• 文献检索
  • 文档翻译
  • 深度研究
  • 学术资讯
  • Suppr Zotero 插件Zotero 插件
  • 邀请有礼
  • 套餐&价格
  • 历史记录
应用&插件
Suppr Zotero 插件Zotero 插件浏览器插件Mac 客户端Windows 客户端微信小程序
定价
高级版会员购买积分包购买API积分包
服务
文献检索文档翻译深度研究API 文档MCP 服务
关于我们
关于 Suppr公司介绍联系我们用户协议隐私条款
关注我们

Suppr 超能文献

核心技术专利:CN118964589B侵权必究
粤ICP备2023148730 号-1Suppr @ 2026

文献检索

告别复杂PubMed语法,用中文像聊天一样搜索,搜遍4000万医学文献。AI智能推荐,让科研检索更轻松。

立即免费搜索

文件翻译

保留排版,准确专业,支持PDF/Word/PPT等文件格式,支持 12+语言互译。

免费翻译文档

深度研究

AI帮你快速写综述,25分钟生成高质量综述,智能提取关键信息,辅助科研写作。

立即免费体验

中间型链球菌所致多灶性脑脓肿

Multifocal Brain Abscesses Due to Streptococcus intermedius.

作者信息

Isern Raul D, Toth Stephen, Goldfarb Mikhail, Ahmad Faran

机构信息

Division of Infectious Diseases, Creighton University School of Medicine, Omaha, USA.

Division of Internal Medicine, Creighton University School of Medicine, Omaha, USA.

出版信息

Cureus. 2022 Dec 21;14(12):e32797. doi: 10.7759/cureus.32797. eCollection 2022 Dec.

DOI:10.7759/cureus.32797
PMID:36694540
原文链接:https://pmc.ncbi.nlm.nih.gov/articles/PMC9858951/
Abstract

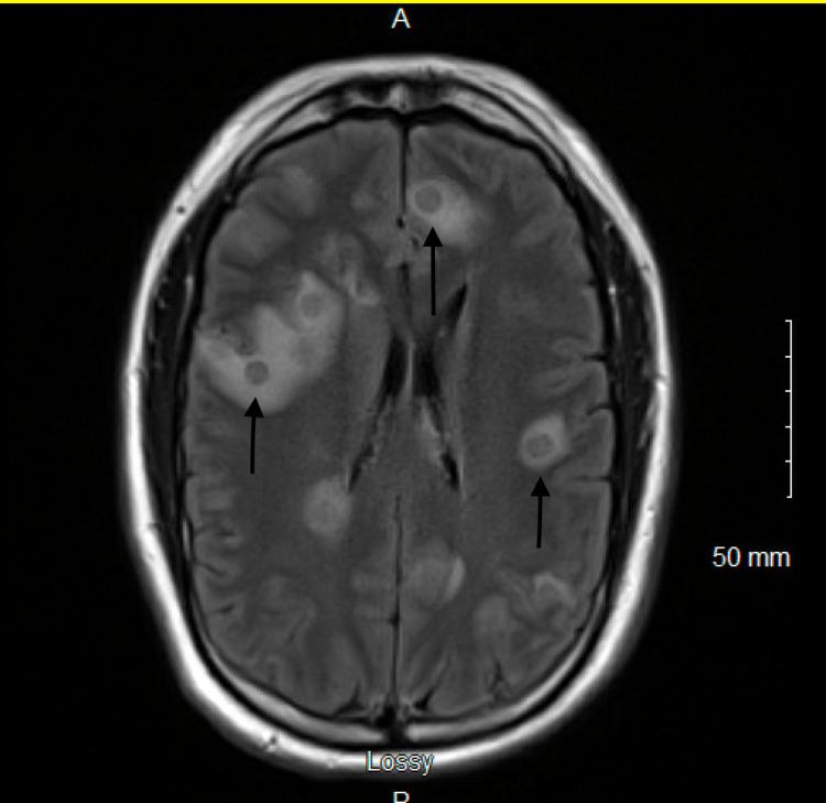
Brain abscess is a life-threatening illness that occurs when an intracerebral infection leads to cerebritis and subsequent pus formation within a well-vascularized capsule. While streptococci (aerobic, anaerobic, and microaerophilic) are the most common bacteria isolated, its presentation as multifocal brain abscesses is rarely described. In this report, we describe a 43-year-old male patient who presented to the emergency department due to progressive lethargy and low-grade fever of seven days worsening. Upon further evaluation, the patient was found to have multiple brain abscesses secondary to confirmed by the culture of stereotactic aspiration of brain collection. This case underlines the importance of considering as a cause of multifocal brain abscesses.

