Suppr超能文献

免疫接种后和病毒感染后大疱性类天疱疮三例报告:探寻确切诱因

Three case reports of post immunization and post viral Bullous Pemphigoid: looking for the right trigger.

作者信息

Baroero Luca, Coppo Paola, Bertolino Laura, Maccario Stefano, Savino Francesco

机构信息

Dipartimento di Pediatria 1, Ospedale Infantile Regina Margherita, Regina Margherita Children's Hospital, Citta' della Salute e della Scienza di Torino, Piazza Polonia 94, 10126, Turin, Italy.

Dipartimento di scienze mediche, Università degli studi di Torino, Torino, Italy.

出版信息

BMC Pediatr. 2017 Feb 23;17(1):60. doi: 10.1186/s12887-017-0813-0.

Abstract

BACKGROUND

Bullous pemphigoid (BP) is a blistering skin disorder infrequent in infancy and rarely reported in medical literature.

CASE PRESENTATION

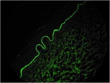
Here we describe three cases of BP which were referred to our department in the last 15 years. Two of them developed an eruption of bullous lesions just a few days after vaccination for diphtheria, tetanus, pertussis, poliomyelitis, hepatitis B and Haemophilus influenzae B. The third patient developed the same blistering lesions shortly after herpetic stomatitis. In all three cases, clinical diagnosis was confirmed by histological examination which showed subepidermal bullae with a dermal inflammatory infiltrate, and direct immunofluorescence of perilesional skin showed linear IgG and C3 deposits along the basement membrane zone. Immunoblot assay was positive for BP antigen 180. Treatment with oral prednisone was instituted and the lesions resolved in two out of three patients; the third one was treated with an immunosuppressive agent (tacrolimus) and corticosteroid and subsequently with intravenous immunoglobulin and plasmapheresis, due to an underlying complex autoimmune disease.

CONCLUSION

Although the mechanism of induction of BP is still unclear, the close relationship between trigger events (immunization or viral infection) and onset of the disease arises a possible association.

摘要

背景

大疱性类天疱疮(BP)是一种在婴儿期罕见的水疱性皮肤病,医学文献中鲜有报道。

病例报告

在此,我们描述过去15年中转诊至我科的3例BP病例。其中2例在接种白喉、破伤风、百日咳、脊髓灰质炎、乙型肝炎和B型流感嗜血杆菌疫苗后数天出现水疱性皮疹。第3例患者在疱疹性口炎后不久出现同样的水疱性皮疹。在所有3例病例中,组织学检查证实临床诊断,显示表皮下水疱伴真皮炎症浸润,皮损周围皮肤的直接免疫荧光显示沿基底膜带呈线性IgG和C3沉积。免疫印迹法检测BP抗原180呈阳性。3例患者中有2例开始口服泼尼松治疗,皮损消退;第3例因潜在的复杂自身免疫性疾病,先用免疫抑制剂(他克莫司)和糖皮质激素治疗,随后进行静脉注射免疫球蛋白和血浆置换。

结论

虽然BP的诱发机制仍不清楚,但触发事件(免疫接种或病毒感染)与疾病发作之间的密切关系提示可能存在关联。

https://cdn.ncbi.nlm.nih.gov/pmc/blobs/1c4b/5322655/fc83ec12490e/12887_2017_813_Fig1_HTML.jpg

文献AI研究员

20分钟写一篇综述,助力文献阅读效率提升50倍。

立即体验

用中文搜PubMed

大模型驱动的PubMed中文搜索引擎

马上搜索

文档翻译

学术文献翻译模型,支持多种主流文档格式。

立即体验