Suppr超能文献

与站立伸展位片相比,采用固定屈曲位片对1102例日本骨关节炎患者膝关节间隙宽度进行影像学测量。

Radiographic Measurement of Joint Space Width Using the Fixed Flexion View in 1,102 Knees of Japanese Patients with Osteoarthritis in Comparison with the Standing Extended View.

作者信息

Kan Hiroyuki, Arai Yuji, Kobayashi Masashi, Nakagawa Shuji, Inoue Hiroaki, Hino Manabu, Komaki Shintaro, Ikoma Kazuya, Ueshima Keiichiro, Fujiwara Hiroyoshi, Kubo Toshikazu

机构信息

Departments of Orthopaedics, Graduate School of Medical Science, Kyoto Prefectural University of Medicine, Kyoto, Japan.

Department of Orthopaedics, Kyoto Interdisciplinary Institute Hospital of Community Medicine, Kyoto, Japan.

出版信息

Knee Surg Relat Res. 2017 Mar 1;29(1):63-68. doi: 10.5792/ksrr.16.046.

Abstract

PURPOSE

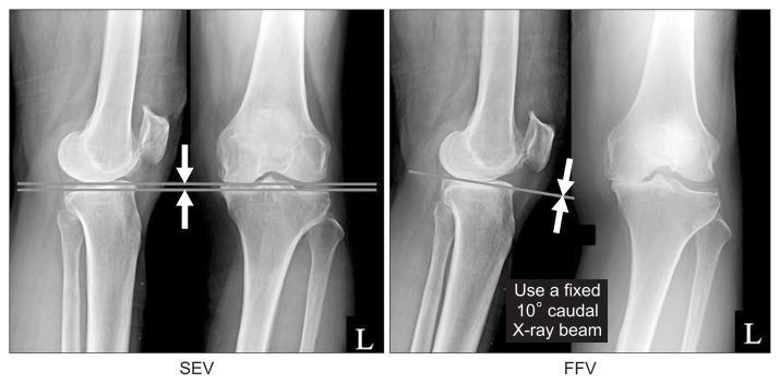
The fixed flexion view (FFV) of the knee is considered useful for evaluating the joint space when assessing the severity of osteoarthritis (OA) of the knee. To clarify the usefulness of FFV for evaluation of the joint space and severity of knee OA, this study evaluated changes in the joint space on the FFV and standing extended view (SEV) in patients with knee OA.

MATERIALS AND METHODS

The SEV and FFV images were acquired in 567 patients (1,102 knees) who visited the hospital with a chief complaint of knee joint pain. Medial joint space width (MJSW) and Kellgren-Lawrence (K-L) classification assessed using the SEV and FFV images were compared.

RESULTS

Mean MJSW was significantly smaller when assessed on the FFV than on the SEV (3.02±1.55 mm vs. 4.31±1.30 mm; p<0.001). The K-L grade was the same or higher on the FFV than on the SEV.

CONCLUSIONS

The FFV is more useful than the SEV for evaluating the joint space in OA knees. Treatment strategies in patients with knee OA should be determined based on routinely acquired FFV images.

摘要

目的

膝关节固定屈曲位视图(FFV)在评估膝关节骨关节炎(OA)严重程度时被认为有助于评估关节间隙。为阐明FFV在评估膝关节OA关节间隙和严重程度方面的作用,本研究评估了膝关节OA患者FFV和站立伸展位视图(SEV)上关节间隙的变化。

材料与方法

对567例(1102膝)因膝关节疼痛为主诉前来就诊的患者采集SEV和FFV图像。比较使用SEV和FFV图像评估的内侧关节间隙宽度(MJSW)和凯尔格伦-劳伦斯(K-L)分级。

结果

FFV评估时的平均MJSW显著小于SEV评估时(3.02±1.55毫米对4.31±1.30毫米;p<0.001)。FFV上的K-L分级与SEV相同或更高。

结论

FFV在评估OA膝关节的关节间隙方面比SEV更有用。膝关节OA患者的治疗策略应基于常规获取的FFV图像来确定。

https://cdn.ncbi.nlm.nih.gov/pmc/blobs/0482/5336370/f31fdc3ce2a3/ksrr-29-063f1.jpg

文献AI研究员

20分钟写一篇综述,助力文献阅读效率提升50倍。

立即体验

用中文搜PubMed

大模型驱动的PubMed中文搜索引擎

马上搜索

文档翻译

学术文献翻译模型,支持多种主流文档格式。

立即体验