• 文献检索
  • 文档翻译
  • 深度研究
  • 学术资讯
  • Suppr Zotero 插件Zotero 插件
  • 邀请有礼
  • 套餐&价格
  • 历史记录
应用&插件
Suppr Zotero 插件Zotero 插件浏览器插件Mac 客户端Windows 客户端微信小程序
定价
高级版会员购买积分包购买API积分包
服务
文献检索文档翻译深度研究API 文档MCP 服务
关于我们
关于 Suppr公司介绍联系我们用户协议隐私条款
关注我们

Suppr 超能文献

核心技术专利:CN118964589B侵权必究
粤ICP备2023148730 号-1Suppr @ 2026

文献检索

告别复杂PubMed语法,用中文像聊天一样搜索,搜遍4000万医学文献。AI智能推荐,让科研检索更轻松。

立即免费搜索

文件翻译

保留排版,准确专业,支持PDF/Word/PPT等文件格式,支持 12+语言互译。

免费翻译文档

深度研究

AI帮你快速写综述,25分钟生成高质量综述,智能提取关键信息,辅助科研写作。

立即免费体验

系统发育分析揭示保加利亚波莫瑞盐场结晶池中异常高的古菌多样性

Unusually High Archaeal Diversity in a Crystallizer Pond, Pomorie Salterns, Bulgaria, Revealed by Phylogenetic Analysis.

作者信息

Kambourova Margarita, Tomova Iva, Boyadzhieva Ivanka, Radchenkova Nadja, Vasileva-Tonkova Evgenia

机构信息

Institute of Microbiology, Bulgarian Academy of Sciences, Acad. G. Bonchev Str. 26, 1113 Sofia, Bulgaria.

出版信息

Archaea. 2016 Nov 16;2016:7459679. doi: 10.1155/2016/7459679. eCollection 2016.

DOI:10.1155/2016/7459679
PMID:27974879
原文链接:https://pmc.ncbi.nlm.nih.gov/articles/PMC5128701/
Abstract

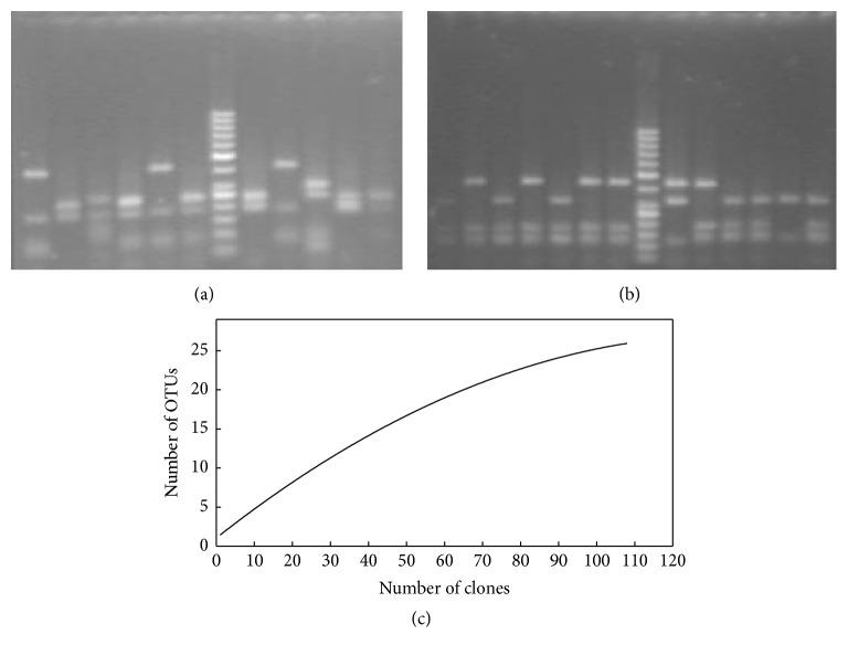
Recent studies on archaeal diversity in few salterns have revealed heterogeneity between sites and unique structures of separate places that hinder drawing of generalized conclusions. Investigations on the archaeal community composition in P18, the biggest crystallizer pond in Pomorie salterns (PS) (34% salinity), demonstrated unusually high number of presented taxa in hypersaline environment. Archaeal clones were grouped in 26 different operational taxonomic units (OTUs) assigned to 15 different genera from two orders, Halobacteriales and Haloferacales. All retrieved sequences were related to culturable halophiles or unculturable clones from saline (mostly hypersaline) niches. New sequences represented 53.9% of archaeal OTUs. Some of them formed separate branches with 90% similarity to the closest neighbor. Present results significantly differed from the previous investigations in regard to the number of presented genera, the domination of some genera not reported before in such extreme niche, and the identification of previously undiscovered 16S rRNA sequences.

