• 文献检索
  • 文档翻译
  • 深度研究
  • 学术资讯
  • Suppr Zotero 插件Zotero 插件
  • 邀请有礼
  • 套餐&价格
  • 历史记录
应用&插件
Suppr Zotero 插件Zotero 插件浏览器插件Mac 客户端Windows 客户端微信小程序
定价
高级版会员购买积分包购买API积分包
服务
文献检索文档翻译深度研究API 文档MCP 服务
关于我们
关于 Suppr公司介绍联系我们用户协议隐私条款
关注我们

Suppr 超能文献

核心技术专利:CN118964589B侵权必究
粤ICP备2023148730 号-1Suppr @ 2026

文献检索

告别复杂PubMed语法,用中文像聊天一样搜索,搜遍4000万医学文献。AI智能推荐,让科研检索更轻松。

立即免费搜索

文件翻译

保留排版,准确专业,支持PDF/Word/PPT等文件格式,支持 12+语言互译。

免费翻译文档

深度研究

AI帮你快速写综述,25分钟生成高质量综述,智能提取关键信息,辅助科研写作。

立即免费体验

梗死性间皮囊肿:一例报告。

Infarcted mesothelial cyst: A case report.

作者信息

Navarro Fernando, Schmieler Eric, Beversdorf Walter

机构信息

University Specialty Clinics, Dept. of Surgery 2 Medical Park, Suite 306,Columbia, SC 2920, United States.

University of South Carolina School of Medicine, United States.

出版信息

Int J Surg Case Rep. 2017;30:155-158. doi: 10.1016/j.ijscr.2016.11.013. Epub 2016 Nov 15.

DOI:10.1016/j.ijscr.2016.11.013
PMID:28012334
原文链接:https://pmc.ncbi.nlm.nih.gov/articles/PMC5198636/
Abstract

INTRODUCTION

Mesenteric and omental mesothelial cysts are rare, accounting for only 1 in 100,000 hospital admissions for abdominal pain (Tan Jane et al., 2009) [1]. They are often discovered only on CT imaging, which is frequently non-definitive in identifying an exact tissue source owing to overlapping radiographic features with other masses (Stoupis et al., 1994) [2]. The symptoms manifested by such masses are also nonspecific, favoring consideration of more frequently encountered problems in the scope of general surgery over cystic masses in the differential diagnosis. Definitive diagnosis of a mesothelial cyst in this case was made on histopathologic examination of a surgically resected specimen. This case is reported in line with SCARE criteria (Dragoslav et al., 2007) [6].

PRESENTATION OF CASE

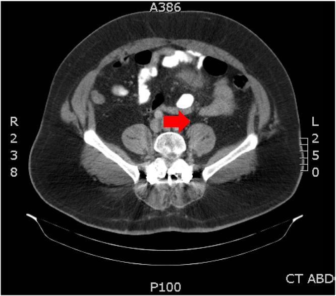
A 41 year-old male patient presented to an academic teaching hospital with several days of abdominal pain with nausea and vomiting. Initial workup was unremarkable, save for abdominal CT revealing a central mesenteric focus of inflammation. Neuroendocrine tumor was excluded by normal serum octreotide, 5-HIAA, and chromogranin A. A 4×2cm mass was identified and resected on laparoscopy. Histopathologic diagnosis of the specimen was infarcted mesothelial cyst. The patient reported resolution of symptoms and remains well on most recent follow-up.

DISCUSSION

The rapid diagnosis of intra-abdominal cystic masses is obscured by their rarity, nonspecific symptomatology, and radiographic features that overlap among such masses (Stoupis et al., 1994) [2]. The etiology of symptoms is likely owed to local mass effect exerted by the cyst on surrounding tissues. Continued resolution of symptoms on resection of such a cyst supports this conclusion.

CONCLUSION

imaging following an overall unremarkable physical and laboratory workup for this patient's abdominal pain directed our further workup and management efforts towards surgical excision of an intra-abdominal cystic mass. Histopathologic examination of the cyst was ultimately diagnostic of an infarcted mesothelial cyst.

摘要

引言

肠系膜和网膜间皮囊肿较为罕见,在因腹痛入院的患者中仅占十万分之一(Tan Jane等人,2009年)[1]。它们通常仅在CT成像时被发现,由于其影像学特征与其他肿块重叠,在确定确切的组织来源方面往往不明确(Stoupis等人,1994年)[2]。此类肿块表现出的症状也不具有特异性,在鉴别诊断中,相较于囊性肿块,更倾向于考虑普通外科中更常见的问题。本例间皮囊肿的确诊是通过对手术切除标本进行组织病理学检查得出的。本病例报告符合SCARE标准(Dragoslav等人,2007年)[6]。

病例介绍

一名41岁男性患者因数天的腹痛伴恶心、呕吐就诊于一家学术教学医院。初步检查无异常,腹部CT显示肠系膜中央有炎症病灶。血清奥曲肽、5-羟吲哚乙酸和嗜铬粒蛋白A正常排除了神经内分泌肿瘤。通过腹腔镜检查发现并切除了一个4×2cm的肿块。标本的组织病理学诊断为梗死性间皮囊肿。患者报告症状缓解,最近一次随访时情况良好。

