Suppr超能文献

直接椎体旋转对青少年胸椎特发性脊柱侧弯非手术治疗腰椎曲度的影响。

Effect of Direct Vertebral Rotation on the Uninstrumented Lumbar Curve in Thoracic Adolescent Idiopathic Scoliosis.

作者信息

Kim Sung-Soo, Kim Jung-Hoon, Suk Se-Il

机构信息

Department of Orthopedic Surgery, Inje University Haeundae Paik Hospital, Busan, Korea.

Department of Orthopedic Surgery, Inje University Ilsan Paik Hospital, Goyang, Korea.

出版信息

Asian Spine J. 2017 Feb;11(1):127-137. doi: 10.4184/asj.2017.11.1.127. Epub 2017 Feb 17.

Abstract

STUDY DESIGN

Retrospective study.

PURPOSE

To determine the effect and direction of direct vertebral rotation (DVR) in the lowest instrumented vertebra (LIV) on the uninstrumented lumbar curve depending on the lumbar modifier used for the correction of thoracic adolescent idiopathic scoliosis.

OVERVIEW OF LITERATURE

DVR in the LIV should be implemented in a different direction to obtain better spontaneous lumbar correction depending on the preoperative lumbar spine modifier.

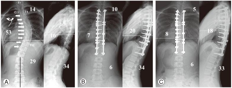
METHODS

We retrospectively analyzed 160 patients with thoracic adolescent idiopathic scoliosis treated by pedicle screw instrumentation and rod derotation. Patients who had a distal fusion level between T11 and L1 were divided into two groups: the DVR group versus the No-DVR group. Each group was divided into subgroups depending on the lumbar modifier used: the DVR-A, B, and C groups versus the No-DVR-A, B, and C groups. The DVR-A group was subdivided into two subgroups depending on the direction of screw rotation in the LIV: the DVR-A-O group (opposite direction) and the DVR-A-S group (same direction).

RESULTS

There were no significant differences in the preoperative curve characteristics between the two groups. The preoperative lumbar curve was corrected in 70% of the patients in the DVR group and in 56% in the No-DVR group. Spontaneous coronal correction of the lumbar curve was better in the DVR-A-S group than that in the No-DVR-A group. However, the DVR-A-O group had the higher incidence of adding-on deformity. The DVR-B and C groups showed better spontaneous correction of lumbar coronal magnitude, apical vertebral translation, and rotation and the LIV tilting.

CONCLUSIONS

In lumbar modifiers B and C, screws in the LIV have to be rotated opposite to the direction of the screw rotation of the main thoracic curve; however, in modifier A, the screws have to be rotated in the same direction.

摘要

研究设计

回顾性研究。

目的

根据用于矫正青少年特发性脊柱侧凸的腰椎修正器,确定最低固定椎体(LIV)的直接椎体旋转(DVR)对未固定腰椎曲线的影响及方向。

文献综述

根据术前腰椎修正器,LIV中的DVR应朝不同方向实施,以获得更好的腰椎自发矫正效果。

方法

我们回顾性分析了160例接受椎弓根螺钉内固定和棒旋转术治疗的青少年特发性脊柱侧凸患者。远端融合水平在T11和L1之间的患者分为两组:DVR组和非DVR组。每组根据使用的腰椎修正器分为亚组:DVR - A、B和C组与非DVR - A、B和C组。DVR - A组根据LIV中螺钉旋转方向再分为两个亚组:DVR - A - O组(相反方向)和DVR - A - S组(相同方向)。

结果

两组术前曲线特征无显著差异。DVR组70%的患者术前腰椎曲线得到矫正,非DVR组为56%。DVR - A - S组腰椎曲线的自发冠状面矫正优于非DVR - A组。然而,DVR - A - O组附加畸形的发生率更高。DVR - B组和C组在腰椎冠状面大小、顶椎平移、旋转和LIV倾斜方面显示出更好的自发矫正效果。

结论

在腰椎修正器B和C中,LIV中的螺钉必须与主胸弯螺钉旋转方向相反;然而,在修正器A中,螺钉必须朝相同方向旋转。

https://cdn.ncbi.nlm.nih.gov/pmc/blobs/aa35/5326721/611c4c38ac45/asj-11-127-g001.jpg

文献AI研究员

20分钟写一篇综述,助力文献阅读效率提升50倍。

立即体验

用中文搜PubMed

大模型驱动的PubMed中文搜索引擎

马上搜索

文档翻译

学术文献翻译模型,支持多种主流文档格式。

立即体验