Suppr超能文献

一项关于面部黑棘皮病及其与体重指数、腰围和使用HOMA2 IR评估的胰岛素抵抗之间关联的描述性研究。

A descriptive study of facial acanthosis nigricans and its association with body mass index, waist circumference and insulin resistance using HOMA2 IR.

作者信息

Verma Shyam, Vasani Resham, Joshi Rajiv, Phiske Meghana, Punjabi Pritesh, Toprani Tushar

机构信息

Consultant Dermatologist, Nirvana Skin Clinic, Vadodara, Gujarat, India.

Consultant Dermatologist, Anand Polyclinic, Mumbai, Maharashtra, India.

出版信息

Indian Dermatol Online J. 2016 Nov-Dec;7(6):498-503. doi: 10.4103/2229-5178.193898.

Abstract

INTRODUCTION

The term facial acanthosis nigricans (FAN) lacks definition of precise clinical and histopathological features. We present a descriptive study of patients with FAN to define pigmentary patterns and estimate the prevalence of obesity and insulin resistance in these cases.

MATERIALS AND METHODS

It is a prospective study that included all patients with classical AN of the neck and/or other areas with facial acanthosis nigricans described as brown-to-black macular pigmentation with blurred ill-defined margins, found on the zygomatic and malar areas. The body mass index (BMI) and waist circumference (WC) of the included patients were used as parameters of obesity. Homeostatic Model of Assessment of Insulin Resistance (HOMA2 IR) was used as a parameter to evaluate insulin resistance. Histopathological features of the 6 skin biopsies that were possible were reviewed.

RESULTS

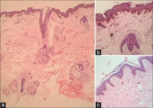
Among the 102 included individuals, the patterns of facial pigmentation seen in addition to the classic pattern involving zygomatic and malar areas were a hyperpigmented band on the forehead in 59.80%, periorbital darkening in 17.64%, perioral darkening in 12.74%, and generalized darkening in 9.8% of cases. 85.29% of the males and 100% of the females were found to be obese. Varying degrees of insulin resistance was noted in 82.34% of the individuals. Six biopsies available for evaluation showed changes such as mild epidermal hyperplasia with prominent basal melanin, however, without the typical papillomatosis seen in AN of the flexures.

CONCLUSION

We document an increased prevalence of obesity and insulin resistance in patients presenting with FAN and its presentations in addition to the classical description. We propose that FAN can be considered a cutaneous marker of insulin resistance and that HOMA2 IR can serve as a parameter of insulin resistance in such cases.

摘要

引言

面部黑棘皮病(FAN)这一术语缺乏精确的临床和组织病理学特征定义。我们对FAN患者进行了一项描述性研究,以确定色素沉着模式,并评估这些病例中肥胖和胰岛素抵抗的患病率。

材料与方法

这是一项前瞻性研究,纳入了所有颈部患有经典黑棘皮病和/或其他面部黑棘皮病区域的患者,这些区域表现为棕色至黑色的斑片状色素沉着,边界模糊不清,见于颧骨和颊部区域。纳入患者的体重指数(BMI)和腰围(WC)用作肥胖参数。采用胰岛素抵抗稳态模型评估(HOMA2 IR)作为评估胰岛素抵抗的参数。对6份可行的皮肤活检组织的组织病理学特征进行了回顾。

结果

在102名纳入个体中,除了涉及颧骨和颊部区域的经典模式外,还观察到的面部色素沉着模式包括:59.80%的患者前额有色素沉着带,17.64%的患者眶周变黑,12.74%的患者口周变黑,9.8%的患者全身变黑。发现85.29%的男性和100%的女性肥胖。82.34%的个体存在不同程度的胰岛素抵抗。6份可供评估的活检组织显示有轻度表皮增生伴基底黑素沉着等变化,然而,没有在屈侧黑棘皮病中见到的典型乳头瘤样增生。

结论

我们记录了FAN患者中肥胖和胰岛素抵抗的患病率增加,以及除经典描述外的其他表现。我们提出FAN可被视为胰岛素抵抗的皮肤标志物,并且在这种情况下HOMA2 IR可作为胰岛素抵抗的参数。

https://cdn.ncbi.nlm.nih.gov/pmc/blobs/17dd/5134163/76e4b789a277/IDOJ-7-498-g001.jpg

文献AI研究员

20分钟写一篇综述,助力文献阅读效率提升50倍。

立即体验

用中文搜PubMed

大模型驱动的PubMed中文搜索引擎

马上搜索

文档翻译

学术文献翻译模型,支持多种主流文档格式。

立即体验