Suppr超能文献

免疫功能正常的患者因脑脓肿导致表达性失语。

Expressive aphasia caused by brain abscess in an immunocompetent patient.

作者信息

Khaja Misbahuddin, Adler Darryl, Lominadze George

机构信息

Division of Pulmonary and Critical Care Medicine, Bronx Lebanon Hospital Center, Affiliated with Icahn School of Medicine at Mount Sinai.

Division of Critical Care Medicine, New York Presbyterian-Lawrence Hospital Center, Affiliated with Columbia University College of Physician and Surgeons, Bronx, New York, NY, USA.

出版信息

Int Med Case Rep J. 2017 Jan 23;10:25-30. doi: 10.2147/IMCRJ.S125684. eCollection 2017.

Abstract

BACKGROUND

Brain abscess is an uncommon but life-threatening infection. It involves a focal, intracerebral infection that begins in a localized area of cerebritis and develops into a collection of pus, surrounded by a well-vascularized capsule. Brain abscess still poses a significant problem in developing countries but rarely in developed countries. Predisposing factors vary in different parts of the world. With the introduction of antibiotics and imaging studies, the mortality rate has decreased between 5% and 15%. If left untreated it may lead to serious neurologic sequelae. The temporal lobe abscess can be caused by conditions like sinusitis, otitis media, dental infections, and mastoiditis if left untreated or partially treated. Additionally, in neurosurgical procedures like craniotomy, the external ventricular drain can get infected, leading to abscess formation.

CASE PRESENTATION

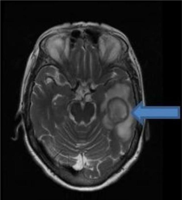
We present the case study of an elderly female patient who presented with expressive aphasia caused by brain abscess, secondary to infection. The 72-year-old female with a medical history of hypertension came to hospital for evaluation with word-finding difficulty, an expressive aphasia that began a few days prior to presentation. Computed tomography of the head showed a left temporal lobe mass-like lesion, with surrounding vasogenic edema. The patient was empirically started on courses of antibiotics. The next day, she was subjected to magnetic resonance imaging of the brain, which showed a left temporal lobe septated rim-enhancing mass lesion, with bright restricted diffusion and diffuse surrounding vasogenic edema consistent with abscess. The patient was also seen by the neurosurgery department and underwent stereotactic, left temporal craniotomy, with drainage, and resection of abscess. Tissue culture grew sensitive to ampicillin sulbactam. Subsequently her expressive aphasia improved.

CONCLUSION

Brain abscess has a high mortality, however a significant proportion of patients with appropriately treated abscess recover completely and can survive without significant neurologic damage. Advanced imaging modalities may yield more accurate methods of differentiation of mass lesions in the brain. Biopsy of brain lesion with early initiation of appropriate antibiotics will change the outcome.

摘要

背景

脑脓肿是一种罕见但危及生命的感染性疾病。它是一种局灶性脑内感染,始于局限性脑炎区域,发展为脓肿,周围有血管丰富的包膜。脑脓肿在发展中国家仍然是一个重大问题,但在发达国家很少见。世界各地的诱发因素各不相同。随着抗生素和影像学检查的引入,死亡率已降至5%至15%之间。如果不治疗,可能会导致严重的神经后遗症。颞叶脓肿可由鼻窦炎、中耳炎、牙齿感染和乳突炎等疾病未经治疗或部分治疗引起。此外,在开颅手术等神经外科手术中,外部脑室引流管可能会感染,导致脓肿形成。

病例报告

我们报告了一例老年女性患者的病例研究,该患者因脑脓肿继发感染导致表达性失语。这位72岁的女性有高血压病史,因出现找词困难前来医院评估,这种表达性失语在就诊前几天开始出现。头部计算机断层扫描显示左侧颞叶有肿块样病变,周围有血管源性水肿。患者经验性地开始使用抗生素疗程。第二天,她接受了脑部磁共振成像检查,结果显示左侧颞叶有分隔的边缘强化肿块病变,弥散受限呈高信号,周围有弥漫性血管源性水肿,符合脓肿表现。神经外科也对该患者进行了会诊,并对其进行了立体定向左侧颞叶开颅手术,进行引流和脓肿切除。组织培养显示对氨苄西林舒巴坦敏感。随后她的表达性失语有所改善。

