Suppr超能文献

转移性肾细胞癌的一种罕见皮下表现

A Rare Subcutaneous Manifestation of Metastatic Renal Cell Carcinoma.

作者信息

Chan Darren Yak Leong, Chua Wei Jin

机构信息

Department of Urology, National University Hospital, Singapore.

出版信息

Case Rep Surg. 2016;2016:6453975. doi: 10.1155/2016/6453975. Epub 2016 Dec 14.

Abstract

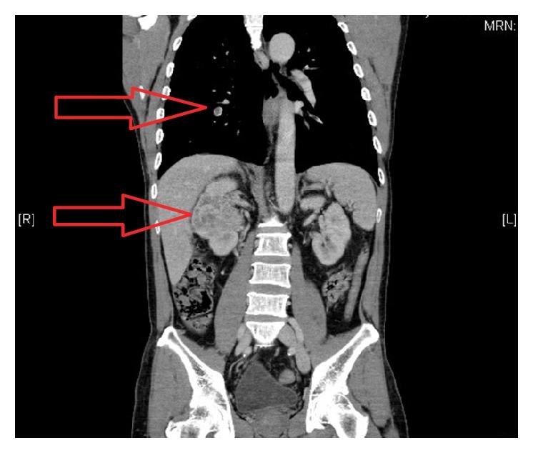
We report a rare case of advanced metastatic renal cell carcinoma which initially presented to the clinic with back and forehead lumps. Ultrasound imaging of the lumps and later of the abdomen picked up a right renal tumour which led to further computed tomography and bone scans. The bone scan confirmed that the forehead lump was a calvarial metastasis and such a presentation for metastatic RCC is very rare which bears a significantly poorer prognosis.

摘要

我们报告了一例罕见的晚期转移性肾细胞癌病例,该患者最初因背部和前额肿块就诊。对肿块以及随后对腹部进行的超声检查发现了右肾肿瘤,进而进行了进一步的计算机断层扫描和骨扫描。骨扫描证实前额肿块为颅骨转移,转移性肾细胞癌出现这种表现非常罕见,且预后明显较差。

https://cdn.ncbi.nlm.nih.gov/pmc/blobs/81fd/5192310/e7fef013b01d/CRIS2016-6453975.001.jpg

文献检索

告别复杂PubMed语法,用中文像聊天一样搜索,搜遍4000万医学文献。AI智能推荐,让科研检索更轻松。

立即免费搜索

文件翻译

保留排版,准确专业,支持PDF/Word/PPT等文件格式,支持 12+语言互译。

免费翻译文档

深度研究

AI帮你快速写综述,25分钟生成高质量综述,智能提取关键信息,辅助科研写作。

立即免费体验