Suppr超能文献

髂嵴取骨后肾腰疝

Lumbar Herniation of Kidney following Iliac Crest Bone Harvest.

作者信息

Willcox Michael Justin

机构信息

Tulane University School of Medicine, New Orleans, LA 70112, USA.

出版信息

Case Rep Surg. 2016;2016:5365647. doi: 10.1155/2016/5365647. Epub 2016 Nov 30.

Abstract

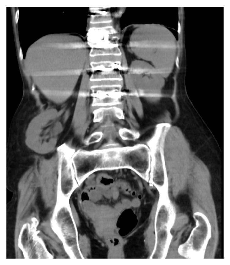
The iliac crest is a popular source for autogenous bone harvesting, but the process is rife with complications. This case report presents a patient that experienced incisional lumbar herniation of her kidney following an iliac crest bone harvesting procedure. A discussion is included on the underappreciated complications of this procedure and recommendations for improving outcomes with more thorough evaluation and documentation.

摘要

髂嵴是自体骨采集的常用来源,但该过程并发症频发。本病例报告介绍了一名患者,其在髂嵴骨采集术后出现了切口处肾腰疝。文中讨论了该手术未得到充分认识的并发症,并提出了通过更全面的评估和记录来改善手术效果的建议。

https://cdn.ncbi.nlm.nih.gov/pmc/blobs/5c89/5155106/2d6b299f0c44/CRIS2016-5365647.001.jpg

文献AI研究员

20分钟写一篇综述,助力文献阅读效率提升50倍。

立即体验

用中文搜PubMed

大模型驱动的PubMed中文搜索引擎

马上搜索

文档翻译

学术文献翻译模型,支持多种主流文档格式。

立即体验