摘要

最近对少数盐场古菌多样性的研究揭示了不同地点之间的异质性以及不同地方的独特结构,这阻碍了得出一般性结论。对波莫瑞盐场(PS)最大的结晶池P18(盐度34%)中古菌群落组成的调查表明,在高盐环境中出现的分类单元数量异常之多。古菌克隆被归为26个不同的操作分类单元(OTU),这些OTU属于盐杆菌目和嗜盐嗜铁菌目两个目下的15个不同属。所有检索到的序列都与来自盐生(主要是高盐)生态位的可培养嗜盐菌或不可培养克隆有关。新序列占古菌OTU的53.9%。其中一些形成了与最近邻相似度达90%的独立分支。目前的结果在呈现的属数量、此前未在如此极端生态位中报道过的一些属的主导地位以及新发现的16S rRNA序列的鉴定方面,与之前的调查有显著差异。

https://cdn.ncbi.nlm.nih.gov/pmc/blobs/fb1c/5128701/d5bd06d35f30/ARCHAEA2016-7459679.003.jpg
https://cdn.ncbi.nlm.nih.gov/pmc/blobs/fb1c/5128701/2a8b1abadccf/ARCHAEA2016-7459679.001.jpg
https://cdn.ncbi.nlm.nih.gov/pmc/blobs/fb1c/5128701/fd336fc50825/ARCHAEA2016-7459679.002.jpg
https://cdn.ncbi.nlm.nih.gov/pmc/blobs/fb1c/5128701/d5bd06d35f30/ARCHAEA2016-7459679.003.jpg
https://cdn.ncbi.nlm.nih.gov/pmc/blobs/fb1c/5128701/2a8b1abadccf/ARCHAEA2016-7459679.001.jpg
https://cdn.ncbi.nlm.nih.gov/pmc/blobs/fb1c/5128701/fd336fc50825/ARCHAEA2016-7459679.002.jpg
https://cdn.ncbi.nlm.nih.gov/pmc/blobs/fb1c/5128701/d5bd06d35f30/ARCHAEA2016-7459679.003.jpg

