Suppr超能文献

青少年胸骨前皮下支气管源性囊肿:一例报告及异常超声表现

Presternal subcutaneous bronchogenic cyst in adolescence: A case report and unusual ultrasonographic findings.

作者信息

Moon Sung Mo, Lee Sang Min, Kang Haeyoun, Choi Hye Jeong

机构信息

Department of Radiology Department of Pathology, CHA Bundang Medical Center, CHA University, College of Medicine, 59 Yatap-ro, Bundang-gu, Seongnam-si, Gyeonggi-do Department of Radiology, Seoul National University Hospital, 101 Daehak-ro, Jongno-gu, Seoul, Republic of Korea.

出版信息

Medicine (Baltimore). 2017 Feb;96(5):e6054. doi: 10.1097/MD.0000000000006054.

Abstract

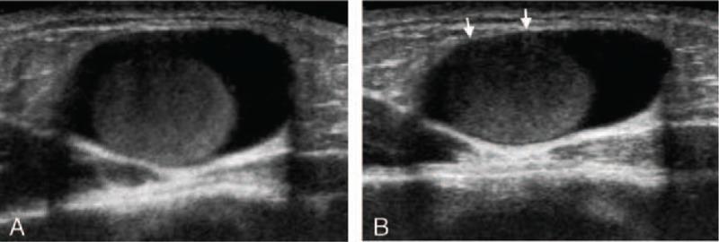
Subcutaneous bronchogenic cysts have been described rarely, particularly among adolescents. Only a few reports have described the ultrasonographic features of bronchogenic cysts, characterizing them as nonspecific cystic masses with or without internal echogenic foci or debris. Therefore, it is hard to differentiate subcutaneous bronchogenic cysts from other subcutaneous cystic tumors ultrasonographically.We report a case of presternal subcutaneous bronchogenic cyst in an 18-year-old man with unusual ultrasonographic findings. Ultrasonography revealed a small, oval, cystic mass containing a well-circumscribed, heterogeneously hypoechoic, egg-shaped lesion in the dependent portion of the mass within the subcutaneous fat layer overlying the sternum.Surgical excision was performed, and the cystic mass was diagnosed as a bronchogenic cyst. On pathological examination, the internal, heterogeneously hypoechoic, ball-like lesion was found to be mucous material within the cyst. To our knowledge, this is the first reported case of a presternal subcutaneous bronchogenic cyst presenting with a ball-like lesion inside of the cyst. This unusual ultrasonographic feature can be a clue to the diagnosis of subcutaneous bronchogenic cyst.In conclusion, if an anechoic cyst containing an internal, well-circumscribed, hypoechoic ball-like lesion is seen in the presternal subcutaneous fat layer, subcutaneous bronchogenic cyst should be considered in the differential diagnosis of subcutaneous cystic masses.

摘要

皮下支气管源性囊肿很少见,尤其是在青少年中。仅有少数报告描述了支气管源性囊肿的超声特征,将其描述为具有或不具有内部回声灶或碎屑的非特异性囊性肿块。因此,很难通过超声检查将皮下支气管源性囊肿与其他皮下囊性肿瘤区分开来。我们报告一例18岁男性胸骨前皮下支气管源性囊肿,其具有不寻常的超声表现。超声检查显示一个小的椭圆形囊性肿块,在胸骨上方皮下脂肪层内肿块的下垂部分含有一个边界清晰、不均匀低回声的椭圆形病变。进行了手术切除,囊性肿块被诊断为支气管源性囊肿。病理检查发现,内部不均匀低回声的球状病变为囊肿内的黏液物质。据我们所知,这是首例报告的胸骨前皮下支气管源性囊肿内出现球状病变的病例。这种不寻常的超声特征可作为诊断皮下支气管源性囊肿的线索。总之,如果在胸骨前皮下脂肪层中看到一个含有内部边界清晰、低回声球状病变的无回声囊肿,则在皮下囊性肿块的鉴别诊断中应考虑皮下支气管源性囊肿。

https://cdn.ncbi.nlm.nih.gov/pmc/blobs/7a09/5293479/c53f74030de6/medi-96-e6054-g001.jpg

文献AI研究员

20分钟写一篇综述,助力文献阅读效率提升50倍。

立即体验

用中文搜PubMed

大模型驱动的PubMed中文搜索引擎

马上搜索

文档翻译

学术文献翻译模型,支持多种主流文档格式。

立即体验