Suppr超能文献

对比谐波内镜超声检查在其他胰腺实性病变中的作用:神经内分泌肿瘤、自身免疫性胰腺炎和转移瘤。

Role of contrast harmonic endoscopic ultrasonography in other pancreatic solid lesions: Neuroendocrine tumors, autoimmune pancreatitis and metastases.

作者信息

Palazzo Maxime

机构信息

Department of Endoscopy, Beaujon Hospital, Assistance Publique-Hôpitaux de Paris, Clichy, France.

出版信息

Endosc Ultrasound. 2016 Nov-Dec;5(6):373-376. doi: 10.4103/2303-9027.195870.

Abstract

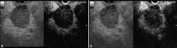
Contrast harmonic endoscopic ultrasonography (CH-EUS) is a new technique which allows the dynamic study of the microvascularization of a target tissue. Its application is validated for the diagnosis of pancreatic adenocarcinoma but remains unclear for other solid pancreatic tumors (neuroendocrine tumors [NETs], autoimmune pancreatitis [AIP], metastases). The purpose of this review is to outline the potential role of the CH-EUS in these indications. NETs are typically iso/hyperenhanced at CH-EUS, and a heterogeneous enhancement seems a good predictor of malignancy in neuroendocrine pancreatic tumor. AIP is often iso/hyperenhanced at CH-EUS. Quantitative analysis of time-intensity parameters is promising for the distinction between pancreatic adenocarcinoma and AIP. The appearance of pancreatic metastases at CH-EUS is various depending on the origin of the primary tumor. Data from the literature remain to this day weak to determine the role of the CH-EUS in the management of rare solid tumor of the pancreas (NETs, AIP, and metastases). Specific studies are expected to further clarify the impact of this procedure in this field.

摘要

对比谐波内镜超声检查(CH-EUS)是一种可对目标组织微血管化进行动态研究的新技术。其在胰腺腺癌诊断中的应用已得到验证,但在其他胰腺实性肿瘤(神经内分泌肿瘤[NETs]、自身免疫性胰腺炎[AIP]、转移瘤)中的应用仍不明确。本综述的目的是概述CH-EUS在这些适应症中的潜在作用。NETs在CH-EUS检查时通常表现为等增强/高增强,而异质性增强似乎是胰腺神经内分泌肿瘤恶性程度的良好预测指标。AIP在CH-EUS检查时通常也表现为等增强/高增强。时间-强度参数的定量分析有望用于区分胰腺腺癌和AIP。CH-EUS检查时胰腺转移瘤的表现因原发肿瘤的来源而异。时至今日,文献数据仍不足以确定CH-EUS在胰腺罕见实性肿瘤(NETs、AIP和转移瘤)管理中的作用。预计将开展具体研究以进一步阐明该检查在这一领域的影响。

https://cdn.ncbi.nlm.nih.gov/pmc/blobs/e944/5206825/203c0fe4aa1d/EUS-5-373-g001.jpg

文献检索

告别复杂PubMed语法,用中文像聊天一样搜索,搜遍4000万医学文献。AI智能推荐,让科研检索更轻松。

立即免费搜索

文件翻译

保留排版,准确专业,支持PDF/Word/PPT等文件格式,支持 12+语言互译。

免费翻译文档

深度研究

AI帮你快速写综述,25分钟生成高质量综述,智能提取关键信息,辅助科研写作。

立即免费体验