Suppr超能文献

连续第三次体外冲击波碎石治疗后巨大肾血肿致低血容量性休克:一例报告

Hypovolemic Shock Caused by Massive Renal Hematoma After a Third Consecutive Extracorporeal Shockwave Lithotripsy Session: A Case Report.

作者信息

Sermeus Loic, Vander Eeckt Kathy, Ost Dieter, Van Den Branden Marcel

机构信息

Faculty of Medicine, Katholieke Universiteit Leuven , Leuven, Belgium .

AZ Sint Blasius , Dendermonde, Belgium .

出版信息

J Endourol Case Rep. 2016 Dec 1;2(1):243-245. doi: 10.1089/cren.2016.0127. eCollection 2016.

Abstract

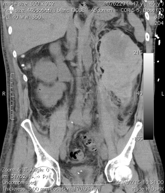
Extracorporeal shockwave lithotripsy (SWL) is a commonly used technique for treating urinary calculi. Although noninvasive, highly effective, and widely accepted, SWL is not without complications. Next to fragmenting the calculi, the surrounding tissue is damaged, which can result in renal hematoma, a well-described complication. In most cases, the collateral tissue damage is mild and resolves with conservative treatment. However, rarely, severe complications may arise. Here we present a case of a 46-year-old male who developed a massive hematoma, both subcapsular and retroperitoneal, after a third consecutive SWL session, resulting in hypovolemic shock. Different probable causes are proposed, of which one cause, the length of the interval between SWL sessions, is not yet studied properly. Probably, short intervals keep the damaged tissue from healing sufficiently, as proposed in our case. Possibly, life-threatening situations can be avoided if more evidence-based guidelines are available.

摘要

体外冲击波碎石术(SWL)是治疗尿路结石常用的技术。虽然SWL是非侵入性的、高效的且被广泛接受,但并非没有并发症。除了将结石击碎外,周围组织也会受到损伤,这可能导致肾血肿,这是一种广为人知的并发症。在大多数情况下,附带的组织损伤较轻,通过保守治疗即可解决。然而,很少会出现严重并发症。在此,我们报告一例46岁男性病例,该患者在连续第三次接受SWL治疗后,出现了巨大的包膜下和腹膜后血肿,导致低血容量性休克。我们提出了不同的可能原因,其中一个原因,即SWL治疗疗程之间的间隔时间,尚未得到充分研究。正如我们病例中所提出的,可能短间隔会使受损组织无法充分愈合。如果有更多基于证据的指南,可能可以避免危及生命的情况。

https://cdn.ncbi.nlm.nih.gov/pmc/blobs/1d4d/5198098/a3315f02a925/fig-1.jpg

文献AI研究员

20分钟写一篇综述,助力文献阅读效率提升50倍。

立即体验

用中文搜PubMed

大模型驱动的PubMed中文搜索引擎

马上搜索

文档翻译

学术文献翻译模型,支持多种主流文档格式。

立即体验