Suppr超能文献

胃底腺型胃癌的内镜黏膜切除术治疗:1例报告并文献复习

Gastric Adenocarcinoma of the Fundic Gland Type Treated by Endoscopic Mucosal Resection: A Case Report and Review of the Literature.

作者信息

Lewin Eleanor, Daroca Philip, Sikka Sanjay, Wu Tong, Nakanishi Yukihiro

机构信息

Department of Pathology, Tulane University School of Medicine, New Orleans, LA, USA.

Department of Medicine, Tulane University School of Medicine, New Orleans, LA, USA.

出版信息

Case Rep Pathol. 2016;2016:8646927. doi: 10.1155/2016/8646927. Epub 2016 Nov 22.

Abstract

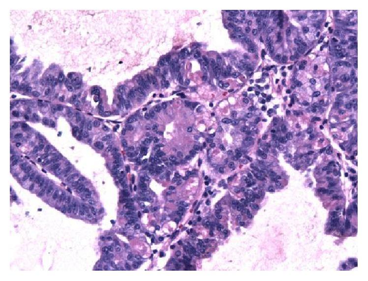
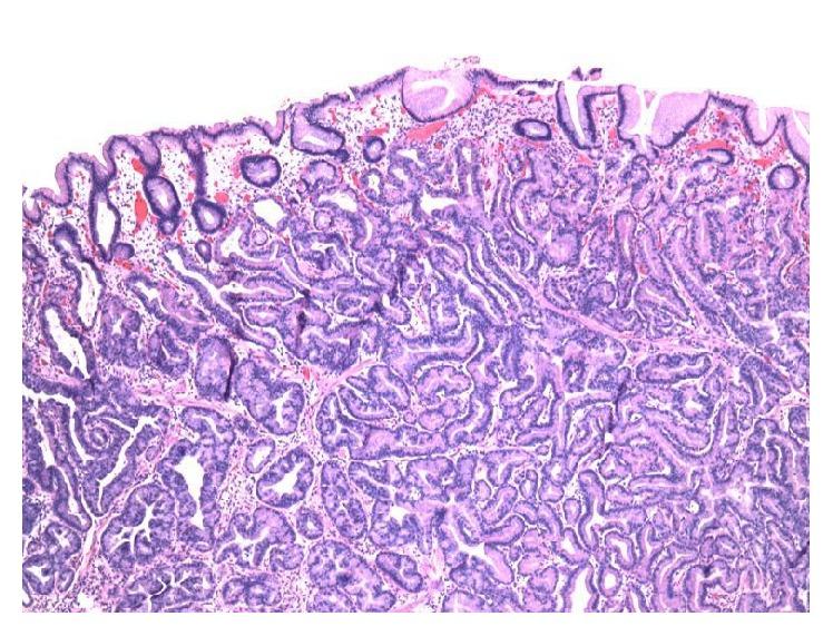
Gastric adenocarcinoma of the fundic gland type (GA-FG) is a rare entity that has only recently been described and defined. There is ongoing controversy regarding the malignant potential of this lesion. We report the case of a GA-FG in a 49-year-old Caucasian man who was referred to endoscopy for management of an incidentally found gastric polyp. Endoscopy showed a single polypoid lesion in the gastric fundus which was successfully removed with endoscopic resection. Grossly, the polyp measured 1.1 cm in greatest dimension. Microscopic examination showed irregularly branched neoplastic glands covered with a nonneoplastic foveolar epithelium. The continuity between the neoplastic glands and the fundic glands is clearly identified, indicating the tumor arose from the fundic glands. The tumor cells exhibited occasional oxyntic cytoplasm with enlarged atypical nuclei. The tumor invaded the submucosa with complete disruption of the muscularis mucosae and mild lymphocytic and fibroblastic stromal reaction. No necrosis, mitosis, or lymph-vascular invasion was identified. Although some authors have proposed reclassification of GA-FGs as oxyntic gland polyps/adenomas, in light of several reported cases with submucosal invasion as well as lymphatic invasion, we maintain that this neoplasm is best categorized as an extremely well-differentiated adenocarcinoma to reflect its invasive potential.

摘要

胃底腺型胃癌(GA - FG)是一种罕见的疾病,直到最近才被描述和定义。关于这种病变的恶性潜能存在持续的争议。我们报告了一例49岁白种男性的GA - FG病例,该患者因偶然发现的胃息肉接受内镜检查。内镜检查显示胃底有一个单个息肉样病变,通过内镜切除成功切除。大体上,息肉最大直径为1.1厘米。显微镜检查显示有不规则分支的肿瘤性腺体,表面覆盖非肿瘤性的小凹上皮。肿瘤性腺体与胃底腺之间的连续性清晰可辨,表明肿瘤起源于胃底腺。肿瘤细胞偶尔可见壁细胞样细胞质,核增大且异型。肿瘤侵犯黏膜下层,黏膜肌层完全破坏,伴有轻度淋巴细胞和纤维母细胞性间质反应。未发现坏死、核分裂或淋巴血管侵犯。尽管一些作者提议将GA - FG重新分类为壁细胞性腺息肉/腺瘤,但鉴于有几例报告显示存在黏膜下侵犯以及淋巴侵犯,我们认为这种肿瘤最好归类为高分化腺癌,以反映其侵袭潜能。

https://cdn.ncbi.nlm.nih.gov/pmc/blobs/73d1/5138457/3afe8cf40279/CRIPA2016-8646927.001.jpg

文献检索

告别复杂PubMed语法,用中文像聊天一样搜索,搜遍4000万医学文献。AI智能推荐,让科研检索更轻松。

立即免费搜索

文件翻译

保留排版,准确专业,支持PDF/Word/PPT等文件格式,支持 12+语言互译。

免费翻译文档

深度研究

AI帮你快速写综述,25分钟生成高质量综述,智能提取关键信息,辅助科研写作。

立即免费体验