结论

脑脓肿死亡率较高,然而,相当一部分脓肿得到适当治疗的患者可完全康复,且能在无明显神经损伤的情况下存活。先进的影像学检查方法可能会产生更准确的脑内肿块病变鉴别方法。早期进行脑病变活检并及时使用适当的抗生素将改变治疗结果。

https://cdn.ncbi.nlm.nih.gov/pmc/blobs/d119/5271399/ff8ff0292e64/imcrj-10-025Fig1.jpg

相似文献

1
Expressive aphasia caused by brain abscess in an immunocompetent patient.
Int Med Case Rep J. 2017 Jan 23;10:25-30. doi: 10.2147/IMCRJ.S125684. eCollection 2017.
2
Braın abscess due to Streptococcus intermedius secondary to mastoiditis in a child.
Springerplus. 2015 Dec 23;4:809. doi: 10.1186/s40064-015-1608-0. eCollection 2015.
3
Brain abscess caused by Streptococcus intermedius: two case reports.
Surg Neurol. 1999 Feb;51(2):219-22. doi: 10.1016/s0090-3019(97)00505-3.
4
Multifocal Brain Abscesses Due to Streptococcus intermedius.
Cureus. 2022 Dec 21;14(12):e32797. doi: 10.7759/cureus.32797. eCollection 2022 Dec.
9
Streptococcus intermedius: From a Normal Oral Commensal to a Life-Threatening Organism.
Cureus. 2023 Dec 18;15(12):e50708. doi: 10.7759/cureus.50708. eCollection 2023 Dec.
10
Spontaneous cerebral abscess due to in an immunocompetent male patient: A case report and review of literature.
World J Clin Cases. 2018 Dec 26;6(16):1169-1174. doi: 10.12998/wjcc.v6.i16.1169.

引用本文的文献

1
Osteomyelitis caused by Streptococcus intermedius in immunocompetent adults - a case report and systematic literature review.
Eur J Clin Microbiol Infect Dis. 2023 Sep;42(9):1055-1061. doi: 10.1007/s10096-023-04640-7. Epub 2023 Jul 20.
2
Microbial aetiology of brain abscess in a UK cohort: Prominent role of Streptococcus intermedius.
J Infect. 2020 Jun;80(6):623-629. doi: 10.1016/j.jinf.2020.03.011. Epub 2020 Mar 13.
4
Outcome of burr-hole aspiration of brain abscess.
Pak J Med Sci. 2017 Sep-Oct;33(5):1161-1165. doi: 10.12669/pjms.335.13022.

本文引用的文献

1
Bacterial brain abscess.
Neurohospitalist. 2014 Oct;4(4):196-204. doi: 10.1177/1941874414540684.
2
Brain abscess.
N Engl J Med. 2014 Jul 31;371(5):447-56. doi: 10.1056/NEJMra1301635.
3
Clinical characteristics and outcome of brain abscess: systematic review and meta-analysis.
Neurology. 2014 Mar 4;82(9):806-13. doi: 10.1212/WNL.0000000000000172. Epub 2014 Jan 29.
4
Open craniotomy for brain abscess: A forgotten experience?
Surg Neurol Int. 2013 Mar 25;4:34. doi: 10.4103/2152-7806.109522. Print 2013.
5
Pyogenic brain abscess, a 15 year survey.
BMC Infect Dis. 2012 Nov 30;12:332. doi: 10.1186/1471-2334-12-332.
6
The role of Streptococcus intermedius in brain abscess.
Eur J Clin Microbiol Infect Dis. 2013 Apr;32(4):477-83. doi: 10.1007/s10096-012-1782-8. Epub 2012 Nov 28.
7
Temporal lobe abscess in a patient with isolated sphenoiditis.
Allergy Rhinol (Providence). 2011 Jan;2(1):40-2. doi: 10.2500/ar.2011.2.0001.
8
Antiepileptic drugs for preventing seizures in people with brain tumors.
Cochrane Database Syst Rev. 2008 Apr 16;2008(2):CD004424. doi: 10.1002/14651858.CD004424.pub2.
9
Role of hyaluronidase in Streptococcus intermedius biofilm.
Microbiology (Reading). 2008 Mar;154(Pt 3):932-938. doi: 10.1099/mic.0.2007/012393-0.
10
Proton magnetic resonance spectroscopy and diffusion-weighted imaging in intracranial cystic mass lesions.
Surg Neurol. 2007;68 Suppl 1:S25-36. doi: 10.1016/j.surneu.2007.07.080.

文献AI研究员

20分钟写一篇综述,助力文献阅读效率提升50倍。

立即体验

用中文搜PubMed

大模型驱动的PubMed中文搜索引擎

马上搜索

文档翻译

学术文献翻译模型,支持多种主流文档格式。

立即体验