Suppr超能文献

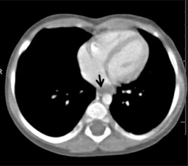
An Unusual Cause of Pediatric Dysphagia: Bronchogenic Cyst.

作者信息

Kaistha Abha, Levine Jeremiah

机构信息

NYU Langone Medical Center, New York, NY, USA.

出版信息

Glob Pediatr Health. 2017 Jan 6;4:2333794X16686492. doi: 10.1177/2333794X16686492. eCollection 2017.

Abstract
摘要
https://cdn.ncbi.nlm.nih.gov/pmc/blobs/2d79/5308433/44206eac4180/10.1177_2333794X16686492-fig1.jpg

文献检索

告别复杂PubMed语法,用中文像聊天一样搜索,搜遍4000万医学文献。AI智能推荐,让科研检索更轻松。

立即免费搜索

文件翻译

保留排版,准确专业,支持PDF/Word/PPT等文件格式,支持 12+语言互译。

免费翻译文档

深度研究

AI帮你快速写综述,25分钟生成高质量综述,智能提取关键信息,辅助科研写作。

立即免费体验