Suppr超能文献

海百合强壮半头帕消化系统的再生是通过神经分泌样细胞的转分化实现的。

Regeneration of the digestive system in the crinoid Himerometra robustipinna occurs by transdifferentiation of neurosecretory-like cells.

作者信息

Kalacheva Nadezhda V, Eliseikina Marina G, Frolova Lidia T, Dolmatov Igor Yu

机构信息

A.V. Zhirmunsky Institute of Marine Biology, National Scientific Center of Marine Biology, Far Eastern Branch, Russian Academy of Sciences, Vladivostok, Russia.

Far Eastern Federal University, Vladivostok, Russia.

出版信息

PLoS One. 2017 Jul 28;12(7):e0182001. doi: 10.1371/journal.pone.0182001. eCollection 2017.

Abstract

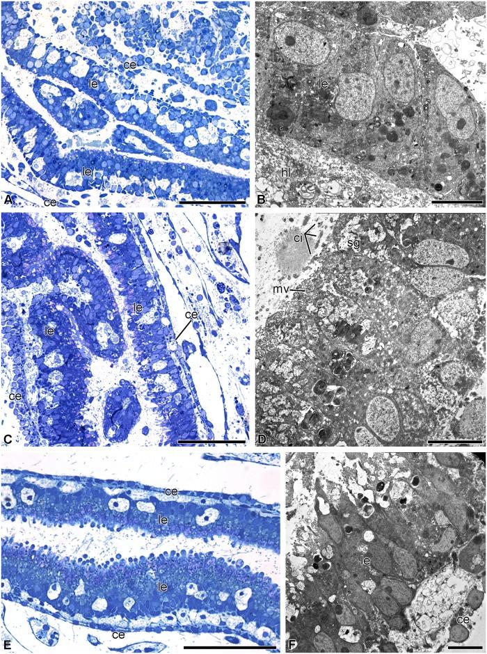
The structure and regeneration of the digestive system in the crinoid Himerometra robustipinna (Carpenter, 1881) were studied. The gut comprises a spiral tube forming radial lateral processes, which gives it a five-lobed shape. The digestive tube consists of three segments: esophagus, intestine, and rectum. The epithelia of these segments have different cell compositions. Regeneration of the gut after autotomy of the visceral mass progresses very rapidly. Within 6 h after autotomy, an aggregation consisting of amoebocytes, coelomic epithelial cells and juxtaligamental cells (neurosecretory neurons) forms on the inner surface of the skeletal calyx. At 12 h post-autotomy, transdifferentiation of the juxtaligamental cells starts. At 24 h post-autotomy these cells undergo a mesenchymal-epithelial-like transition, resulting in the formation of the luminal epithelium of the gut. Specialization of the intestinal epithelial cells begins on day 2 post-autotomy. At this stage animals acquire the mouth and anal opening. On day 4 post-autotomy the height of both the enterocytes and the visceral mass gradually increases. Proliferation does not play any noticeable role in gut regeneration. The immersion of animals in a 10-7 M solution of colchicine neither stopped formation of the lost structures nor caused accumulation of mitoses in tissues. Weakly EdU-labeled nuclei were observed in the gut only on day 2 post-autotomy and were not detected at later regeneration stages. Single mitotically dividing cells were recorded during the same period. It is concluded that juxtaligamental cells play a major role in gut regeneration in H. robustipinna. The main mechanisms of morphogenesis are cell migration and transdifferentiation.

摘要

对海百合(Himerometra robustipinna (Carpenter, 1881))消化系统的结构和再生进行了研究。肠道由形成放射状侧突的螺旋管组成,使其呈五叶形。消化管由三部分组成:食管、肠和直肠。这些部分的上皮细胞组成不同。内脏团自切后肠道的再生进展非常迅速。自切后6小时内,在骨骼萼的内表面形成由变形细胞、体腔上皮细胞和韧带旁细胞(神经分泌神经元)组成的聚集物。自切后12小时,韧带旁细胞开始转分化。自切后24小时,这些细胞经历间充质-上皮样转变,导致肠道腔上皮的形成。肠道上皮细胞的特化在自切后第2天开始。在此阶段,动物获得口和肛门开口。自切后第4天,肠细胞和内脏团的高度逐渐增加。增殖在肠道再生中不起任何显著作用。将动物浸入10 - 7 M秋水仙碱溶液中既没有阻止缺失结构的形成,也没有导致组织中有丝分裂的积累。仅在自切后第2天在肠道中观察到弱EdU标记的细胞核,在后期再生阶段未检测到。在同一时期记录到单个有丝分裂的细胞。得出的结论是,韧带旁细胞在强壮海百合肠道再生中起主要作用。形态发生的主要机制是细胞迁移和转分化。

https://cdn.ncbi.nlm.nih.gov/pmc/blobs/20d6/5533335/9b2a03a1e4ca/pone.0182001.g001.jpg

文献AI研究员

20分钟写一篇综述,助力文献阅读效率提升50倍。

立即体验

用中文搜PubMed

大模型驱动的PubMed中文搜索引擎

马上搜索

文档翻译

学术文献翻译模型,支持多种主流文档格式。

立即体验