Suppr超能文献

妊娠期自发性肾上腺血肿:一例报告

Spontaneous adrenal hematoma in pregnancy: A case report.

作者信息

Yang Ling, Zhu Yu-Chun, Liu Rong-Bo

机构信息

Department of Radiology.

Department of Urology, West China Hospital of Sichuan University, Chengdu, Sichuan 610041, China.

出版信息

Medicine (Baltimore). 2018 Nov;97(47):e13329. doi: 10.1097/MD.0000000000013329.

Abstract

RATIONAL

Spontaneous adrenal hematoma in pregnancy is a very rare condition. Herein we present an additional rare case of unilateral spontaneous adrenal hematoma in a pregnant woman, aiming to share this experience and summarize the signal characteristics of simple adrenal hematoma in magnetic resonance imaging (MRI).

PATIENT CONCERNS

A 28-year old pregnant woman was referred to our hospital with a vague paroxysmal left-side back pain at 17 weeks of gestation.

DIAGNOSIS

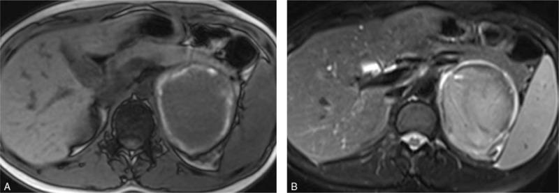
MR scan of the abdomen revealed an 8.1 × 7.7 × 6.8 cm round mass in the left adrenal region, which showed a rim of acute hemorrhage signal. Due to the stable condition of the patient and fetus, she was admitted for observation. Repeat MR scan was performed a month later, and it showed a stable mass with marginal subacute bleeding signal.

INTERVENTIONS

Laparoscope excision of the hematoma was performed.

OUTCOMES

Simple adrenal hematoma was confirmed by pathological examinations. And the patient was discharged 3 days later with normal renal and adrenal functions.

LESSONS

The most important characteristic of adrenal hematoma is the high-signal rim on T1-weighted MR images, and the clinicians should make individualized treatment plan for every patient encountered in the future who might have different clinical conditions.

摘要

理由

妊娠期自发性肾上腺血肿是一种非常罕见的病症。在此,我们报告一例孕妇单侧自发性肾上腺血肿的罕见病例,旨在分享该经验并总结磁共振成像(MRI)中单纯肾上腺血肿的信号特征。

患者情况

一名28岁孕妇,孕17周时因左侧阵发性隐痛转诊至我院。

诊断

腹部磁共振扫描显示左肾上腺区有一8.1×7.7×6.8厘米的圆形肿块,周边有急性出血信号。鉴于患者及胎儿情况稳定,收住入院观察。一个月后复查磁共振扫描,显示肿块稳定,周边有亚急性出血信号。

干预措施

行腹腔镜下血肿切除术。

结果

病理检查确诊为单纯肾上腺血肿。患者术后3天出院,肾功能和肾上腺功能正常。

经验教训

肾上腺血肿最重要的特征是在T1加权磁共振图像上有高信号边缘,临床医生应对未来遇到的可能有不同临床情况的每位患者制定个体化治疗方案。

https://cdn.ncbi.nlm.nih.gov/pmc/blobs/eb62/6392740/1060c120d2b2/medi-97-e13329-g001.jpg

文献AI研究员

20分钟写一篇综述,助力文献阅读效率提升50倍。

立即体验

用中文搜PubMed

大模型驱动的PubMed中文搜索引擎

马上搜索

文档翻译

学术文献翻译模型,支持多种主流文档格式。

立即体验