Suppr超能文献

慢性腹泻伴血清免疫球蛋白A水平升高及小肠浆细胞弥漫浸润:一例报告

Chronic diarrhea associated with high serum level of immunoglobulin A and diffuse infiltration of plasma cell in small intestine: A case report.

作者信息

Yang Junwen, Chen Shuijiao, Chen Linlin, Ouyang Miao, Li Fujun

机构信息

Department of Gastroenterology, Xiangya Hospital, Central South University, Changsha, Hunan Province, China.

出版信息

Medicine (Baltimore). 2017 Feb;96(5):e6057. doi: 10.1097/MD.0000000000006057.

Abstract

RATIONALE

Chronic diarrhea in adult patients due to various causes is very common in clinic, but patient suffering with mal-absorption due to immunoproliferative small intestinal disease was rarely reported in China.

PATIENT CONCERNS AND DIAGNOSES

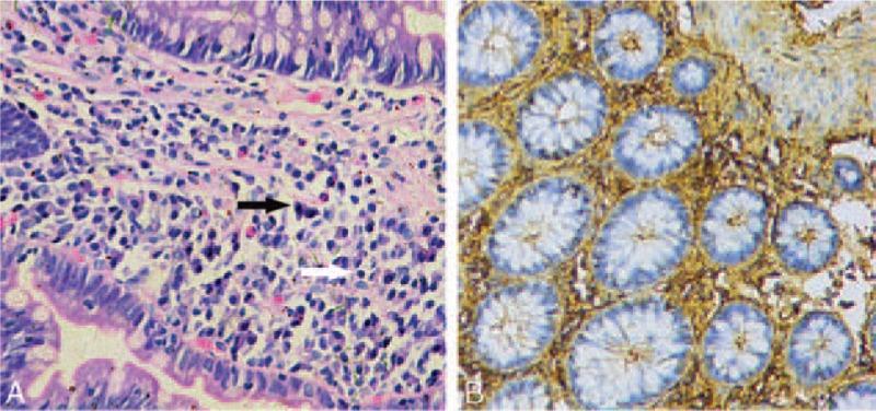
A 35-year-old female presented with more than three years history of chronic diarrhea, rickets, high serum value of immunoglobulin A protein, and anemia. Bone marrow aspiration suggested that the patient was in a sideropenic and megalobastic anemia stage. Duodenal and ileac biopsies revealed atrophy and blunting villi. The bowel lamina propria was infiltrated with slightly increased intraepithelial lymphocytes and mainly with diffuse plasma cells. The following enzyme labeling immunohistochemistry results were strongly positive to alpha-heavy-chain. Computed tomography manifested she had diffuse thickening of small intestine wall. At last a diagnosis of immunoproliferative small intestinal disease was made.

INTERVENTIONS AND OUTCOMES

On the first month, the patient was treated with vitamin D supplements, calcium, magnesium, potassium, iron, folic acid, mecobalamin replacements and microflora probiotics. The patient frequency of water diarrhea alleviated slightly, but her weight loss, anxiety neurosis and other disorders were still severe. After taking with prednisone (40 mg per day, and gradually reduced to the lowest dose) for another month, the symptoms was gradually subsided.

LESSONS

The study shows that immunohistochemical staining for alpha-heavy chain proteins should be completed on small intestine biopsy specimens if the patient is suspected a diagnosis of immunoproliferative small intestinal disease.

摘要

理论依据

临床上,成年患者因各种原因引起的慢性腹泻非常常见,但在中国,因免疫增殖性小肠疾病导致吸收不良的患者鲜有报道。

患者情况与诊断

一名35岁女性,有超过三年的慢性腹泻病史,伴有佝偻病、血清免疫球蛋白A蛋白值升高及贫血。骨髓穿刺提示患者处于缺铁性巨幼细胞贫血阶段。十二指肠和回肠活检显示绒毛萎缩和变钝。肠固有层有上皮内淋巴细胞轻度增多,主要为弥漫性浆细胞浸润。以下酶标免疫组化结果对α重链呈强阳性。计算机断层扫描显示她的小肠壁弥漫性增厚。最终诊断为免疫增殖性小肠疾病。

干预措施与结果

第一个月,患者接受了维生素D补充剂、钙、镁、钾、铁、叶酸、甲钴胺替代物及微生态益生菌治疗。患者水样腹泻的频率略有缓解,但体重减轻、焦虑神经症等症状仍很严重。在服用泼尼松(每天40毫克,并逐渐减至最低剂量)一个月后,症状逐渐消退。

经验教训

该研究表明,如果怀疑患者患有免疫增殖性小肠疾病,应在小肠活检标本上完成α重链蛋白的免疫组化染色。

https://cdn.ncbi.nlm.nih.gov/pmc/blobs/85e2/5293480/bd02e073cef5/medi-96-e6057-g001.jpg

文献AI研究员

20分钟写一篇综述,助力文献阅读效率提升50倍。

立即体验

用中文搜PubMed

大模型驱动的PubMed中文搜索引擎

马上搜索

文档翻译

学术文献翻译模型,支持多种主流文档格式。

立即体验