相似文献

1
Unusually High Archaeal Diversity in a Crystallizer Pond, Pomorie Salterns, Bulgaria, Revealed by Phylogenetic Analysis.系统发育分析揭示保加利亚波莫瑞盐场结晶池中异常高的古菌多样性
Archaea. 2016 Nov 16;2016:7459679. doi: 10.1155/2016/7459679. eCollection 2016.
2
Diversity of cultivable halophilic archaea and bacteria from superficial hypersaline sediments of Tunisian solar salterns.突尼斯太阳能盐场表层高盐沉积物中可培养嗜盐古菌和细菌的多样性
Antonie Van Leeuwenhoek. 2014 Oct;106(4):675-92. doi: 10.1007/s10482-014-0238-9. Epub 2014 Jul 27.
3
[Archaeal community structure and diversity in Urumqi No. 10 cold sulfur spring analyzed by culture-independent approach].[基于非培养方法分析乌鲁木齐10号冷硫泉古菌群落结构与多样性]
Wei Sheng Wu Xue Bao. 2013 Mar 4;53(3):230-40.
4
Diversity and stratification of archaea in a hypersaline microbial mat.超盐度微生物垫中古菌的多样性与分层
Appl Environ Microbiol. 2009 Apr;75(7):1801-10. doi: 10.1128/AEM.01811-08. Epub 2008 Dec 29.
5
Microbial biodiversity of thermophilic communities in hot mineral soils of Tramway Ridge, Mount Erebus, Antarctica.南极洲埃里伯斯山缆车岭热矿土壤中嗜热群落的微生物多样性。
Environ Microbiol. 2009 Mar;11(3):715-28. doi: 10.1111/j.1462-2920.2009.01859.x.
6
Archaeal diversity and the prevalence of Crenarchaeota in salt marsh sediments.盐沼沉积物中古菌的多样性及泉古菌门的丰度
Appl Environ Microbiol. 2009 Jun;75(12):4211-5. doi: 10.1128/AEM.00201-09. Epub 2009 Apr 24.
7
Archaeal and bacterial diversity in two hot springs from geothermal regions in Bulgaria as demostrated by 16S rRNA and GH-57 genes.通过16S rRNA和GH-57基因证明的保加利亚地热区两个温泉中的古菌和细菌多样性。
Int Microbiol. 2015 Dec;18(4):217-23. doi: 10.2436/20.1501.01.253.
8
A glimpse of the prokaryotic diversity of the Large Aral Sea reveals novel extremophilic bacterial and archaeal groups.大咸海的原核生物多样性一瞥揭示了新的极端嗜盐细菌和古菌群体。
Microbiologyopen. 2019 Sep;8(9):e00850. doi: 10.1002/mbo3.850. Epub 2019 May 6.
9
Distribution of prokaryotic genetic diversity in athalassohaline lakes of the Atacama Desert, Northern Chile.智利北部阿塔卡马沙漠无海盐水湖中原核生物遗传多样性的分布
FEMS Microbiol Ecol. 2004 Apr 1;48(1):57-69. doi: 10.1016/j.femsec.2003.12.013.
10
Microbial Diversity in an Arid, Naturally Saline Environment.干旱、天然盐环境中的微生物多样性。
Microb Ecol. 2019 Aug;78(2):494-505. doi: 10.1007/s00248-018-1301-2. Epub 2018 Dec 28.

引用本文的文献

1
Unique Features of Extremely Halophilic Microbiota Inhabiting Solar Saltworks Fields of Vietnam.越南太阳能盐场中极端嗜盐微生物群的独特特征。
Microorganisms. 2024 Sep 29;12(10):1975. doi: 10.3390/microorganisms12101975.
2
Exploring the Archaeal Virosphere by Metagenomics.通过宏基因组学探索古菌病毒圈。
Methods Mol Biol. 2024;2732:1-22. doi: 10.1007/978-1-0716-3515-5_1.
3
Transient Dynamics of Archaea and Bacteria in Sediments and Brine Across a Salinity Gradient in a Solar Saltern of Goa, India.印度果阿邦一个盐场中,沉积物和盐水中古菌和细菌在盐度梯度上的瞬态动态

