Suppr超能文献

内镜下猪尾塑料支架置入术后迟发性严重胆道出血

Late-onset severe biliary bleeding after endoscopic pigtail plastic stent insertion.

作者信息

Yasuda Muneji, Sato Hideki, Koyama Yuki, Sakakida Tomoki, Kawakami Takumi, Nishimura Takeshi, Fujii Hideki, Nakatsugawa Yoshikazu, Yamada Shinya, Tomatsuri Naoya, Okuyama Yusuke, Kimura Hiroyuki, Ito Takaaki, Morishita Hiroyuki, Yoshida Norimasa

机构信息

Muneji Yasuda, Hideki Sato, Yuki Koyama, Tomoki Sakakida, Takumi Kawakami, Takeshi Nishimura, Hideki Fujii, Yoshikazu Nakatsugawa, Shinya Yamada, Naoya Tomatsuri, Yusuke Okuyama, Hiroyuki Kimura, Norimasa Yoshida, Department of Gastroenterology and Hepatology, Japanese Red Cross Kyoto Daiichi Hospital, Kyoto 605-0981, Japan.

出版信息

World J Gastroenterol. 2017 Jan 28;23(4):735-739. doi: 10.3748/wjg.v23.i4.735.

Abstract

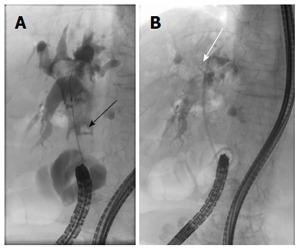
Here, we report our experience with a case of severe biliary bleeding due to a hepatic arterial pseudoaneurysm that had developed 1 year after endoscopic biliary plastic stent insertion. The patient, a 78-year-old woman, presented with hematemesis and obstructive jaundice. Ruptured hepatic arterial pseudoaneurysm was diagnosed, which was suspected to have been caused by long-term placement of an endoscopic retrograde biliary drainage (ERBD) stent. This episode of biliary bleeding was successfully treated by transarterial embolization (TAE). Pseudoaneurysm leading to hemobilia is a rare but potentially fatal complication in patients with long-term placement of ERBD. TAE is a minimally invasive procedure that offers effective treatment for biliary bleeding.

摘要

在此,我们报告一例因肝动脉假性动脉瘤导致严重胆道出血的病例,该假性动脉瘤在内镜下胆道塑料支架置入术后1年形成。患者为一名78岁女性,表现为呕血和梗阻性黄疸。诊断为破裂的肝动脉假性动脉瘤,怀疑是由内镜逆行胆道引流(ERBD)支架长期放置引起的。通过经动脉栓塞术(TAE)成功治疗了这例胆道出血。导致胆道出血的假性动脉瘤在长期放置ERBD的患者中是一种罕见但可能致命的并发症。TAE是一种微创手术,可为胆道出血提供有效的治疗。

https://cdn.ncbi.nlm.nih.gov/pmc/blobs/05d1/5292349/dfd3b2c9699d/WJG-23-735-g001.jpg

相似文献

1
Late-onset severe biliary bleeding after endoscopic pigtail plastic stent insertion.
World J Gastroenterol. 2017 Jan 28;23(4):735-739. doi: 10.3748/wjg.v23.i4.735.
2
Recurrent Bleeding from a Hepatic Artery Pseudoaneurysm after Biliary Stent Placement.
Intern Med. 2018 Jan 1;57(1):49-52. doi: 10.2169/internalmedicine.8983-17. Epub 2017 Oct 16.
4
Massive hemobilia following plastic stent removal in common bile duct cancer associated with primary sclerosing cholangitis (with video).
Clin J Gastroenterol. 2019 Feb;12(1):46-51. doi: 10.1007/s12328-018-0888-7. Epub 2018 Jul 28.
5
A rare incidence of a hepatic artery pseudoaneurysm following plastic biliary stent insertion.
Clin J Gastroenterol. 2024 Apr;17(2):352-355. doi: 10.1007/s12328-024-01920-3. Epub 2024 Feb 16.
8
[Massive biliary hemorrhage due to rupture of pseudoaneurysm after endoscopic biliary plastic stenting for pancreatic cancer].
Nihon Shokakibyo Gakkai Zasshi. 2019;116(9):754-763. doi: 10.11405/nisshoshi.116.754.
9
Hepatic artery pseudoaneurysm associated with plastic biliary stent.
Yonsei Med J. 2007 Jun 30;48(3):546-8. doi: 10.3349/ymj.2007.48.3.546.
10
Right hepatic artery pseudoaneurysm: rare complication of plastic biliary stent insertion.
Endoscopy. 2011;43 Suppl 2 UCTN:E396. doi: 10.1055/s-0030-1256942. Epub 2012 Jan 24.