摘要

脑脓肿是一种危及生命的疾病,当脑内感染导致脑炎并随后在血管丰富的包膜内形成脓液时就会发生。虽然链球菌(需氧菌、厌氧菌和微需氧菌)是最常分离出的细菌,但其表现为多灶性脑脓肿的情况很少被描述。在本报告中,我们描述了一名43岁男性患者,他因进行性嗜睡和持续7天加重的低热而到急诊科就诊。经过进一步评估,通过对脑采集物进行立体定向抽吸培养确诊,该患者继发于[此处原文缺失相关内容]的多个脑脓肿。本病例强调了将[此处原文缺失相关内容]视为多灶性脑脓肿病因的重要性。

https://cdn.ncbi.nlm.nih.gov/pmc/blobs/166b/9858951/0afd5bd535ff/cureus-0014-00000032797-i02.jpg
https://cdn.ncbi.nlm.nih.gov/pmc/blobs/166b/9858951/f479543e7da9/cureus-0014-00000032797-i01.jpg
https://cdn.ncbi.nlm.nih.gov/pmc/blobs/166b/9858951/0afd5bd535ff/cureus-0014-00000032797-i02.jpg
https://cdn.ncbi.nlm.nih.gov/pmc/blobs/166b/9858951/f479543e7da9/cureus-0014-00000032797-i01.jpg
https://cdn.ncbi.nlm.nih.gov/pmc/blobs/166b/9858951/0afd5bd535ff/cureus-0014-00000032797-i02.jpg

相似文献

1
Multifocal Brain Abscesses Due to Streptococcus intermedius.中间型链球菌所致多灶性脑脓肿
Cureus. 2022 Dec 21;14(12):e32797. doi: 10.7759/cureus.32797. eCollection 2022 Dec.
2
Expressive aphasia caused by brain abscess in an immunocompetent patient.免疫功能正常的患者因脑脓肿导致表达性失语。
Int Med Case Rep J. 2017 Jan 23;10:25-30. doi: 10.2147/IMCRJ.S125684. eCollection 2017.
3
[Bifrontal cerebritis and brain abscess caused by Sreptococcus anginosus group: report of one case].咽峡炎链球菌群引起的双侧额叶脑炎和脑脓肿:1例报告
Rev Med Chil. 2013 Jan;141(1):109-13. doi: 10.4067/S0034-98872013000100015.
4
Esophageal Perforation Presenting Initially as Multiple Brain Abscesses Secondary to .食管穿孔最初表现为多发性脑脓肿继发于。
J Investig Med High Impact Case Rep. 2024 Jan-Dec;12:23247096241239572. doi: 10.1177/23247096241239572.
5
Streptococcus intermedius: From a Normal Oral Commensal to a Life-Threatening Organism.中间型链球菌:从口腔正常共生菌到危及生命的病原体
Cureus. 2023 Dec 18;15(12):e50708. doi: 10.7759/cureus.50708. eCollection 2023 Dec.
6
[Meningitis and brain abscess caused by Streptococcus intermedius in a patient infected with HIV-1].[一名感染HIV-1的患者发生中间型链球菌引起的脑膜炎和脑脓肿]
An Med Interna. 2005 Jun;22(6):279-82. doi: 10.4321/s0212-71992005000600006.
7
Streptococcus Intermedius Brain and Diverticular Abscesses After Dental Manipulation: A Case Report.牙科操作后中间型链球菌引起的脑脓肿和憩室脓肿:一例报告
Cureus. 2018 Jan 13;10(1):e2061. doi: 10.7759/cureus.2061.
8
Streptococcus intermedius causing infective endocarditis and abscesses: a report of three cases and review of the literature.中间型链球菌致感染性心内膜炎及脓肿:3例报告并文献复习
BMC Infect Dis. 2008 Nov 10;8:154. doi: 10.1186/1471-2334-8-154.
9
[Streptococcus intermedius: a rare cause of brain abscess in children].[中间型链球菌:儿童脑脓肿的罕见病因]
Arch Pediatr. 2013 Mar;20(3):282-5. doi: 10.1016/j.arcped.2013.01.002. Epub 2013 Jan 30.
10
Splenic abscess and multiple brain abscesses caused by Streptococcus intermedius in a young healthy man.一名年轻健康男性因中间型链球菌感染导致脾脓肿和多发性脑脓肿。
Proc (Bayl Univ Med Cent). 2011 Jul;24(3):195-9. doi: 10.1080/08998280.2011.11928714.

引用本文的文献

1
A Report of Two Cases of Meningoencephalitis Caused by .两例由……引起的脑膜脑炎报告
Infect Drug Resist. 2024 May 31;17:2189-2198. doi: 10.2147/IDR.S438615. eCollection 2024.
2
Esophageal Perforation Presenting Initially as Multiple Brain Abscesses Secondary to .食管穿孔最初表现为多发性脑脓肿继发于。
J Investig Med High Impact Case Rep. 2024 Jan-Dec;12:23247096241239572. doi: 10.1177/23247096241239572.
3
Streptococcus intermedius: From a Normal Oral Commensal to a Life-Threatening Organism.中间型链球菌:从口腔正常共生菌到危及生命的病原体

本文引用的文献

1
[Brain Abscess].[脑脓肿]
No Shinkei Geka. 2022 Sep;50(5):933-941. doi: 10.11477/mf.1436204652.
2
Multifocal brain abscesses caused by invasive : A case report.侵袭性多灶性脑脓肿:一例报告。
Front Neurol. 2022 Aug 12;13:893627. doi: 10.3389/fneur.2022.893627. eCollection 2022.
3
Clinical Characteristics of Infections Caused by Streptococcus Anginosus Group.咽峡炎链球菌群感染的临床特征。
Cureus. 2023 Dec 18;15(12):e50708. doi: 10.7759/cureus.50708. eCollection 2023 Dec.
Sci Rep. 2020 Jun 3;10(1):9032. doi: 10.1038/s41598-020-65977-z.
4
Brain abscess: an overview.脑脓肿:概述。
Int J Surg. 2011;9(2):136-44. doi: 10.1016/j.ijsu.2010.11.005. Epub 2010 Nov 16.