• 文献检索
  • 文档翻译
  • 深度研究
  • 学术资讯
  • Suppr Zotero 插件Zotero 插件
  • 邀请有礼
  • 套餐&价格
  • 历史记录
应用&插件
Suppr Zotero 插件Zotero 插件浏览器插件Mac 客户端Windows 客户端微信小程序
定价
高级版会员购买积分包购买API积分包
服务
文献检索文档翻译深度研究API 文档MCP 服务
关于我们
关于 Suppr公司介绍联系我们用户协议隐私条款
关注我们

Suppr 超能文献

核心技术专利:CN118964589B侵权必究
粤ICP备2023148730 号-1Suppr @ 2026

文献检索

告别复杂PubMed语法,用中文像聊天一样搜索,搜遍4000万医学文献。AI智能推荐,让科研检索更轻松。

立即免费搜索

文件翻译

保留排版,准确专业,支持PDF/Word/PPT等文件格式,支持 12+语言互译。

免费翻译文档

深度研究

AI帮你快速写综述,25分钟生成高质量综述,智能提取关键信息,辅助科研写作。

立即免费体验

两例因脑灌注不对称改善的口腔躯体妄想症病例报告

Two Cases of Oral Somatic Delusions Ameliorated With Brain Perfusion Asymmetry: A Case Report.

作者信息

Umezaki Yojiro, Uezato Akihito, Toriihara Akira, Nishikawa Toru, Toyofuku Akira

机构信息

*Psychosomatic Dentistry Clinic, Dental Hospital and Departments of †Psychiatry and Behavioral Sciences, ‡Diagnostic Radiology and Nuclear Medicine, and §Psychosomatic Dentistry, Graduate School of Medical and Dental Sciences, Tokyo Medical and Dental University, Tokyo, Japan.

出版信息

Clin Neuropharmacol. 2017 Mar/Apr;40(2):97-99. doi: 10.1097/WNF.0000000000000207.

DOI:10.1097/WNF.0000000000000207
PMID:28225385
原文链接:https://pmc.ncbi.nlm.nih.gov/articles/PMC5349303/
Abstract

BACKGROUND

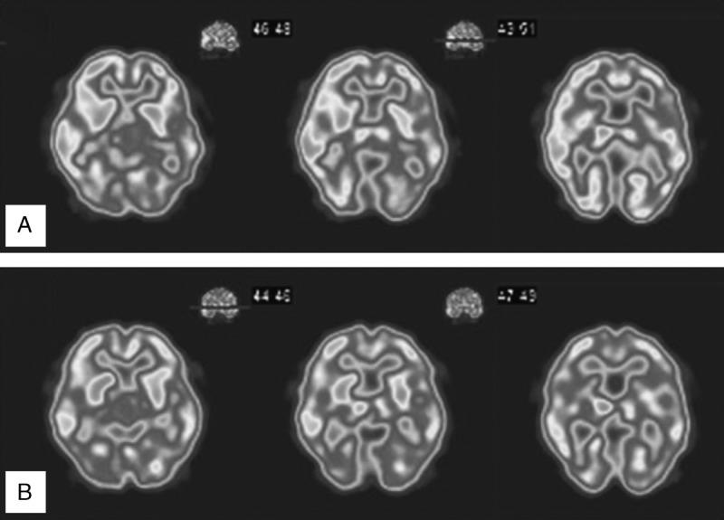
Oral cenesthopathy is the complaint of abnormal oral sensation where no underlying organic cause can be identified. It is also called oral dysesthesia or oral somatic delusion and classified as delusional disorder, somatic type. The patients with oral cenesthopathy show right > left asymmetric regional cerebral blood flow (rCBF) in the broad brain region. However, the studies scrutinizing the rCBF change before and after the successful treatment are still a few so far.

CASE

We present 2 cases of oral cenesthopathy, who responded well to aripiprazole. The asymmetric rCBF patterns were attenuated after successful treatment in both cases.

CONCLUSIONS

We found a marked improvement of oral cenesthopathy with aripiprazole. It is suggested that right > left rCBF asymmetry in the frontal and temporal lobes and thalamus, and the dopaminergic and serotonergic dysfunctions are involved in the pathology of oral cenesthopathy.

