• 文献检索
  • 文档翻译
  • 深度研究
  • 学术资讯
  • Suppr Zotero 插件Zotero 插件
  • 邀请有礼
  • 套餐&价格
  • 历史记录
应用&插件
Suppr Zotero 插件Zotero 插件浏览器插件Mac 客户端Windows 客户端微信小程序
定价
高级版会员购买积分包购买API积分包
服务
文献检索文档翻译深度研究API 文档MCP 服务
关于我们
关于 Suppr公司介绍联系我们用户协议隐私条款
关注我们

Suppr 超能文献

核心技术专利:CN118964589B侵权必究
粤ICP备2023148730 号-1Suppr @ 2026

文献检索

告别复杂PubMed语法,用中文像聊天一样搜索,搜遍4000万医学文献。AI智能推荐,让科研检索更轻松。

立即免费搜索

文件翻译

保留排版,准确专业,支持PDF/Word/PPT等文件格式,支持 12+语言互译。

免费翻译文档

深度研究

AI帮你快速写综述,25分钟生成高质量综述,智能提取关键信息,辅助科研写作。

立即免费体验

CCAAT结合因子对白色念珠菌氧化应激反应的铁依赖性调控

The Iron-Dependent Regulation of the Candida albicans Oxidative Stress Response by the CCAAT-Binding Factor.

作者信息

Chakravarti Ananya, Camp Kyle, McNabb David S, Pinto Inés

机构信息

Department of Biological Sciences, University of Arkansas, Fayetteville, Arkansas, United States of America.

Cell and Molecular Biology Program, University of Arkansas, Fayetteville, Arkansas, United States of America.

出版信息

PLoS One. 2017 Jan 25;12(1):e0170649. doi: 10.1371/journal.pone.0170649. eCollection 2017.

DOI:10.1371/journal.pone.0170649
PMID:28122000
原文链接:https://pmc.ncbi.nlm.nih.gov/articles/PMC5266298/
Abstract

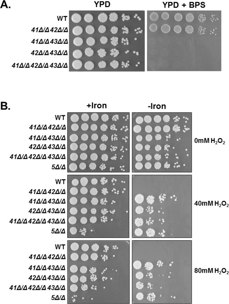
Candida albicans is the most frequently encountered fungal pathogen in humans, capable of causing mucocutaneous and systemic infections in immunocompromised individuals. C. albicans virulence is influenced by multiple factors. Importantly, iron acquisition and avoidance of the immune oxidative burst are two critical barriers for survival in the host. Prior studies using whole genome microarray expression data indicated that the CCAAT-binding factor is involved in the regulation of iron uptake/utilization and the oxidative stress response. This study examines directly the role of the CCAAT-binding factor in regulating the expression of oxidative stress genes in response to iron availability. The CCAAT-binding factor is a heterooligomeric transcription factor previously shown to regulate genes involved in respiration and iron uptake/utilization in C. albicans. Since these pathways directly influence the level of free radicals, it seemed plausible the CCAAT-binding factor regulates genes necessary for the oxidative stress response. In this study, we show the CCAAT-binding factor is involved in regulating some oxidative stress genes in response to iron availability, including CAT1, SOD4, GRX5, and TRX1. We also show that CAT1 expression and catalase activity correlate with the survival of C. albicans to oxidative stress, providing a connection between iron obtainability and the oxidative stress response. We further explore the role of the various CCAAT-binding factor subunits in the formation of distinct protein complexes that modulate the transcription of CAT1 in response to iron. We find that Hap31 and Hap32 can compensate for each other in the formation of an active transcriptional complex; however, they play distinct roles in the oxidative stress response during iron limitation. Moreover, Hap43 was found to be solely responsible for the repression observed under iron deprivation.

摘要

白色念珠菌是人类最常遇到的真菌病原体,能够在免疫功能低下的个体中引起黏膜皮肤感染和全身感染。白色念珠菌的毒力受多种因素影响。重要的是,获取铁和避免免疫氧化爆发是在宿主体内存活的两个关键障碍。先前使用全基因组微阵列表达数据的研究表明,CCAAT结合因子参与铁摄取/利用的调节以及氧化应激反应。本研究直接考察CCAAT结合因子在响应铁可用性时调节氧化应激基因表达中的作用。CCAAT结合因子是一种异源寡聚转录因子,先前已证明其可调节白色念珠菌中参与呼吸作用以及铁摄取/利用的基因。由于这些途径直接影响自由基水平,因此CCAAT结合因子调节氧化应激反应所需基因似乎是合理的。在本研究中,我们表明CCAAT结合因子参与响应铁可用性调节一些氧化应激基因,包括CAT1、SOD4、GRX5和TRX1。我们还表明,CAT1表达和过氧化氢酶活性与白色念珠菌对氧化应激的存活能力相关,这在铁的可获得性和氧化应激反应之间建立了联系。我们进一步探讨了各种CCAAT结合因子亚基在形成不同蛋白质复合物中的作用,这些复合物可响应铁调节CAT1的转录。我们发现Hap31和Hap32在形成活性转录复合物时可以相互补偿;然而,它们在铁限制期间的氧化应激反应中发挥不同作用。此外,发现Hap43是铁缺乏时观察到的抑制作用的唯一原因。

