Gatto Luana Antunes Maranha, Mathias Roger, Tuma Rogério, Abdalla Ricardo, de Aguiar Paulo Henrique Pires
Department of Neurosurgery and Interventional Neuroradiology, University Hospital Cajuru, Curitiba, PR, Brazil.
Department of Neurosurgery of Bragança University, Division of Neurosurgery, Sirio LIbanês Hospital, São Paulo, SP, Brazil.
Surg Neurol Int. 2016 Dec 28;7(Suppl 44):S1142-S1146. doi: 10.4103/2152-7806.196926. eCollection 2016.
Ventriculoperitoneal (VP) shunt is a day-to-day procedure performed by a neurosurgeon. The most frequent associated complications are obstructive and infectious. Although rare, there are well-reported complications related to the poor positioning of the distal catheter, with perforation of organs and tissues. Still rarer are the complications related to the migration of this catheter.
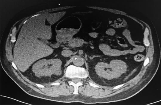
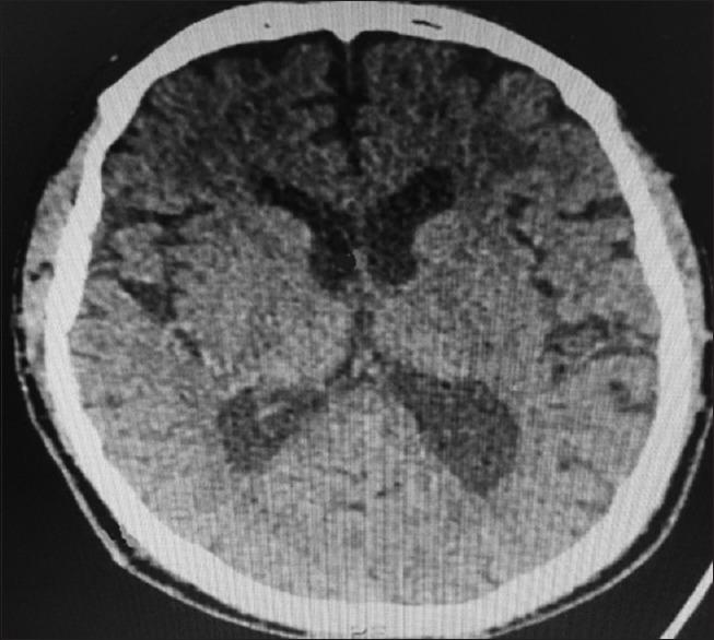
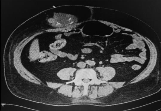
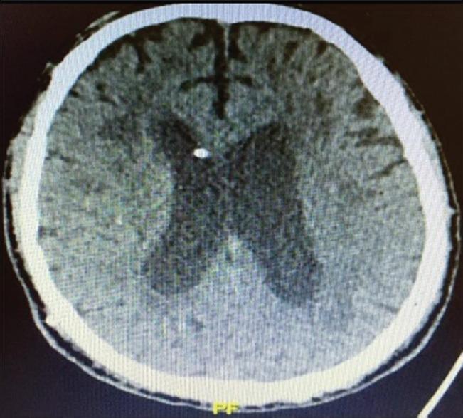
We describe an atypical case of VP shunt postoperative by normal pressure hydrocephalus. After well-documented proper positioning of the distal catheter into the intraperitoneal cavity, it protruded into the subcutaneous space. Even on a new documented satisfactory abdominal tomography, this catheter migrated back again to the subcutaneous tissue.
We did not find plausible explanation for this rare event.
脑室腹腔(VP)分流术是神经外科医生日常进行的一种手术。最常见的相关并发症是梗阻性和感染性并发症。虽然罕见,但也有关于远端导管位置不当导致器官和组织穿孔的并发症报道。与该导管迁移相关的并发症更为罕见。
我们描述了一例常压性脑积水VP分流术后的非典型病例。在有充分记录证明远端导管正确置入腹腔后,它却突出到皮下间隙。即使在新的记录显示腹部断层扫描结果令人满意的情况下,该导管再次迁移回皮下组织。
我们没有找到对这一罕见事件的合理的解释。