引用本文的文献

2
Pseudoaneurysms Post-biliary Stenting: A Comprehensive Literature Review.
Dig Dis Sci. 2025 Apr 2. doi: 10.1007/s10620-025-09017-8.
3
Hemobilia due to hepatic artery pseudoaneurysm following biliary pigtail stent placement.
Arch Clin Cases. 2025 Mar 25;12(1):34-36. doi: 10.22551/2025.46.1201.10309. eCollection 2025.
4
Reduction of bleeding by cabozantinib in metastatic renal cell carcinoma with hereditary hemorrhagic telangiectasia.
Int Cancer Conf J. 2024 Oct 1;14(1):17-20. doi: 10.1007/s13691-024-00727-w. eCollection 2025 Jan.
5
Hepatic artery pseudoaneurysm-the Mayo Clinic experience and literature review.
Front Med (Lausanne). 2024 Dec 10;11:1484966. doi: 10.3389/fmed.2024.1484966. eCollection 2024.
6
A rare incidence of a hepatic artery pseudoaneurysm following plastic biliary stent insertion.
Clin J Gastroenterol. 2024 Apr;17(2):352-355. doi: 10.1007/s12328-024-01920-3. Epub 2024 Feb 16.
7
Delayed Hemobilia: A Rare Case of Biliary Bleeding One Year After Metallic Stent Placement.
Cureus. 2023 Oct 27;15(10):e47790. doi: 10.7759/cureus.47790. eCollection 2023 Oct.
8
Left hepatic artery pseudoaneurysm complicating endoscopic retrograde cholangiopancreatography: A case report.
World J Clin Cases. 2023 Aug 26;11(24):5835-5839. doi: 10.12998/wjcc.v11.i24.5835.
10
Rupture of Pseudoaneurysm after Biliary Metallic Stent Placement.
Intern Med. 2019 May 15;58(10):1453-1457. doi: 10.2169/internalmedicine.1862-18. Epub 2019 Jan 10.

本文引用的文献

2
Hepatic artery pseudoaneurysm after endoscopic biliary stenting for bile duct cancer.
World J Radiol. 2012 Mar 28;4(3):115-20. doi: 10.4329/wjr.v4.i3.115.
3
Right hepatic artery pseudoaneurysm: rare complication of plastic biliary stent insertion.
Endoscopy. 2011;43 Suppl 2 UCTN:E396. doi: 10.1055/s-0030-1256942. Epub 2012 Jan 24.
4
Hepatic artery pseudoaneurysm associated with plastic biliary stent.
Yonsei Med J. 2007 Jun 30;48(3):546-8. doi: 10.3349/ymj.2007.48.3.546.
5
Delayed massive hemobilia after biliary stenting.
Endoscopy. 2003 Nov;35(11):976-7. doi: 10.1055/s-2003-43480.
6
Haemobilia.
Br J Surg. 2001 Jun;88(6):773-86. doi: 10.1046/j.1365-2168.2001.01756.x.
8
Hepatic artery angiography and embolization for hemobilia following laparoscopic cholecystectomy.
Cardiovasc Intervent Radiol. 1999 Jan;22(1):20-4. doi: 10.1007/s002709900323.
9
Massive hematobilia after extraction of plastic biliary endoprosthesis.
J Clin Gastroenterol. 1997 Dec;25(4):706. doi: 10.1097/00004836-199712000-00039.
10
Intrahepatic vascular lesions following nonsurgical percutaneous transhepatic bile duct intubation.
Gastrointest Radiol. 1980 Apr 30;5(2):127-35. doi: 10.1007/BF01888616.

文献AI研究员

20分钟写一篇综述,助力文献阅读效率提升50倍。

立即体验

用中文搜PubMed

大模型驱动的PubMed中文搜索引擎

马上搜索

文档翻译

学术文献翻译模型,支持多种主流文档格式。

立即体验