https://cdn.ncbi.nlm.nih.gov/pmc/blobs/f266/5266298/a65da99827b7/pone.0170649.g008.jpg
https://cdn.ncbi.nlm.nih.gov/pmc/blobs/f266/5266298/5f8c6dcae82b/pone.0170649.g001.jpg
https://cdn.ncbi.nlm.nih.gov/pmc/blobs/f266/5266298/21d53ffe6238/pone.0170649.g002.jpg
https://cdn.ncbi.nlm.nih.gov/pmc/blobs/f266/5266298/e1c3f76e0aff/pone.0170649.g003.jpg
https://cdn.ncbi.nlm.nih.gov/pmc/blobs/f266/5266298/6520525ab4f0/pone.0170649.g004.jpg
https://cdn.ncbi.nlm.nih.gov/pmc/blobs/f266/5266298/ec889360473e/pone.0170649.g005.jpg
https://cdn.ncbi.nlm.nih.gov/pmc/blobs/f266/5266298/b58c51aa2ccb/pone.0170649.g006.jpg
https://cdn.ncbi.nlm.nih.gov/pmc/blobs/f266/5266298/9d2f9f6aede9/pone.0170649.g007.jpg
https://cdn.ncbi.nlm.nih.gov/pmc/blobs/f266/5266298/a65da99827b7/pone.0170649.g008.jpg
https://cdn.ncbi.nlm.nih.gov/pmc/blobs/f266/5266298/5f8c6dcae82b/pone.0170649.g001.jpg
https://cdn.ncbi.nlm.nih.gov/pmc/blobs/f266/5266298/21d53ffe6238/pone.0170649.g002.jpg
https://cdn.ncbi.nlm.nih.gov/pmc/blobs/f266/5266298/e1c3f76e0aff/pone.0170649.g003.jpg
https://cdn.ncbi.nlm.nih.gov/pmc/blobs/f266/5266298/6520525ab4f0/pone.0170649.g004.jpg
https://cdn.ncbi.nlm.nih.gov/pmc/blobs/f266/5266298/ec889360473e/pone.0170649.g005.jpg
https://cdn.ncbi.nlm.nih.gov/pmc/blobs/f266/5266298/b58c51aa2ccb/pone.0170649.g006.jpg
https://cdn.ncbi.nlm.nih.gov/pmc/blobs/f266/5266298/9d2f9f6aede9/pone.0170649.g007.jpg
https://cdn.ncbi.nlm.nih.gov/pmc/blobs/f266/5266298/a65da99827b7/pone.0170649.g008.jpg