摘要

背景

口腔感觉异常是指在无法确定潜在器质性病因的情况下出现的口腔异常感觉。它也被称为口腔感觉障碍或口腔躯体妄想,归类为妄想障碍,躯体型。口腔感觉异常患者在广泛的脑区表现出右侧>左侧不对称的局部脑血流(rCBF)。然而,迄今为止,对成功治疗前后rCBF变化进行仔细研究的仍为数不多。

病例

我们报告2例口腔感觉异常患者,他们对阿立哌唑反应良好。在两例患者成功治疗后,不对称的rCBF模式均有所减轻。

结论

我们发现阿立哌唑可显著改善口腔感觉异常。提示额叶、颞叶和丘脑的右侧>左侧rCBF不对称以及多巴胺能和5-羟色胺能功能障碍与口腔感觉异常的病理机制有关。

https://cdn.ncbi.nlm.nih.gov/pmc/blobs/140f/5349303/59c9339e442e/wnf-40-97-g002.jpg
https://cdn.ncbi.nlm.nih.gov/pmc/blobs/140f/5349303/d3d1b77ceddf/wnf-40-97-g001.jpg
https://cdn.ncbi.nlm.nih.gov/pmc/blobs/140f/5349303/59c9339e442e/wnf-40-97-g002.jpg
https://cdn.ncbi.nlm.nih.gov/pmc/blobs/140f/5349303/d3d1b77ceddf/wnf-40-97-g001.jpg
https://cdn.ncbi.nlm.nih.gov/pmc/blobs/140f/5349303/59c9339e442e/wnf-40-97-g002.jpg

相似文献

1
Two Cases of Oral Somatic Delusions Ameliorated With Brain Perfusion Asymmetry: A Case Report.两例因脑灌注不对称改善的口腔躯体妄想症病例报告
Clin Neuropharmacol. 2017 Mar/Apr;40(2):97-99. doi: 10.1097/WNF.0000000000000207.
2
Brain perfusion asymmetry in patients with oral somatic delusions.患者口腔躯体妄想的脑灌注不对称性。
Eur Arch Psychiatry Clin Neurosci. 2013 Jun;263(4):315-23. doi: 10.1007/s00406-013-0390-7. Epub 2013 Jan 29.
3
Improvement of asymmetrical temporal blood flow in refractory oral somatic delusion after successful electroconvulsive therapy.难治性口腔躯体妄想患者经电抽搐治疗后,非对称性颞叶血流得到改善。
J ECT. 2012 Mar;28(1):50-1. doi: 10.1097/YCT.0b013e31822e581e.
4
Extremely grotesque somatic delusions in a patient of delusional disorder and its response to risperidone treatment.一名妄想性障碍患者出现的极其怪诞的躯体妄想及其对利培酮治疗的反应。
Gen Hosp Psychiatry. 2009 Mar-Apr;31(2):185-6. doi: 10.1016/j.genhosppsych.2008.07.004. Epub 2008 Sep 2.
5
Comparison of cerebral blood flow in oral somatic delusion in patients with and without a history of depression: a comparative case series.有或无抑郁病史的口腔躯体妄想症患者脑血流量的比较:一项比较病例系列研究。
BMC Psychiatry. 2015 Mar 10;15:42. doi: 10.1186/s12888-015-0422-0.
6
Classification of delusions in Alzheimer's disease and their neural correlates.阿尔茨海默病妄想的分类及其神经相关性。
Psychogeriatrics. 2012 Sep;12(3):200-10. doi: 10.1111/j.1479-8301.2012.00427.x.
7
Oral cenesthopathy.口腔本体感觉障碍
Biopsychosoc Med. 2016 Jun 10;10:20. doi: 10.1186/s13030-016-0071-7. eCollection 2016.
8
A case of delusional disorder, somatic type with remarkable improvement of clinical symptoms and single photon emission computed tomograpy findings following modified electroconvulsive therapy.一例躯体型妄想障碍患者,在改良电休克治疗后临床症状及单光子发射计算机断层扫描结果显著改善。
Prog Neuropsychopharmacol Biol Psychiatry. 2003 Aug;27(5):881-4. doi: 10.1016/S0278-5846(03)00118-0.
9
Cerebral blood flow changes in very-late-onset schizophrenia-like psychosis with catatonia before and after successful treatment.非常晚发性精神分裂样精神病伴紧张症患者在成功治疗前后的大脑血流变化。
Psychiatry Clin Neurosci. 2011 Oct;65(6):600-3. doi: 10.1111/j.1440-1819.2011.02257.x.
10
Changes in regional cerebral blood flow in the right cortex homologous to left language areas are directly affected by left hemispheric damage in aphasic stroke patients: evaluation by Tc-ECD SPECT and novel analytic software.失语性脑卒中患者左侧半球损伤直接影响右侧皮质与左侧语言区同源区的局部脑血流变化:Tc-ECD SPECT 及新型分析软件评估
Eur J Neurol. 2010 Mar;17(3):461-9. doi: 10.1111/j.1468-1331.2009.02849.x. Epub 2009 Nov 17.

