Suppr超能文献

棕榈海豚促进成肌细胞分化和肌肉再生。

Palmdelphin promotes myoblast differentiation and muscle regeneration.

机构信息

State Key Laboratory of Biocontrol, School of Life Sciences, Sun Yat-sen University, Guangzhou, Guangdong 510006, P.R. China.

出版信息

Sci Rep. 2017 Feb 2;7:41608. doi: 10.1038/srep41608.

Abstract

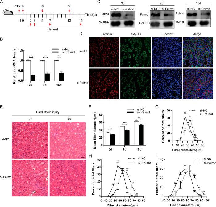
Differentiation of myoblasts is essential in the development and regeneration of skeletal muscles to form multinucleated, contractile muscle fibers. However, the process of myoblast differentiation in mammals is complicated and requires to be further investigated. In this study, we found Palmdelphin (Palmd), a cytosolic protein, promotes myoblast differentiation. Palmd is predominantly expressed in the cytosol of myoblasts and is gradually up-regulated after differentiation. Knockdown of Palmd by small interfering RNA (siRNA) in C2C12 markedly inhibits myogenic differentiation, suggesting a specific role of Palmd in the morphological changes of myoblast differentiation program. Overexpression of Palmd in C2C12 enhances myogenic differentiation. Remarkably, inhibition of Palmd results in impaired myotube formation during muscle regeneration after injury. These findings reveal a new cytosolic protein that promotes mammalian myoblast differentiation and provide new insights into the molecular regulation of muscle formation.

摘要

成肌细胞的分化对于骨骼肌的发育和再生至关重要,它可以形成多核、收缩的肌纤维。然而,哺乳动物中成肌细胞分化的过程很复杂,需要进一步研究。在这项研究中,我们发现 Palmdelphin(Palmd),一种细胞质蛋白,可促进成肌细胞分化。Palmd 主要表达在成肌细胞的细胞质中,在分化后逐渐上调。用小干扰 RNA(siRNA)敲低 C2C12 中的 Palmd,明显抑制成肌分化,表明 Palm 在成肌分化程序的形态变化中具有特定作用。在 C2C12 中过表达 Palmd 可增强成肌分化。值得注意的是,抑制 Palm 会导致损伤后肌肉再生过程中的肌管形成受损。这些发现揭示了一种新的促进哺乳动物成肌细胞分化的细胞质蛋白,并为肌肉形成的分子调控提供了新的见解。

https://cdn.ncbi.nlm.nih.gov/pmc/blobs/6a06/5288731/d32e7688c2d1/srep41608-f1.jpg

文献AI研究员

20分钟写一篇综述,助力文献阅读效率提升50倍。

立即体验

用中文搜PubMed

大模型驱动的PubMed中文搜索引擎

马上搜索

文档翻译

学术文献翻译模型,支持多种主流文档格式。

立即体验