Suppr超能文献

1例经右三叶切除术成功治疗的成人肝脏未分化胚胎性肉瘤:病例报告

A case of adult undifferentiated embryonal sarcoma of the liver successfully treated with right trisectionectomy: a case report.

作者信息

Mori Akiko, Fukase Koji, Masuda Kunihiro, Sakata Naoaki, Mizuma Masamichi, Ohtsuka Hideo, Morikawa Takanori, Nakagawa Kei, Hayashi Hiroki, Motoi Fuyuhiko, Naitoh Takeshi, Murakami Keigo, Unno Michiaki

机构信息

Department of Surgery, Tohoku University, 1-1 Seiryo-machi, Aoba-ku, Sendai, Miyagi, 980-8574, Japan.

Department of Pathology, Tohoku University, 1-1 Seiryo-machi, Aoba-ku, Sendai, Miyagi, 980-8574, Japan.

出版信息

Surg Case Rep. 2017 Dec;3(1):19. doi: 10.1186/s40792-017-0295-1. Epub 2017 Jan 31.

Abstract

BACKGROUND

Undifferentiated embryonal sarcoma of the liver (UESL) is a rare malignant mesenchymal tumor that usually occurs in children and is rarely diagnosed in adults.

CASE PRESENTATION

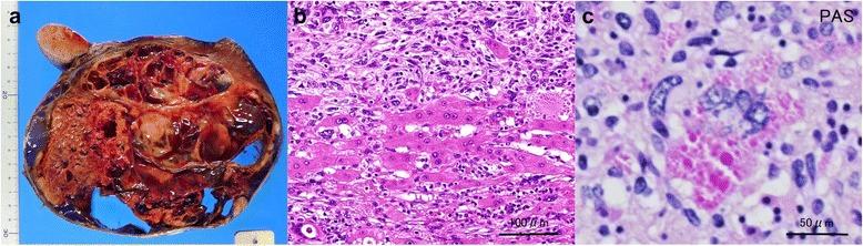
Here, we describe the case of a 65-year-old woman who presented with a huge cystic lesion in the liver. Laboratory studies performed on admission showed modest inflammation, poor nutrition, and elevated levels of total bilirubin, alkaline phosphatase, and γ-glutamyl transferase. Computed tomography showed a well-defined, heterogeneous tumor with multiple cysts involving the right lobe and the medial segment of the liver, with a maximum diameter of 16 cm. Positron emission tomography/computed tomographic scans showed the uptake of 2-(fluorine-18)-fluoro-2-deoxy-D-glucose in a part of the cyst. The patient was diagnosed with mucinous cystadenocarcinoma or sarcoma of the liver and underwent right trisectionectomy. Histopathological studies revealed that the tumor was composed of pleomorphic and polynuclear dyskaryotic cells with eosinophilic globules in the cytoplasm. Mesenchymal hamartoma-like tissue was observed in the peripheral part of the tumor. Immunohistochemical analyses showed the tumor stained with vimentin, α-smooth muscle actin, desmin, α1-antitrypsin, and α1-antichymotripsin. Therefore, a histological diagnosis of UESL was made. Eighteen months following treatment, two recurrent tumors in the remnant liver were detected and resection of the recurrent tumors was performed.

CONCLUSIONS

A UESL should be considered in the differential diagnosis of large cystic hepatic lesions. Although the prognosis of UESL is extremely unfavorable, aggressive surgical resection should be the most important factor for ensuring long-term survival.

摘要

背景

肝未分化胚胎性肉瘤(UESL)是一种罕见的恶性间叶性肿瘤,通常发生于儿童,成人中很少见。

病例报告

在此,我们描述一例65岁女性,其肝脏出现巨大囊性病变。入院时进行的实验室检查显示有轻度炎症、营养不良,总胆红素、碱性磷酸酶和γ-谷氨酰转移酶水平升高。计算机断层扫描显示一个边界清晰、不均匀的肿瘤,有多个囊肿累及肝脏右叶和肝中叶,最大直径为16厘米。正电子发射断层扫描/计算机断层扫描显示囊肿部分摄取2-(氟-18)-氟-2-脱氧-D-葡萄糖。该患者被诊断为肝黏液性囊腺癌或肉瘤,并接受了右半肝切除术。组织病理学研究显示肿瘤由多形性和多核异核细胞组成,细胞质中有嗜酸性小球。在肿瘤周边观察到间叶性错构瘤样组织。免疫组织化学分析显示肿瘤细胞波形蛋白、α-平滑肌肌动蛋白、结蛋白、α1-抗胰蛋白酶和α1-抗糜蛋白酶染色阳性。因此,做出了UESL的组织学诊断。治疗18个月后,在残余肝脏中检测到两个复发肿瘤,并对复发肿瘤进行了切除。

结论

在大的肝脏囊性病变的鉴别诊断中应考虑UESL。尽管UESL的预后极差,但积极的手术切除应是确保长期生存的最重要因素。

https://cdn.ncbi.nlm.nih.gov/pmc/blobs/c068/5285294/9ddd76e7f343/40792_2017_295_Fig1_HTML.jpg

文献AI研究员

20分钟写一篇综述,助力文献阅读效率提升50倍。

立即体验

用中文搜PubMed

大模型驱动的PubMed中文搜索引擎

马上搜索

文档翻译

学术文献翻译模型,支持多种主流文档格式。

立即体验