引用本文的文献

1
Case report: Atomoxetine improves chronic pain with comorbid post-traumatic stress disorder and attention deficit hyperactivity disorder.病例报告:托莫西汀改善合并创伤后应激障碍和注意缺陷多动障碍的慢性疼痛。
Front Psychiatry. 2023 Aug 7;14:1221694. doi: 10.3389/fpsyt.2023.1221694. eCollection 2023.
2
Case report: Remission of chronic low back pain and oral dysesthesia comorbid with attention deficit/hyperactivity disorder by treatment with atomoxetine and pramipexole.病例报告:使用托莫西汀和普拉克索治疗缓解了与注意力缺陷/多动障碍共病的慢性腰痛和口腔感觉异常。
Front Pain Res (Lausanne). 2023 Jun 5;4:1159134. doi: 10.3389/fpain.2023.1159134. eCollection 2023.
3

本文引用的文献

1
Oral cenesthopathy.口腔本体感觉障碍
Biopsychosoc Med. 2016 Jun 10;10:20. doi: 10.1186/s13030-016-0071-7. eCollection 2016.
2
A review of recent case reports of cenesthopathy in Japan.对日本近期本体感觉障碍病例报告的综述。
Psychogeriatrics. 2013 Sep;13(3):196-8. doi: 10.1111/psyg.12015.
3
Comparison of cerebral blood flow in oral somatic delusion in patients with and without a history of depression: a comparative case series.有或无抑郁病史的口腔躯体妄想症患者脑血流量的比较:一项比较病例系列研究。
Dopamine, Serotonin, and Structure/Function Brain Defects as Biological Bases for Treatment Response in Delusional Disorder: A Systematic Review of Cases and Cohort Studies.
多巴胺、血清素与大脑结构/功能缺陷作为妄想症治疗反应的生物学基础:病例与队列研究的系统综述
Behav Sci (Basel). 2021 Oct 19;11(10):141. doi: 10.3390/bs11100141.
4
Improvement of Somatic Delusions with Altered Regional Cerebral Blood Flow Following Electroconvulsive Therapy in a Patient with Schizoaffective Disorder.分裂情感性障碍患者经电休克治疗后,躯体妄想改善与局部脑血流改变
Am J Case Rep. 2021 Mar 16;22:e929800. doi: 10.12659/AJCR.929800.
5
Clinical characteristics and course of oral somatic delusions: a retrospective chart review of 606 cases in 5 years.口腔躯体妄想的临床特征与病程:一项对5年中606例病例的回顾性病历审查
Neuropsychiatr Dis Treat. 2018 Aug 13;14:2057-2065. doi: 10.2147/NDT.S167527. eCollection 2018.
6
Prefrontal modulation during chewing performance in occlusal dysesthesia patients: a functional near-infrared spectroscopy study.咀嚼运动中感觉异常患者前额叶的调制:一项功能近红外光谱研究。
Clin Oral Investig. 2019 Mar;23(3):1181-1196. doi: 10.1007/s00784-018-2534-7. Epub 2018 Jul 2.
BMC Psychiatry. 2015 Mar 10;15:42. doi: 10.1186/s12888-015-0422-0.
4
Oral Dysesthesia Rating Scale: a tool for assessing psychosomatic symptoms in oral regions.口腔感觉异常评定量表:一种评估口腔区域身心症状的工具。
BMC Psychiatry. 2014 Dec 21;14:1696. doi: 10.1186/s12888-014-0359-8.
5
Beneficial effect of low-dose mirtazapine in acute aripiprazole-induced akathisia.低剂量米氮平对急性阿立哌唑所致静坐不能的有益作用。
Int Clin Psychopharmacol. 2014 Sep;29(5):296-8. doi: 10.1097/YIC.0000000000000035.
6
Brain perfusion asymmetry in patients with oral somatic delusions.患者口腔躯体妄想的脑灌注不对称性。
Eur Arch Psychiatry Clin Neurosci. 2013 Jun;263(4):315-23. doi: 10.1007/s00406-013-0390-7. Epub 2013 Jan 29.
7
Improvement of asymmetrical temporal blood flow in refractory oral somatic delusion after successful electroconvulsive therapy.难治性口腔躯体妄想患者经电抽搐治疗后,非对称性颞叶血流得到改善。
J ECT. 2012 Mar;28(1):50-1. doi: 10.1097/YCT.0b013e31822e581e.
8
Extremely grotesque somatic delusions in a patient of delusional disorder and its response to risperidone treatment.一名妄想性障碍患者出现的极其怪诞的躯体妄想及其对利培酮治疗的反应。
Gen Hosp Psychiatry. 2009 Mar-Apr;31(2):185-6. doi: 10.1016/j.genhosppsych.2008.07.004. Epub 2008 Sep 2.
9
Delusional disorder, somatic type treated with aripiprazole--mirtazapine combination.阿立哌唑与米氮平联合治疗躯体型妄想障碍
J Psychopharmacol. 2008 Sep;22(7):812-4. doi: 10.1177/0269881107082905. Epub 2008 Feb 28.
10
Differential effects of aripiprazole on D(2), 5-HT(2), and 5-HT(1A) receptor occupancy in patients with schizophrenia: a triple tracer PET study.阿立哌唑对精神分裂症患者D(2)、5-HT(2)和5-HT(1A)受体占有率的差异效应:一项三重示踪正电子发射断层扫描研究
Am J Psychiatry. 2007 Sep;164(9):1411-7. doi: 10.1176/appi.ajp.2007.06091479.