讨论

腹腔内囊性肿块因其罕见性、非特异性症状以及此类肿块之间重叠的影像学特征,难以快速诊断(Stoupis等人,1994年)[2]。症状的病因可能是囊肿对周围组织产生的局部肿块效应。切除此类囊肿后症状持续缓解支持了这一结论。

结论

对该患者腹痛进行全面的体格检查和实验室检查后进行的影像学检查,指导了我们对腹腔内囊性肿块进行手术切除的进一步检查和管理工作。囊肿的组织病理学检查最终诊断为梗死性间皮囊肿。

https://cdn.ncbi.nlm.nih.gov/pmc/blobs/c7a2/5198636/5447315ee813/gr3.jpg
https://cdn.ncbi.nlm.nih.gov/pmc/blobs/c7a2/5198636/883a5eb1fef2/gr1.jpg
https://cdn.ncbi.nlm.nih.gov/pmc/blobs/c7a2/5198636/aacc380448f9/gr2.jpg
https://cdn.ncbi.nlm.nih.gov/pmc/blobs/c7a2/5198636/5447315ee813/gr3.jpg
https://cdn.ncbi.nlm.nih.gov/pmc/blobs/c7a2/5198636/883a5eb1fef2/gr1.jpg
https://cdn.ncbi.nlm.nih.gov/pmc/blobs/c7a2/5198636/aacc380448f9/gr2.jpg
https://cdn.ncbi.nlm.nih.gov/pmc/blobs/c7a2/5198636/5447315ee813/gr3.jpg

相似文献

1
Infarcted mesothelial cyst: A case report.梗死性间皮囊肿:一例报告。
Int J Surg Case Rep. 2017;30:155-158. doi: 10.1016/j.ijscr.2016.11.013. Epub 2016 Nov 15.
2
A giant peritoneal simple mesothelial cyst: a case report.巨大腹膜单纯性间皮囊肿:一例报告
J Med Case Rep. 2011 Aug 10;5:361. doi: 10.1186/1752-1947-5-361.
3
Chylolymphatic mesenteric cyst: A rare differential diagnosis of cystic mass in abdomen: A case report.乳糜性肠系膜囊肿:腹部囊性肿块的一种罕见鉴别诊断:一例报告
Int J Surg Case Rep. 2024 Apr;117:109480. doi: 10.1016/j.ijscr.2024.109480. Epub 2024 Mar 6.
4
[Mesenteric cysts].[肠系膜囊肿]
Acta Med Croatica. 2002;56(3):119-24.
5
Large mesenteric cyst mimicking an ovarian cyst in an 8-year-old: A case report.8岁女童中酷似卵巢囊肿的巨大肠系膜囊肿:一例报告
Int J Surg Case Rep. 2021 Dec;89:106566. doi: 10.1016/j.ijscr.2021.106566. Epub 2021 Nov 3.
6
Mesothelial cyst in the liver round ligament: A case report and review of the literature.肝圆韧带内间皮囊肿:一例报告并文献复习
Int J Surg Case Rep. 2017;37:33-35. doi: 10.1016/j.ijscr.2017.06.017. Epub 2017 Jun 15.
7
Mesenteric cysts. Toward less confusion?肠系膜囊肿。能否减少混淆?
Dig Surg. 2000;17(4):323-8. doi: 10.1159/000018872.
8
Case-report: A rare cause of an intra-abdominal mass.病例报告:腹腔内肿块的罕见病因。
Int J Surg Case Rep. 2020;67:278-281. doi: 10.1016/j.ijscr.2020.01.006. Epub 2020 Feb 20.
9
Case-report: A rare cause of an intra-abdominal mass.病例报告:腹腔内肿块的罕见病因。
Int J Surg Case Rep. 2019;65:329-332. doi: 10.1016/j.ijscr.2019.10.080. Epub 2019 Nov 12.
10
Omental Cyst - Rare Cause of Abdominal Pain in a 7-Year-Old Child: A Case Report.网膜囊肿——7岁儿童腹痛的罕见病因:一例报告
GE Port J Gastroenterol. 2021 Apr;28(3):202-206. doi: 10.1159/000510022. Epub 2020 Sep 18.

本文引用的文献

1
The SCARE Statement: Consensus-based surgical case report guidelines.SCARE 声明:基于共识的外科手术病例报告指南。
Int J Surg. 2016 Oct;34:180-186. doi: 10.1016/j.ijsu.2016.08.014. Epub 2016 Sep 7.
2
A giant peritoneal simple mesothelial cyst: a case report.巨大腹膜单纯性间皮囊肿:一例报告
J Med Case Rep. 2011 Aug 10;5:361. doi: 10.1186/1752-1947-5-361.
3
Mesenteric cysts: an institution experience over 14 years and review of literature.肠系膜囊肿:一家机构14年的经验及文献综述
World J Surg. 2009 Sep;33(9):1961-5. doi: 10.1007/s00268-009-0133-0.
4
Laparoscopic enucleation of mesenteric cyst: a case report.
Mt Sinai J Med. 2006 Nov;73(7):1019-20.
5
Bubbles in the belly: imaging of cystic mesenteric or omental masses.腹部气泡:囊性肠系膜或网膜肿块的影像学表现
Radiographics. 1994 Jul;14(4):729-37. doi: 10.1148/radiographics.14.4.7938764.