Suppr超能文献

妊娠期自发性单侧肾上腺出血

Spontaneous Unilateral Adrenal Hemorrhage in Pregnancy.

作者信息

Kadhem Salam, Ebrahem Rawaa, Munguti Cyrus, Mortada Rami

机构信息

Internal Medicine, University of Kansas School of Medicine-Wichita.

Endocrinology, University of Kansas School of Medicine-Wichita.

出版信息

Cureus. 2017 Jan 13;9(1):e977. doi: 10.7759/cureus.977.

Abstract

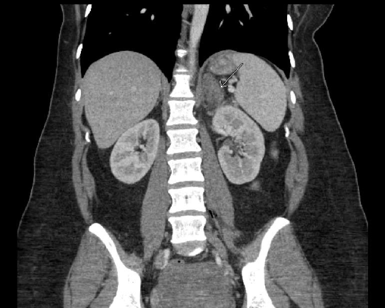
Spontaneous adrenal hemorrhage (SAH) is a serious medical condition associated with variable clinical presentation depending on the extent of the hemorrhage. Pregnancy-induced adrenal hemorrhage is poorly understood. A low cortisol level in the peripartum period with radiological findings is sufficient to establish the diagnosis. Prompt hormone replacement and supportive care to ensure good clinical outcomes is crucial. Due to the potentially life-threatening complications, physicians should have a high suspicion for adrenal hemorrhage when they evaluate patients with hypotension, fatigue, and abdominal pain during the peripartum period.

摘要

自发性肾上腺出血(SAH)是一种严重的医学病症,其临床表现因出血程度而异。妊娠引起的肾上腺出血目前了解甚少。围产期皮质醇水平低并伴有影像学检查结果足以确诊。及时进行激素替代和支持治疗以确保良好的临床结局至关重要。由于存在潜在的危及生命的并发症,医生在评估围产期出现低血压、疲劳和腹痛的患者时,应高度怀疑肾上腺出血。

https://cdn.ncbi.nlm.nih.gov/pmc/blobs/b8aa/5298198/361dac23ecf6/cureus-0009-00000000977-i01.jpg

文献AI研究员

20分钟写一篇综述,助力文献阅读效率提升50倍。

立即体验

用中文搜PubMed

大模型驱动的PubMed中文搜索引擎

马上搜索

文档翻译

学术文献翻译模型,支持多种主流文档格式。

立即体验