相似文献

1
The Iron-Dependent Regulation of the Candida albicans Oxidative Stress Response by the CCAAT-Binding Factor.CCAAT结合因子对白色念珠菌氧化应激反应的铁依赖性调控
PLoS One. 2017 Jan 25;12(1):e0170649. doi: 10.1371/journal.pone.0170649. eCollection 2017.
2
Diverse Hap43-independent functions of the Candida albicans CCAAT-binding complex.白色念珠菌CCAAT结合复合体的多种不依赖Hap43的功能。
Eukaryot Cell. 2013 Jun;12(6):804-15. doi: 10.1128/EC.00014-13. Epub 2013 Mar 29.
3
Candida albicans ferric reductases are differentially regulated in response to distinct forms of iron limitation by the Rim101 and CBF transcription factors.白色念珠菌铁还原酶受Rim101和CBF转录因子的调控,对不同形式的铁限制做出差异调节。
Eukaryot Cell. 2008 Jul;7(7):1168-79. doi: 10.1128/EC.00108-08. Epub 2008 May 23.
4
Novel regulatory function for the CCAAT-binding factor in Candida albicans.白色念珠菌中CCAAT结合因子的新型调控功能。
Eukaryot Cell. 2005 Oct;4(10):1662-76. doi: 10.1128/EC.4.10.1662-1676.2005.
5
Roles of Edc3 in the oxidative stress response and CaMCA1-encoded metacaspase expression in Candida albicans.Edc3 在白念珠菌氧化应激反应和 CaMCA1 编码的半胱氨酸蛋白酶表达中的作用。
FEBS J. 2014 Nov;281(21):4841-51. doi: 10.1111/febs.13022. Epub 2014 Sep 19.
6
Candida albicans Hap43 is a repressor induced under low-iron conditions and is essential for iron-responsive transcriptional regulation and virulence.白色念珠菌Hap43是一种在低铁条件下诱导产生的阻遏物,对铁响应转录调控和毒力至关重要。
Eukaryot Cell. 2011 Feb;10(2):207-25. doi: 10.1128/EC.00158-10. Epub 2010 Dec 3.
7
Elevated catalase expression in a fungal pathogen is a double-edged sword of iron.真菌病原体中过氧化氢酶表达升高是一把铁的双刃剑。
PLoS Pathog. 2017 May 22;13(5):e1006405. doi: 10.1371/journal.ppat.1006405. eCollection 2017 May.
8
Multiple Evolutionarily Conserved Domains of Cap2 Are Required for Promoter Recruitment and Iron Homeostasis Gene Regulation.Cap2 的多个进化保守结构域对于启动子招募和铁稳态基因调控是必需的。
mSphere. 2018 Aug 1;3(4):e00370-18. doi: 10.1128/mSphere.00370-18.
9
Copper-only superoxide dismutase enzymes and iron starvation stress in fungal pathogens.真菌病原体中仅含铜的超氧化物歧化酶与铁饥饿应激
J Biol Chem. 2020 Jan 10;295(2):570-583. doi: 10.1074/jbc.RA119.011084. Epub 2019 Dec 5.
10
Cap2-HAP complex is a critical transcriptional regulator that has dual but contrasting roles in regulation of iron homeostasis in Candida albicans.Cap2-HAP 复合物是一个关键的转录调控因子,在调控白色念珠菌中铁稳态方面具有双重但相反的作用。
J Biol Chem. 2011 Jul 15;286(28):25154-70. doi: 10.1074/jbc.M111.233569. Epub 2011 May 18.

引用本文的文献

1
Transcription factor Hap2p regulates antioxidant stress responses to maintain miconazole resistance in .转录因子Hap2p调节抗氧化应激反应以维持对咪康唑的抗性。
Mycology. 2025 Jan 6;16(3):1386-1399. doi: 10.1080/21501203.2024.2432424. eCollection 2025.
2
Integrative Phosphoproteomic and Proteomic Analysis of Exposed to Oxidative Stress.暴露于氧化应激下的整合磷酸化蛋白质组学和蛋白质组学分析
J Proteome Res. 2025 Jul 4;24(7):3484-3497. doi: 10.1021/acs.jproteome.5c00137. Epub 2025 Jun 2.
3
Transcriptomic insights into adaptation to an anaerobic environment.

