Chaphalkar Renuka, Apte Kishori G, Talekar Yogesh, Ojha Shreesh Kumar, Nandave Mukesh
SPP School of Pharmacy & Technology Management, SVKM's NMIMS, Vile Parle (W), Mumbai 400056, India.
National Toxicology Centre, Vadgaon Khurd, Pune 411041, India.
Oxid Med Cell Longev. 2017;2017:3876040. doi: 10.1155/2017/3876040. Epub 2017 Jan 12.
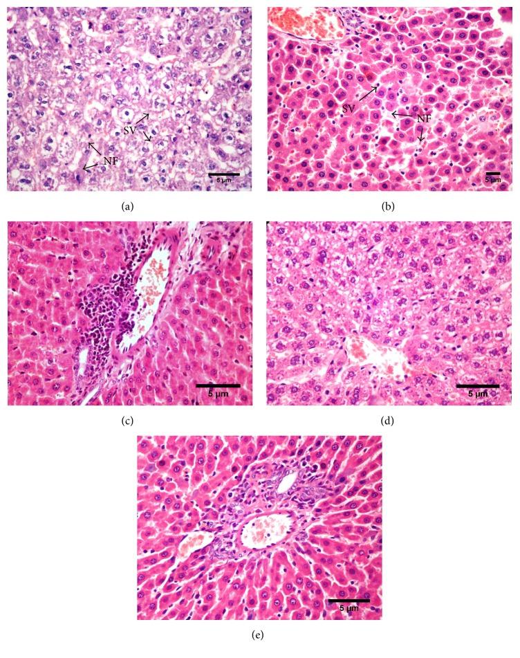
L. (amla) has been used in Ayurveda as a potent rasayan for treatment of hepatic disorders. Most of the pharmacological studies, however, are largely focused on PE fruit, while the rest of the parts of PE, particularly, bark, remain underinvestigated. Therefore, we aimed to investigate the protective effect of the hydroalcoholic extract of bark (PEE) in ethanol-induced hepatotoxicity model in rats. Total phenolic, flavonoid, and tannin content and in vitro antioxidant activities were determined by using HO scavenging and ABTS decolorization assays. Our results showed that PEE was rich in total phenols (99.523 ± 1.91 mg GAE/g), total flavonoids (389.33 ± 1.25 mg quercetin hydrate/g), and total tannins (310 ± 0.21 mg catechin/g), which clearly support its strong antioxidant potential. HPTLC-based quantitative analysis revealed the presence of the potent antioxidants gallic acid (25.05 mg/g) and ellagic acid (13.31 mg/g). Moreover, one-month PEE treatment (500 and 1000 mg/kg, p.o.) followed by 30-day 70% ethanol (10 mL/kg) administration showed hepatoprotection as evidenced by significant restoration of ALT ( < 0.01), AST ( < 0.001), ALP ( < 0.05), and TP ( < 0.001) and further confirmed by liver histopathology. PEE-mediated hepatoprotection could be due to its free radical scavenging and antioxidant activity that may be ascribed to its antioxidant components, namely, ellagic acid and gallic acid. Thus, the results of the present study support the therapeutic claims made in Ayurveda about .
余甘子(印度醋栗)在阿育吠陀医学中被用作治疗肝脏疾病的强效抗衰老药。然而,大多数药理学研究主要集中在余甘子果实上,而余甘子的其他部分,特别是树皮,仍未得到充分研究。因此,我们旨在研究余甘子树皮水醇提取物(PEE)对大鼠乙醇诱导的肝毒性模型的保护作用。通过清除羟基自由基和ABTS脱色试验测定总酚、黄酮和单宁含量以及体外抗氧化活性。我们的结果表明,PEE富含总酚(99.523±1.91毫克没食子酸当量/克)、总黄酮(389.33±1.25毫克槲皮素水合物/克)和总单宁(310±0.21毫克儿茶素/克),这清楚地证明了其强大的抗氧化潜力。基于高效薄层色谱的定量分析表明存在强效抗氧化剂没食子酸(25.05毫克/克)和鞣花酸(13.31毫克/克)。此外,连续一个月给予PEE(500和1000毫克/千克,口服),随后给予30天70%乙醇(10毫升/千克),显示出肝脏保护作用,谷丙转氨酶(<0.01)、谷草转氨酶(<0.001)、碱性磷酸酶(<0.05)和总蛋白(<0.001)显著恢复,肝脏组织病理学进一步证实了这一点。PEE介导的肝脏保护作用可能归因于其自由基清除和抗氧化活性,这可能与其抗氧化成分,即鞣花酸和没食子酸有关。因此,本研究结果支持了阿育吠陀医学中关于余甘子树皮的治疗说法。