Suppr超能文献

牙科手术导致的颈面部及纵隔气肿。

Cervicofacial and mediastinal emphysema due to a dental procedure.

作者信息

Ramnarine Mityanand, Dubin Zvi

机构信息

Northwell Health, New York, United States.

出版信息

J Emerg Trauma Shock. 2017 Jan-Mar;10(1):34-36. doi: 10.4103/0974-2700.199526.

Abstract

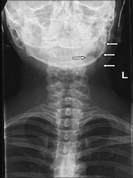
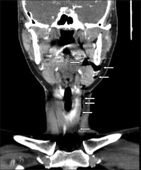
Dental procedures, though commonplace and usually very safe, are not without complications. We report on a case of extensive cervicofacial and mediastinal emphysema after a routine dental procedure, initially masquerading as an allergic reaction in an otherwise young and healthy woman. A review of the relevant literature on this clinical entity is presented, which serves to underscore the need for awareness by the treating clinician of this condition and its potential sequela.

摘要

牙科手术虽然常见且通常非常安全,但并非没有并发症。我们报告了一例常规牙科手术后发生广泛颈面部和纵隔气肿的病例,该病例最初在一名年轻健康的女性身上伪装成过敏反应。本文对有关该临床实体的相关文献进行了综述,强调了治疗临床医生认识这种情况及其潜在后果的必要性。

https://cdn.ncbi.nlm.nih.gov/pmc/blobs/3e24/5316794/1ec5d15e7bf9/JETS-10-34-g001.jpg

文献AI研究员

20分钟写一篇综述,助力文献阅读效率提升50倍。

立即体验

用中文搜PubMed

大模型驱动的PubMed中文搜索引擎

马上搜索

文档翻译

学术文献翻译模型,支持多种主流文档格式。

立即体验