Suppr超能文献

利用手术、组织病理学和计算机断层扫描结果对结直肠癌分期进行比较分析。

Comparative analysis of colorectal carcinoma staging using operative, histopathology and computed tomography findings.

作者信息

Singla Subhash Chander, Kaushal Dhawal, Sagoo Harinder Singh, Calton Nalini

机构信息

Department of Radiodiagnosis, Physiology and Pathology, CMC and H, Ludhiana, Punjab, India.

出版信息

Int J Appl Basic Med Res. 2017 Jan-Mar;7(1):10-14. doi: 10.4103/2229-516X.198501.

Abstract

BACKGROUND

The staging of colorectal carcinoma using 3 modalities viz operative, histopathology and CT scan has been subject of interest in accurately defining the extent of disease. This retrospective as well as prospective study was carried out at CMC, Ludhiana, Punjab from November 2011 to May 2014.

AIM

The objective of this study was to assess the usefulness and accuracy of CT scan findings to state the extent and spread of colorectal malignancy and to correlate these findings with histopathological diagnosis.

METHOD

A total of 31 biopsy proven patients showing variable bowel wall thickening involving the colon /rectum on CECT (Contrast Enhanced Computed Tomography) were included in the study. The tumours were staged based on the CT scan findings and were compared with the operative and histopathological findings.

OBSERVATIONS

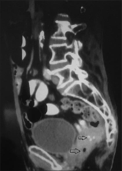
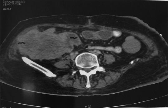
Rectum was the most common site of involvement followed by the recto-sigmoid involvement. Metastasis was observed in 5 cases out of the 31 malignant cases. Five of the 7 cases were correctly staged as T1 & T2 lesions on CT having a sensitivity of 83.3%, specificity of 92%, and positive predictive value of 71.4% and a negative predictive value of 95.8% in the diagnosis of T1 and T2 lesions. 15 of the 16 cases were correctly staged as T3 lesions. CT had a sensitivity of 88.2%, specificity of 93.8%, and positive predictive value of 93.8% and a negative predictive value of 86.7% in the diagnosis of T3 lesions. All the 8 cases were correctly staged as T4 lesions. CT had a sensitivity of 100%, specificity of 100%, and positive predictive value of 100% and a negative predictive value of 100% in the diagnosis of T4 lesions.

CONCLUSION

We conclude that CT scan is an excellent modality in diagnosing malignant lesions of the colon and rectum.

摘要

背景

采用手术、组织病理学和CT扫描这三种方式对结直肠癌进行分期一直是准确界定疾病范围的研究热点。这项回顾性及前瞻性研究于2011年11月至2014年5月在旁遮普邦卢迪亚纳市的基督教医学院进行。

目的

本研究的目的是评估CT扫描结果在判定结直肠癌的范围和扩散情况方面的实用性及准确性,并将这些结果与组织病理学诊断结果进行对比。

方法

本研究纳入了31例经活检证实、在对比增强计算机断层扫描(CECT)上显示结肠/直肠肠壁增厚情况各异的患者。根据CT扫描结果对肿瘤进行分期,并与手术及组织病理学结果进行比较。

观察结果

直肠是最常受累的部位,其次是直肠乙状结肠交界处受累。31例恶性病例中有5例出现转移。7例中的5例在CT上被正确分期为T1和T2病变,在诊断T1和T2病变时,敏感性为83.3%,特异性为92%,阳性预测值为71.4%,阴性预测值为95.8%。16例中的15例被正确分期为T3病变。CT在诊断T3病变时,敏感性为88.2%,特异性为93.8%,阳性预测值为93.8%,阴性预测值为86.7%。所有8例均被正确分期为T4病变。CT在诊断T4病变时,敏感性为100%,特异性为100%,阳性预测值为100%,阴性预测值为100%。

结论

我们得出结论,CT扫描是诊断结肠和直肠恶性病变的一种极佳方式。

https://cdn.ncbi.nlm.nih.gov/pmc/blobs/0f8d/5327599/07bbfc0c075a/IJABMR-7-10-g003.jpg

文献AI研究员

20分钟写一篇综述,助力文献阅读效率提升50倍。

立即体验

用中文搜PubMed

大模型驱动的PubMed中文搜索引擎

马上搜索

文档翻译

学术文献翻译模型,支持多种主流文档格式。

立即体验