本文引用的文献

1
Oxidative stress responses in the human fungal pathogen, Candida albicans.人类真菌病原体白色念珠菌中的氧化应激反应。
Biomolecules. 2015 Feb 25;5(1):142-65. doi: 10.3390/biom5010142.
2
Microbicidal activity of neutrophils is inhibited by isolates from recurrent vaginal candidiasis (RVVC) caused by Candida albicans through fungal thioredoxin reductase.白色念珠菌引起的复发性阴道念珠菌病(RVVC)分离株通过真菌硫氧还蛋白还原酶抑制中性粒细胞的杀菌活性。
Cell Immunol. 2015 Jan;293(1):22-9. doi: 10.1016/j.cellimm.2014.11.004. Epub 2014 Dec 5.
3
A relay network of extracellular heme-binding proteins drives C. albicans iron acquisition from hemoglobin.
对适应厌氧环境的转录组学见解。
Microbiol Spectr. 2025 Jul;13(7):e0302424. doi: 10.1128/spectrum.03024-24. Epub 2025 May 22.
4
Spectrum of activity and mechanisms of azole-bisphosphonate synergy in pathogenic .唑类-双膦酸盐协同作用在致病. 中的活性谱和机制
Microbiol Spectr. 2024 Jun 4;12(6):e0012124. doi: 10.1128/spectrum.00121-24. Epub 2024 May 2.
5
Homeostatic control of an iron repressor in a GI tract resident.肠道常驻菌中铁调节因子的体内平衡控制
Elife. 2023 May 25;12:e86075. doi: 10.7554/eLife.86075.
6
The Role of Glycoside Hydrolases in S. gordonii and C. albicans Interactions.糖苷水解酶在 S. gordonii 和 C. albicans 相互作用中的作用。
Appl Environ Microbiol. 2022 May 24;88(10):e0011622. doi: 10.1128/aem.00116-22. Epub 2022 May 4.
7
Combining Genome-Wide Gene Expression Analysis (RNA-seq) and a Gene Editing Platform (CRISPR-Cas9) to Uncover the Selectively Pro-oxidant Activity of Aurone Compounds Against .结合全基因组基因表达分析(RNA测序)和基因编辑平台(CRISPR-Cas9)以揭示橙酮化合物对……的选择性促氧化活性
Front Microbiol. 2021 Jul 15;12:708267. doi: 10.3389/fmicb.2021.708267. eCollection 2021.
8
Sequence Composition of Bacterial Chromosome Clones in a Transgressive Root-Knot Nematode Resistance Chromosome Region in Tetraploid Cotton.四倍体棉花中一个渐渗的根结线虫抗性染色体区域内细菌染色体克隆的序列组成
Front Plant Sci. 2020 Dec 14;11:574486. doi: 10.3389/fpls.2020.574486. eCollection 2020.
9
Characterization of the CCAAT-binding transcription factor complex in the plant pathogenic fungus Fusarium graminearum.鉴定植物病原菌禾谷镰刀菌中的 CCAAT 结合转录因子复合物。
Sci Rep. 2020 Mar 17;10(1):4898. doi: 10.1038/s41598-020-61885-4.
10
Copper-only superoxide dismutase enzymes and iron starvation stress in fungal pathogens.真菌病原体中仅含铜的超氧化物歧化酶与铁饥饿应激
J Biol Chem. 2020 Jan 10;295(2):570-583. doi: 10.1074/jbc.RA119.011084. Epub 2019 Dec 5.
细胞外血红素结合蛋白的中继网络驱动白色念珠菌从血红蛋白中获取铁。
PLoS Pathog. 2014 Oct 2;10(10):e1004407. doi: 10.1371/journal.ppat.1004407. eCollection 2014 Oct.
4
The Janus transcription factor HapX controls fungal adaptation to both iron starvation and iron excess.双向转录因子HapX控制真菌对铁饥饿和铁过载的适应性。
EMBO J. 2014 Oct 1;33(19):2261-76. doi: 10.15252/embj.201489468. Epub 2014 Aug 4.
5
Mechanisms underlying the exquisite sensitivity of Candida albicans to combinatorial cationic and oxidative stress that enhances the potent fungicidal activity of phagocytes.白色念珠菌对增强吞噬细胞强大杀菌活性的组合性阳离子和氧化应激具有极高敏感性的潜在机制。
mBio. 2014 Jul 15;5(4):e01334-14. doi: 10.1128/mBio.01334-14.
6
Differential response of Candida albicans and Candida glabrata to oxidative and nitrosative stresses.白色念珠菌和光滑念珠菌对氧化应激和亚硝化应激的差异反应。
Curr Microbiol. 2014 Nov;69(5):733-9. doi: 10.1007/s00284-014-0651-3. Epub 2014 Jul 8.
7
Two independent killing mechanisms of Candida albicans by human neutrophils: evidence from innate immunity defects.人中性粒细胞杀伤白色念珠菌的两种独立机制:固有免疫缺陷的证据。
Blood. 2014 Jul 24;124(4):590-7. doi: 10.1182/blood-2014-01-551473. Epub 2014 Jun 19.
8
Candida albicans suppresses nitric oxide generation from macrophages via a secreted molecule.白色念珠菌通过一种分泌分子抑制巨噬细胞产生一氧化氮。
PLoS One. 2014 Apr 22;9(4):e96203. doi: 10.1371/journal.pone.0096203. eCollection 2014.
9
Rewiring yeast osmostress signalling through the MAPK network reveals essential and non-essential roles of Hog1 in osmoadaptation.通过丝裂原活化蛋白激酶(MAPK)网络重新连接酵母渗透胁迫信号通路,揭示了Hog1在渗透适应中的必需和非必需作用。
Sci Rep. 2014 Apr 15;4:4697. doi: 10.1038/srep04697.
10
Candida albicans SOD5 represents the prototype of an unprecedented class of Cu-only superoxide dismutases required for pathogen defense.白色念珠菌 SOD5 代表了一种前所未有的铜-only 超氧化物歧化酶类的原型,这种酶类对于病原体防御是必需的。
Proc Natl Acad Sci U S A. 2014 Apr 22;111(16):5866-71. doi: 10.1073/pnas.1400137111. Epub 2014 Apr 7.