Suppr超能文献

阿帕替尼成功治疗难治性复发性恶性胶质瘤:病例系列

Successful treatment with apatinib for refractory recurrent malignant gliomas: a case series.

作者信息

Zhang Honghong, Chen Fangfang, Wang Zhiqiang, Wu Shaoxiong

机构信息

Department of Radiation Oncology, Sun Yat-sen University Cancer Center; State Key Laboratory of Oncology in Southern China, Guangzhou, People's Republic of China.

出版信息

Onco Targets Ther. 2017 Feb 14;10:837-845. doi: 10.2147/OTT.S119129. eCollection 2017.

Abstract

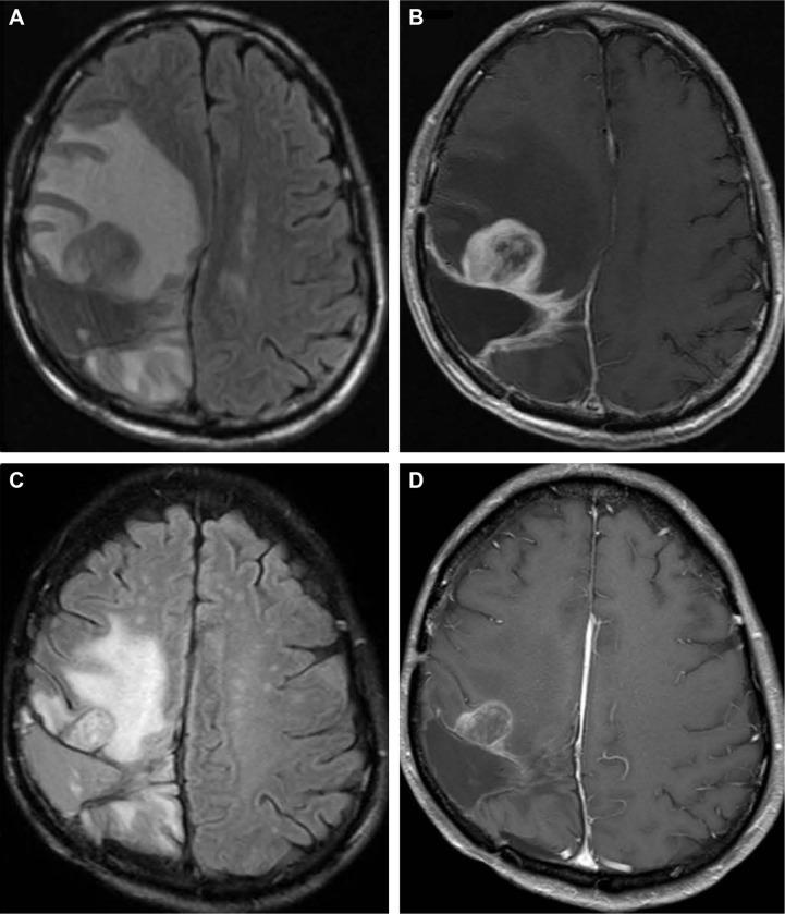
Malignant glioma (MG) is a common and refractory primary tumor with a high recurrence rate. There is still a lack of effective therapy for recurrent MG (rMG). We present here two cases of refractory rMG treated using apatinib, which is a new highly selective inhibitor to VEGFR. Case 1, a 37-year-old female, was diagnosed with recurrent intracerebral high-grade glioma and failed to almost all treatments (including temozolomide, bevacizumab, nimotuzumab, reradiation, etc) during her second relapse. Case 2, a 40-year-old male, was diagnosed with recurrent glioblastoma multiforme for the third time following multiple treatments including resurgery, temozolomide and radiation. These two patients were treated with oral apatinib (500 mg daily) during their most recent relapse and experienced rapid relief of central nervous system symptoms. Case 1 achieved near complete response evaluated by magnetic resonance imaging (MRI) after 6, 12 and 20 weeks medication and had an overall survival of 27 weeks. Case 2 achieved partial response evaluated by MRI after 4 and 12 weeks medication and had a progression-free survival of 12 months. The preliminary results of these two cases indicate that apatinib has outstanding efficacy for refractory rMG. It is worthwhile to develop a Phase II clinical trial to further evaluate the efficacy and toxicity of apatinib for rMG.

摘要

恶性胶质瘤(MG)是一种常见且难治的原发性肿瘤,复发率很高。复发性MG(rMG)仍然缺乏有效的治疗方法。我们在此介绍两例使用阿帕替尼治疗的难治性rMG病例,阿帕替尼是一种新型的高度选择性血管内皮生长因子受体(VEGFR)抑制剂。病例1,一名37岁女性,被诊断为复发性脑内高级别胶质瘤,在第二次复发时几乎对所有治疗(包括替莫唑胺、贝伐单抗、尼妥珠单抗、再放疗等)均无效。病例2,一名40岁男性,在接受了包括再次手术、替莫唑胺和放疗在内的多次治疗后,第三次被诊断为复发性多形性胶质母细胞瘤。这两名患者在最近一次复发时接受了口服阿帕替尼治疗(每日500毫克),中枢神经系统症状迅速缓解。病例1在用药6周、12周和20周后通过磁共振成像(MRI)评估达到近乎完全缓解,总生存期为27周。病例2在用药4周和12周后通过MRI评估达到部分缓解,无进展生存期为12个月。这两例的初步结果表明,阿帕替尼对难治性rMG有显著疗效。开展一项II期临床试验以进一步评估阿帕替尼对rMG的疗效和毒性是值得的。

https://cdn.ncbi.nlm.nih.gov/pmc/blobs/7cdb/5317326/8782ee39c82d/ott-10-837Fig1.jpg

文献AI研究员

20分钟写一篇综述,助力文献阅读效率提升50倍。

立即体验

用中文搜PubMed

大模型驱动的PubMed中文搜索引擎

马上搜索

文档翻译

学术文献翻译模型,支持多种主流文档格式。

立即体验