Suppr超能文献

骨Paget病中发生的巨细胞瘤:一例报告并文献复习

Giant Cell Tumor Developing in Paget's Disease of Bone: A Case Report with Review of Literature.

作者信息

Verma Vivek, Puri Ajay, Shah Sanket, Rekhi Bharat, Gulia Ashish

机构信息

Department of Orthopaedic Oncology, Tata Memorial Centre, Mumbai, Maharashtra, India.

Department of Pathology, Tata Memorial Centre, Mumbai, Maharashtra, India.

出版信息

J Orthop Case Rep. 2016 Sep-Oct;6(4):103-107. doi: 10.13107/jocr.2250-0685.594.

Abstract

INTRODUCTION

Paget's disease of bone (PDB) is a disease of elderly characterized by disorganized bone remodeling. Development of secondary neoplasm in PDB is a known but rare phenomenon. Development of giant cell tumor in PDB (GCT-PDB) is extremely rare, and little is known about its etiopathogenesis and management. We present a case report of such a development with a review of the literature and the role of various new modalities of treatment available in the management of this rare condition.

CASE REPORT

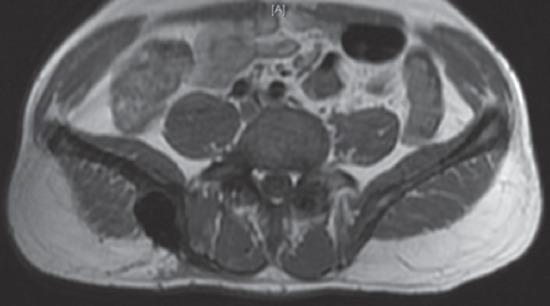
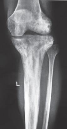
A 40-year-old gentleman presented with back pain and on evaluation was diagnosed as a case of polyostotic PDB. He was treated with intravenous bisphosphonates, calcium, and vitamin D supplements. After an asymptomatic period of 3-year, he presented with a gluteal mass involving ilium and sacrum which was confirmed as GCT on biopsy. Serial angioembolization was attempted but mass progressed, so surgery performed with excision and curettage of the lesion. He presented with a local recurrence 2 years later with a large soft tissue component. He was started on denosumab, RANKL inhibitor, with the aim to downstage the lesion. The patient showed a good response after 6 doses with reduction in soft tissue mass followed by which he underwent surgery with partial T-1 internal hemipelvectomy and curettage of sacrum. Currently, the patient is asymptomatic at a follow-up of 15 months.

CONCLUSION

GCT-PDB is a rare phenomenon occurring mainly in polyostotic PDB and is associated with more severe manifestations of the disease. The management is challenging and requires multimodality management. Pharmacological agents include use of bisphosphonates and RANK ligand inhibitor - denosumab. Although surgery is the mainstay of treatment for GCT, other modalities of treatment such as RANK ligand inhibitors (denosumab), selective arterial embolization, or radiation therapy has to be used for inoperable cases or where surgery would be functionally too morbid, especially in cases of GCT-PDB where the disease affects more commonly the axial skeleton.

摘要

引言

骨佩吉特病(PDB)是一种好发于老年人的疾病,其特征为骨重塑紊乱。PDB 继发肿瘤是一种已知但罕见的现象。PDB 中发生巨细胞瘤(GCT-PDB)极为罕见,对其病因发病机制和治疗知之甚少。我们报告一例此类病例,并回顾文献以及各种新治疗方式在这种罕见疾病管理中的作用。

病例报告

一名 40 岁男性因背痛就诊,经评估诊断为多骨型 PDB。他接受了静脉注射双膦酸盐、钙剂和维生素 D 补充剂治疗。在无症状的 3 年后,他出现了累及髂骨和骶骨的臀肌肿块,活检确诊为 GCT。尝试了系列血管栓塞术,但肿块仍进展,因此进行了手术,切除并刮除病变。2 年后他出现局部复发,伴有大量软组织成分。开始使用地诺单抗(一种 RANKL 抑制剂),目的是降低病变分期。患者在 6 次给药后显示出良好反应,软组织肿块缩小,随后接受了部分 T-1 型内部半骨盆切除术和骶骨刮除术。目前,患者在 15 个月的随访中无症状。

结论

GCT-PDB 是一种罕见现象,主要发生在多骨型 PDB 中,且与该疾病更严重的表现相关。其治疗具有挑战性,需要多模式管理。药物治疗包括使用双膦酸盐和 RANK 配体抑制剂——地诺单抗。虽然手术是 GCT 的主要治疗方法,但对于无法手术的病例或手术会导致功能严重受损的情况,尤其是在 GCT-PDB 中疾病更常累及中轴骨骼的病例,必须使用其他治疗方式,如 RANK 配体抑制剂(地诺单抗)、选择性动脉栓塞或放射治疗。

https://cdn.ncbi.nlm.nih.gov/pmc/blobs/3381/5288610/a7cb37b84d4f/JOCR-6-103-g001.jpg

文献AI研究员

20分钟写一篇综述,助力文献阅读效率提升50倍。

立即体验

用中文搜PubMed

大模型驱动的PubMed中文搜索引擎

马上搜索

文档翻译

学术文献翻译模型,支持多种主流文档格式。

立即体验