Suppr超能文献

miR-320a通过靶向SND1和β-连环蛋白发挥对神经胶质瘤的抑制作用,并可预测患者的预后。

miR-320a functions as a suppressor for gliomas by targeting SND1 and β-catenin, and predicts the prognosis of patients.

作者信息

Li Huining, Yu Lin, Liu Jing, Bian Xiuwu, Shi Cuijuan, Sun Cuiyun, Zhou Xuexia, Wen Yanjun, Hua Dan, Zhao Shujun, Ren Linlin, An Tongling, Luo Wenjun, Wang Qian, Yu Shizhu

机构信息

Department of Neuropathology, Tianjin Neurological Institute, Tianjin Medical University General Hospital, Tianjin, China.

Tianjin Key Laboratory of Injuries, Variations and Regeneration of the Nervous System, Tianjin, China.

出版信息

Oncotarget. 2017 Mar 21;8(12):19723-19737. doi: 10.18632/oncotarget.14975.

Abstract

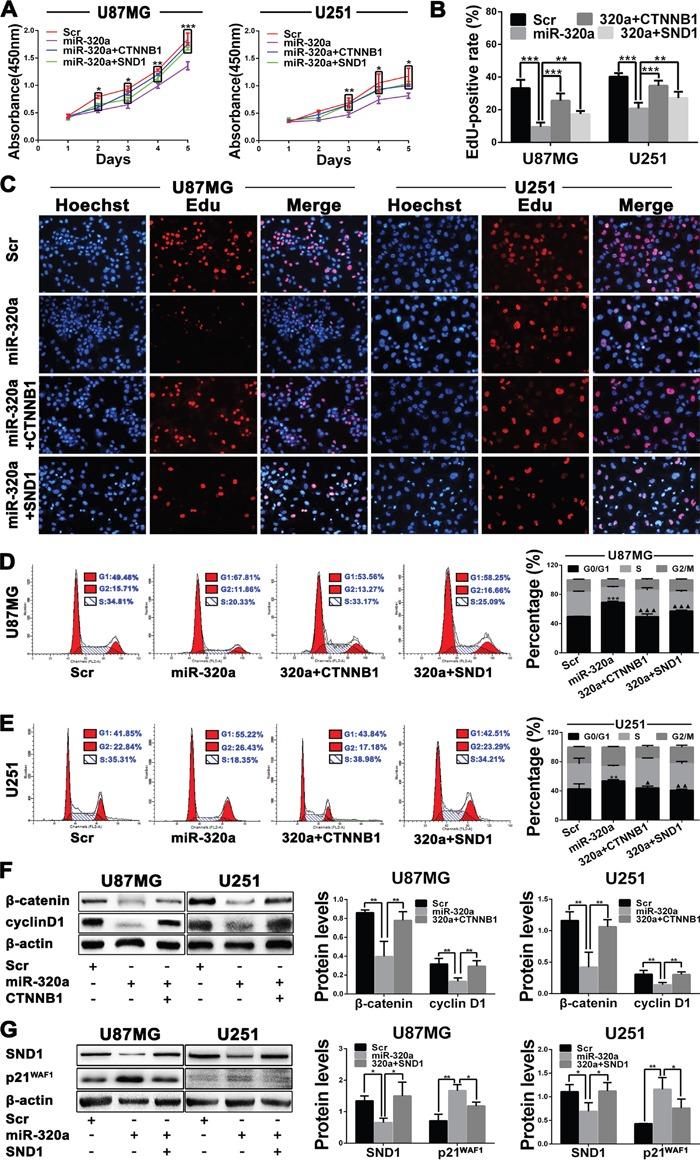
miR-320a downexpression contributes to tumorigenesis in several human cancers. However, the relevance of miR-320a to prognosis, proliferation and invasion in gliomas remains unclear. In this study, we demonstrated that miR-320a expression was decreased in human glioma tissues and cell lines. Moreover, miR-320a expression was inversely correlated with glioma grades and Ki-67 index, but positively correlated with patients' survival. Contrarily, SND1 and β-catenin expressions were positively correlated with glioma grades and Ki-67 index, but inversely correlated with miR-320a expression and patients' survival. Furthermore, two subgroups with distinct prognoses in our glioma patients of different grade, IDH status, age and KPS were identified according to expression of miR-320a, SND1 or β-catenin. Cox regression showed that miR-320a and SND1 were independent predictors and β-catenin was an auxiliary predictor for patients' survival. miR-320a overexpression suppressed the G1/S phase transition, proliferation, migration and invasion of glioblastoma cells. Mechanistically, we validated SND1 and β-catenin as direct targets of miR-320a, and found that miR-320a overexpression increased SND1-inhibited tumor suppressor p21WAF1 and decreased Smad2, Smad4, MMP2, MMP7 and cyclinD1, the pivotal downstream effectors of SND1 or β-catenin. Our findings demonstrate the potential values of miR-320a, SND1 and β-catenin as prognostic biomarkers and therapeutic candidates for malignant gliomas.

摘要

miR-320a表达下调在多种人类癌症的肿瘤发生过程中发挥作用。然而,miR-320a与胶质瘤的预后、增殖和侵袭之间的相关性仍不明确。在本研究中,我们发现miR-320a在人类胶质瘤组织和细胞系中的表达降低。此外,miR-320a的表达与胶质瘤分级和Ki-67指数呈负相关,但与患者生存率呈正相关。相反,SND1和β-连环蛋白的表达与胶质瘤分级和Ki-67指数呈正相关,但与miR-320a表达和患者生存率呈负相关。此外,根据miR-320a、SND1或β-连环蛋白的表达,我们在不同分级、异柠檬酸脱氢酶(IDH)状态、年龄和 Karnofsky 功能状态(KPS)的胶质瘤患者中鉴定出了两个具有不同预后的亚组。Cox回归分析表明,miR-320a和SND1是患者生存的独立预测因子,β-连环蛋白是辅助预测因子。miR-320a过表达抑制了胶质母细胞瘤细胞的G1/S期转换、增殖、迁移和侵袭。机制上,我们验证了SND1和β-连环蛋白是miR-320a的直接靶点,并发现miR-320a过表达增加了SND1抑制的肿瘤抑制因子p21WAF1,降低了SND1或β-连环蛋白的关键下游效应分子Smad2、Smad4、MMP2、MMP7和细胞周期蛋白D1。我们的研究结果证明了miR-320a、SND1和β-连环蛋白作为恶性胶质瘤预后生物标志物和治疗候选靶点的潜在价值。

https://cdn.ncbi.nlm.nih.gov/pmc/blobs/95b8/5386717/05010c14cba8/oncotarget-08-19723-g001.jpg

文献AI研究员

20分钟写一篇综述,助力文献阅读效率提升50倍。

立即体验

用中文搜PubMed

大模型驱动的PubMed中文搜索引擎

马上搜索

文档翻译

学术文献翻译模型,支持多种主流文档格式。

立即体验