本文引用的文献

1
A phylogenomic reappraisal of family-level divisions within the class Halobacteria: proposal to divide the order Halobacteriales into the families Halobacteriaceae, Haloarculaceae fam. nov., and Halococcaceae fam. nov., and the order Haloferacales into the families, Haloferacaceae and Halorubraceae fam nov.嗜盐菌纲科级分类的系统基因组学重新评估:提议将嗜盐杆菌目分为嗜盐杆菌科、新科嗜盐碱杆菌科和新科盐球菌科,将嗜盐嗜碱菌目分为嗜盐嗜碱菌科和新科嗜盐红菌科。
Antonie Van Leeuwenhoek. 2016 Apr;109(4):565-87. doi: 10.1007/s10482-016-0660-2. Epub 2016 Feb 2.
2
Microbial diversity of hypersaline environments: a metagenomic approach.高盐环境的微生物多样性:宏基因组学方法。
Curr Opin Microbiol. 2015 Jun;25:80-7. doi: 10.1016/j.mib.2015.05.002. Epub 2015 Jun 8.
3
Front Microbiol. 2020 Aug 13;11:1891. doi: 10.3389/fmicb.2020.01891. eCollection 2020.
4
A Differential Metabarcoding Approach to Describe Taxonomy Profiles of and in the Saltern of Margherita di Savoia (Italy).一种用于描述意大利萨沃伊玛格丽塔盐场中[具体生物]和[具体生物]分类学特征的差异代谢条形码方法。 (注:原文中两个“and”之间缺失具体生物名称)
Microorganisms. 2020 Jun 22;8(6):936. doi: 10.3390/microorganisms8060936.
5
Characterization of the Microbial Population Inhabiting a Solar Saltern Pond of the Odiel Marshlands (SW Spain). characterizing the microbial population inhabiting a solar saltern pond of the odiel marshlands (sw spain).
Mar Drugs. 2018 Sep 12;16(9):332. doi: 10.3390/md16090332.
Rooting the domain archaea by phylogenomic analysis supports the foundation of the new kingdom Proteoarchaeota.通过系统发育基因组学分析确定古菌域的根基,支持了新的古菌界(Proteoarchaeota)的建立。
Genome Biol Evol. 2014 Dec 19;7(1):191-204. doi: 10.1093/gbe/evu274.
4
Phylogenomic analyses and molecular signatures for the class Halobacteria and its two major clades: a proposal for division of the class Halobacteria into an emended order Halobacteriales and two new orders, Haloferacales ord. nov. and Natrialbales ord. nov., containing the novel families Haloferacaceae fam. nov. and Natrialbaceae fam. nov.嗜盐菌纲及其两个主要进化枝的系统基因组分析和分子特征:关于将嗜盐菌纲划分为修订后的嗜盐杆菌目以及两个新目——嗜盐富球菌目(新目)和嗜盐嗜钠菌目(新目)的提议,其中嗜盐富球菌目包含新科嗜盐富球菌科(新科),嗜盐嗜钠菌目包含新科嗜盐嗜钠菌科(新科)
Int J Syst Evol Microbiol. 2015 Mar;65(Pt 3):1050-1069. doi: 10.1099/ijs.0.070136-0. Epub 2014 Nov 26.
5
The Santa Pola saltern as a model for studying the microbiota of hypersaline environments.圣波拉盐场作为研究高盐环境微生物群的模型。
Extremophiles. 2014 Sep;18(5):811-24. doi: 10.1007/s00792-014-0681-6. Epub 2014 Aug 17.
6
Prokaryotic taxonomic and metabolic diversity of an intermediate salinity hypersaline habitat assessed by metagenomics.通过宏基因组学评估中间盐度高盐环境中的原核生物分类和代谢多样性。
FEMS Microbiol Ecol. 2014 Jun;88(3):623-35. doi: 10.1111/1574-6941.12329. Epub 2014 Apr 28.
7
Patterns of microbial diversity along a salinity gradient in the Guerrero Negro solar saltern, Baja CA Sur, Mexico.墨西哥南下加利福尼亚州格罗丽亚内格罗太阳盐场沿盐度梯度的微生物多样性模式。
Front Microbiol. 2013 Dec 20;4:399. doi: 10.3389/fmicb.2013.00399. eCollection 2013.
8
MEGA6: Molecular Evolutionary Genetics Analysis version 6.0.MEGA6:分子进化遗传学分析版本 6.0。
Mol Biol Evol. 2013 Dec;30(12):2725-9. doi: 10.1093/molbev/mst197. Epub 2013 Oct 16.
9
Cell sorting analysis of geographically separated hypersaline environments.对地理上分隔的高盐环境进行细胞分选分析。
Extremophiles. 2013 Mar;17(2):265-75. doi: 10.1007/s00792-013-0514-z. Epub 2013 Jan 29.
10
Abundance, distribution, and activity of Fe(II)-oxidizing and Fe(III)-reducing microorganisms in hypersaline sediments of Lake Kasin, southern Russia.俄罗斯南部卡辛湖高盐沉积物中 Fe(II)氧化和 Fe(III)还原微生物的丰度、分布和活性。
Appl Environ Microbiol. 2012 Jun;78(12):4386-99. doi: 10.1128/AEM.07637-11. Epub 2012 Apr 13.