Suppr超能文献

与门诊宫腔镜检查相比,经阴道超声三维容积成像测量子宫内膜体积用于诊断异常子宫出血的绝经前女性子宫内膜息肉

Endometrial Volume Measured by VOCAL Compared to Office Hysteroscopy for Diagnosis of Endometrial Polyps in Premenopausal Women with Abnormal Uterine Bleeding.

作者信息

Laban Mohamed, Hussain Sherif H, Hassanin Alaa S, Khalaf Waleed M, Etman Mohamed K, Elsafty Mohammed S E, Bahaa Eldin Ahmed M, Hasanien Ahmad S, Sakna Noha A, Taema Mohammed, Mostafa Mohammed H, Eisa Marwa M

机构信息

Department of Obstetrics and Gynecology, Faculty of Medicine, Ain Shams University, Cairo, Egypt.

Fetal Special Care Unit, Ain Shams Maternity Hospital, Faculty of Medicine, Ain Shams University, Cairo, Egypt.

出版信息

Obstet Gynecol Int. 2016;2016:3561324. doi: 10.1155/2016/3561324. Epub 2016 Nov 24.

Abstract

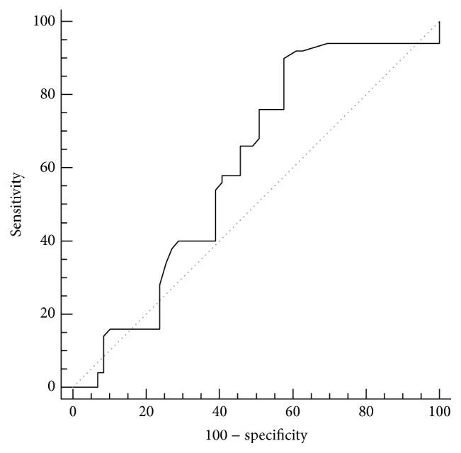
The aim is to compare hysteroscopy, two-dimensional transvaginal ultrasound (2D TVUS), and three-dimensional (3D) Virtual Organ Computer-aided AnaLysis™ (VOCAL) to detect endometrial polyps (EPs) in premenopausal women with abnormal uterine bleeding (AUB). This prospective study was done at Ain Shams Maternity Hospital, Egypt, from March 5, 2015, to December 30, 2015, enrolling 118 premenopausal women with AUB. 2D TVUS, 3D VOCAL, and hysteroscopy were done. 109 patients reached final analysis. 36 women (33%) were diagnosed with EP by 2D TVUS. 50 (45.9%) had EP by hysteroscopy. Endometrial thickness was 10.1 mm by 2D TVUS and endometrial volume was 4.92 mL by VOCAL in women with EP by hysteroscopy compared to 9.9 mm and 3.50 mL in women with no EP, respectively ( = 0.223; = 0.06). 2D TVUS has sensitivity, specificity, and positive and negative predictive values of 54%, 84.7%, 75%, and 68.5%, respectively. Endometrial thickness of >7.5 mm has sensitivity, specificity, positive and negative predictive values, and overall accuracy of 82%, 37.3%, 52.6%, 71%, and 57.8%, respectively. Endometrial volume of >1.2 mL has sensitivity, specificity, positive and negative predictive values, and overall accuracy of 90%, 42.4%, 57%, 83.3%, and 64.2%, respectively. 3D VOCAL may be used as a noninvasive method for the diagnosis of EP in premenopausal women with AUB.

摘要

目的是比较宫腔镜检查、二维经阴道超声(2D TVUS)和三维(3D)虚拟器官计算机辅助分析™(VOCAL)在诊断有异常子宫出血(AUB)的绝经前女性子宫内膜息肉(EP)方面的效果。这项前瞻性研究于2015年3月5日至2015年12月30日在埃及艾因·沙姆斯妇产医院进行,纳入了118名有AUB的绝经前女性。进行了2D TVUS、3D VOCAL和宫腔镜检查。109例患者进行了最终分析。36名女性(33%)经2D TVUS诊断为EP。50名(45.9%)经宫腔镜检查诊断为EP。经宫腔镜检查诊断为EP的女性,2D TVUS测得的子宫内膜厚度为10.1毫米,VOCAL测得的子宫内膜体积为4.92毫升,而未患EP的女性分别为9.9毫米和3.50毫升(P = 0.223;P = 0.06)。2D TVUS的敏感性、特异性、阳性和阴性预测值分别为54%、84.7%、75%和68.5%。子宫内膜厚度>7.5毫米时,敏感性、特异性、阳性和阴性预测值以及总体准确率分别为82%、37.3%、52.6%、71%和57.8%。子宫内膜体积>1.2毫升时,敏感性、特异性、阳性和阴性预测值以及总体准确率分别为90%、42.4%、57%、83.3%和64.2%。3D VOCAL可作为诊断有AUB的绝经前女性EP的一种非侵入性方法。

https://cdn.ncbi.nlm.nih.gov/pmc/blobs/efd0/5143713/1a79d42b0d1b/OGI2016-3561324.001.jpg

文献AI研究员

20分钟写一篇综述,助力文献阅读效率提升50倍。

立即体验

用中文搜PubMed

大模型驱动的PubMed中文搜索引擎

马上搜索

文档翻译

学术文献翻译模型,支持多种主流文档格式。

立即体验