been attached and (2) if the extension under constant load of isolated joint preparations was affected by high potassium stimulation. The articulation normally operates as a flexible joint in which the articular surfaces are separated by compliant connective tissue. The articular surfaces comprise a reniform apposition and peg-in-socket mechanical stop, and function primarily to stabilise spines in the erect position. Erect spines can be completely immobilised, which depends on the ligament having mutable tensile properties, as was inferred from the ability of animals to detach tagged spines and the responsiveness of isolated joint preparations to high potassium. The epidermis surrounding the joint has circumferential constrictions that facilitate compression folding and unfolding when the spine is inclined. The interarticular connective tissue is an acellular meshwork of collagen fibril bundles and may serve to reduce frictional forces between the articular surfaces. The ligament consists of parallel bundles of collagen fibrils and 7-14 nm microfibrils. Its passive elastic recoil contributes to the re-erection of inclined spines. The ligament is permeated by cell processes containing large dense-core vesicles, which belong to two types of juxtaligamental cells, one of which is probably peptidergic. The spine muscle consists of obliquely striated myocytes that are linked to the skeleton by extensions of their basement membranes. Muscle contraction may serve mainly to complete the process of spine erection by ensuring close contact between the articular surfaces.

摘要

利用扫描电子显微镜对黑腹蛇尾(Ophiocomina nigra)臂棘关节的骨骼形态进行了检查,并通过光学显微镜和透射电子显微镜对相关的表皮、结缔组织结构、韧带旁系统和肌肉进行了观察。观察了活体动物中棘的行为,并进行了两个实验以确定棘韧带是否为可变胶原组织:这两个实验确定了(1)动物是否能够分离附着有塑料标签的棘,以及(2)分离的关节制剂在恒定负荷下的伸展是否受高钾刺激的影响。关节通常作为一个灵活的关节起作用,其中关节面由顺应性结缔组织分隔。关节面包括一个肾形并置和榫槽机械止动装置,其主要功能是将棘稳定在直立位置。直立的棘可以完全固定,这取决于韧带具有可变的拉伸特性,这是从动物分离带标签棘的能力以及分离的关节制剂对高钾的反应性推断出来的。关节周围的表皮有圆周收缩,当棘倾斜时便于压缩折叠和展开。关节间结缔组织是胶原纤维束的无细胞网络,可能有助于减少关节面之间的摩擦力。韧带由平行的胶原纤维束和7 - 14纳米的微纤维组成。其被动弹性回缩有助于倾斜棘的重新直立。韧带被含有大的致密核心囊泡的细胞突起穿透,这些细胞突起属于两种韧带旁细胞,其中一种可能是肽能的。棘肌由斜纹肌细胞组成,这些细胞通过其基底膜的延伸与骨骼相连。肌肉收缩可能主要通过确保关节面之间的紧密接触来完成棘直立的过程。

https://cdn.ncbi.nlm.nih.gov/pmc/blobs/7ac8/5156572/33509122e747/pone.0167533.g001.jpg

文献AI研究员

20分钟写一篇综述,助力文献阅读效率提升50倍。

立即体验

用中文搜PubMed

大模型驱动的PubMed中文搜索引擎

马上搜索

文档翻译

学术文献翻译模型,支持多种主流文档格式。

立即体验